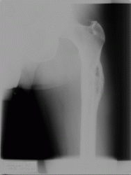
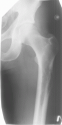
Патология костной структуры. Динамика. Ваше мнение?

Из анамнеза: 6 мес назад была травма. Не обращался,не лечился. Боли сохранялсиь,в последнее время усиливаются.

 

Изображение ИзображениеИзображение  Изображение

 Изображение Изображение Изображение

 Изображение Изображение

Глазков Игорь Артурович аватар
Не на сайте
Был на сайте: 9 месяцев 3 недели назад
Зарегистрирован: 19.12.2008 - 20:41
Публикации: 1597

на саркому Юинга.

Прийди к Себе

Рыбакова Людмила Александровна аватар
Не на сайте
Был на сайте: 3 года 5 месяцев назад
Зарегистрирован: 31.07.2009 - 19:35
Публикации: 162

cпециалист по МРТ выставляет остеомиелит. направлен на открытую трепанбиопсию.Буде информация-сообщу.

tatyana аватар
Не на сайте
Был на сайте: 4 года 1 месяц назад
Зарегистрирован: 24.06.2009 - 08:33
Публикации: 2090

Биопсия это единственно правильно, на мой взгляд, больше данных за онкологию, но здесь обширный ряд: от той же саркомы Юинга (остеосаркомы, ЗФГ) до мтс, т.е имеет место некий весьма агрессивный процесс в виде остеолитической деструкции, инфильтрации кости. М.б. и поднадкостничная гематома, осложнившаяся остеомиелитом, но за полгода воспалительный процесс должен был как-то себя проявить...

"самоуверенность дилетантов - предмет зависти профессионалов"

maker4ik аватар
Не на сайте
Был на сайте: 8 лет 7 месяцев назад
Зарегистрирован: 19.10.2011 - 17:49
Публикации: 2682

Мне кажется, уже по первому снимку можно было онкологию выставлять.