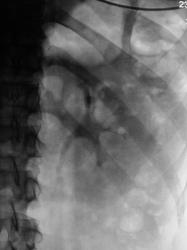
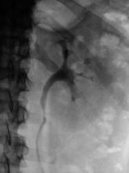
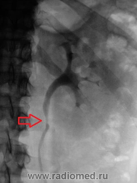
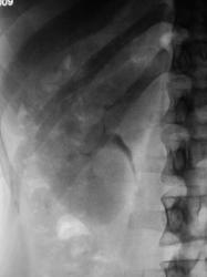
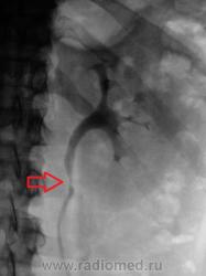
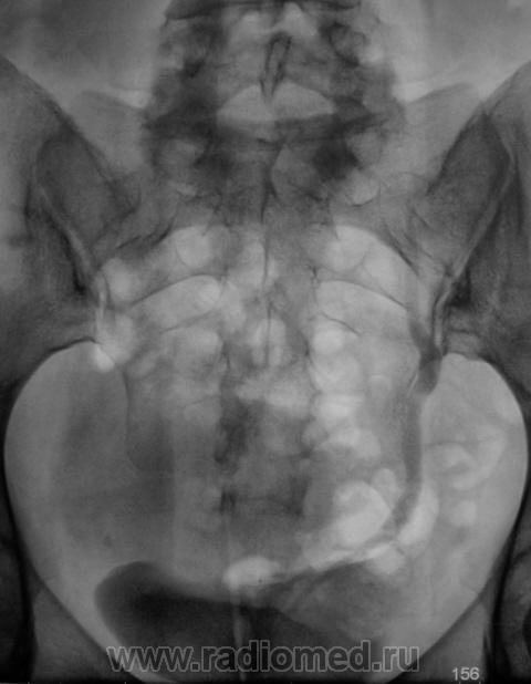
Почки контурируются в типичном месте, обычной формы и размеры. R-позитивных уроконкрементов в проекции мочевыносящих путей на обзорной урограмме не выявлено. ЧЛС контрастированы синхронно, не расширены. Мочеточники контрастированы, левый просматривается на всем протяжении, в нижней 1/3 незначительно стойко расширен, оттеснен кверху и вправо (хотя возможен такой вариант расположения устьев мочеточников - к сожалению правый мочеточник не визуализируется т.е. несчем сравнить). В мочевом пузыре, слева от срединной линии, дефект наполнения с четкой неровной границей.
Не хватает клинических данных (хотя бы укажите с какой стороны болит?) и других изображений контрастированного мочевого пузыря (необходимо выяснить стойкий это дефект наполнения или нет).
Валентин Львович! Дефект наполнения мочевого пузыря слева имеется. Сказать вне пузырный или внутрипузырный сложно. Я бы выполнил УЗИ мочевого пузыря. Урологам порекомендовал бы цистоскопию.
Согласен с последним постом; думаю после УЗИ мочевого пузыря вопросов будет меньше( вообще, в данной клинической ситуации оптимальнее было бы начать с УЗИ мочевыводящей системы).
Всё же подготовка удовлетворительная и качество снимков хорошее, ЧЛС четко видно, при болевом синдроме у пациента не приходиться настаивать на идеальную подготовку, всё равно минимально но перистальтика снижена бывает, а мед.сестры ещё вгоняют помимо воды ещё и газ в кишечник, поэтому часто так и получается. При возможности если пациент ни тучный, то я обычно, при экстренности, беру без подготовки, обычно цифра помогает в этом деле отлично.
Что же касается визуального сужения мочеточника, указанное уважаемым Ореховым, то это можно считать как огибание поясничной мышцы, и незначительный ретроградный ход мочеточника.
"Расширение н/3 мочеточника "- если ширина данного участка мочеточника на самом деле более 13мм то да можно считать это расширением, а визуально выглядит как гипотония мочеточника, часто это собравождается наличием рентген- или нерентген-контрастного камня в устье или н/3 мочеточника.
Валентин Львович томограмки у вас хорошие получились, а как вы это расценили? Лично мне кажется это от давления из вне, а по поводу УЗИ, разве оно не входит в алгоритм обследования пациентов с МКБ и почечной коликой у вас в больнице?
"Знаешь, у некоторых врачей есть комплекс мессии — им необходимо спасать мир. А у тебя комплекс Рубика — тебе необходимо решать головоломки."
Почки контурируются в типичном месте, обычной формы и размеры. R-позитивных уроконкрементов в проекции мочевыносящих путей на обзорной урограмме не выявлено. ЧЛС контрастированы синхронно, не расширены. Мочеточники контрастированы, левый просматривается на всем протяжении, в нижней 1/3 незначительно стойко расширен, оттеснен кверху и вправо (хотя возможен такой вариант расположения устьев мочеточников - к сожалению правый мочеточник не визуализируется т.е. несчем сравнить). В мочевом пузыре, слева от срединной линии, дефект наполнения с четкой неровной границей.
Не хватает клинических данных (хотя бы укажите с какой стороны болит?) и других изображений контрастированного мочевого пузыря (необходимо выяснить стойкий это дефект наполнения или нет).
Боли больше слева. Мне этот чертов дефект наполнения в мочевом пузыре тоже "не давал покоя".
У женщин часто так матка поддавливает мочевой пузырь
"самоуверенность дилетантов - предмет зависти профессионалов"
Валентин Львович! Дефект наполнения мочевого пузыря слева имеется. Сказать вне пузырный или внутрипузырный сложно. Я бы выполнил УЗИ мочевого пузыря. Урологам порекомендовал бы цистоскопию.
dok
Согласен с последним постом; думаю после УЗИ мочевого пузыря вопросов будет меньше( вообще, в данной клинической ситуации оптимальнее было бы начать с УЗИ мочевыводящей системы).
Мы решили сразу после исследования сделать томографию мочевого пузыря.
А если, по большому счету и объективно, то линейная томография весьма рано, некоторыми специалистами, "сдана в архив".
При такой "подготовке" кишечника я даже бы и не взялся проводить урографию. Воздушными шариками "переболел" в детстве.
Меня немного смутило сужение мочеточника у левой почки, возможно перистальтика. Прошу обратить внимание.
Всё же подготовка удовлетворительная и качество снимков хорошее, ЧЛС четко видно, при болевом синдроме у пациента не приходиться настаивать на идеальную подготовку, всё равно минимально но перистальтика снижена бывает, а мед.сестры ещё вгоняют помимо воды ещё и газ в кишечник, поэтому часто так и получается. При возможности если пациент ни тучный, то я обычно, при экстренности, беру без подготовки, обычно цифра помогает в этом деле отлично.
Что же касается визуального сужения мочеточника, указанное уважаемым Ореховым, то это можно считать как огибание поясничной мышцы, и незначительный ретроградный ход мочеточника.
"Расширение н/3 мочеточника "- если ширина данного участка мочеточника на самом деле более 13мм то да можно считать это расширением, а визуально выглядит как гипотония мочеточника, часто это собравождается наличием рентген- или нерентген-контрастного камня в устье или н/3 мочеточника.
Валентин Львович томограмки у вас хорошие получились, а как вы это расценили? Лично мне кажется это от давления из вне, а по поводу УЗИ, разве оно не входит в алгоритм обследования пациентов с МКБ и почечной коликой у вас в больнице?
"Знаешь, у некоторых врачей есть комплекс мессии — им необходимо спасать мир. А у тебя комплекс Рубика — тебе необходимо решать головоломки."