Пневмония в S10

Пол пациента: 
Методы исследования: 
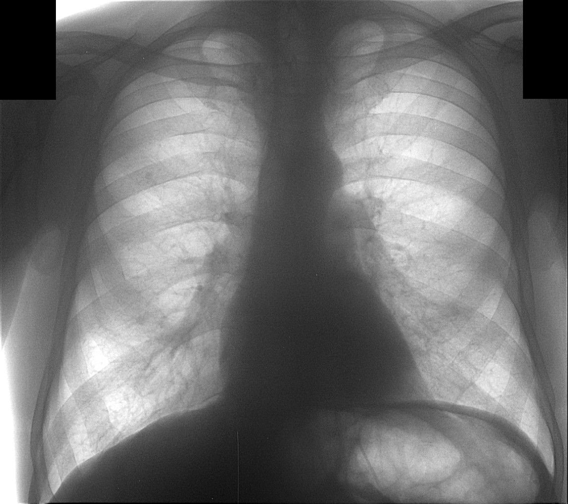
beg.jpg
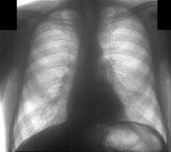
Priamoi.jpg
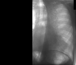
Liev_kosoi.jpg
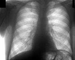
Liev_bokov.jpg

Первое исследование - цифровая флюорография, зарегестрировано как профилактическое (возможно ошибочно). Заключение - спайка в лев косто-диафрагмалном синусе, других изм. не выявлено.

Через 10 дней направлен повторно, диагноз - пневмония слева. Прямой снимок без признаков инфильтрации, учитывая клинику (интоксикация, гектическая температура, боль в лев. половине гр. кл.), решили посмотреть за сердцем в лев. косом положении, лев. боковой сам Бог велел (снимки представлены). Посмотрели и скопически: в S10 инфильтрация с участками просветления, в заключении написали - пневмония, но термин "абсцедирование" решили не применять, хотя "в уме держали". Больного направили в т/о, там почему-то усомнились в нашей диагностике, пациент вернулся: "меня направляют на Р-гр". Пришлось связаться с терапевтами и прочитать лекцию о том, кто и за что отвечает. На следующий день терапевты с завидным упрямством настаивают на контрольной Р-гр., говорят - боимся абсцедирования, хорошо - говорю, договариваюсь с кэтэшниками, "прокатили" грудную клетку. Но ничего нового, дополнительного не нашли, а "просветлениями" оказались просветы бронхов. Инфильтрация расположена пристеночно, прилежит к позвоночнику с переходом на заднюю стенку гр. клетки, именно в связи с этим никак не прявляет себя на прямом снимке и на боковом выглядит не слишком убедительно. Наиболее оптимальными для такого расположения являются передняя левая или задняя правая косые проекции. Еще через 10 дней, при контрольной рентгеноргафии (прямая и левая боковая), картина без признаков инфильтрации, зная особенности случая, беру за экран и при указанных выше положениях вижу остатки инфильтрации, трактую как "остаточные изменения после пневмонии". Клинически - пациент бъет себя в грудь: "все прекрасно, домой хочу!".

 

ВложениеРазмер
Иконка изображения beg.jpg212.74 КБ
Иконка изображения Priamoi.jpg150.08 КБ
Иконка изображения Liev_kosoi.jpg101.63 КБ
Иконка изображения Liev_bokov.jpg156.82 КБ
Катенёв Валентин Львович аватар
Не на сайте
Был на сайте: 7 лет 2 недели назад
Зарегистрирован: 22.03.2008 - 22:15
Публикации: 54876

Сие наблюдение нашего коллеги врача - рентгенолога В.Б. Серова весьма показательно по следующим обстоятельствам: 1. В настоящее время во многих лечебных учреждениях, как среди врачей клиницистов, так и среди части врачей рентгенологов, бытует мнение, что рентгеноскопия – рентгенотелевидение, при исследовании пациентов с «легочной патологией» себя изжило, и в ряде лечебных учреждений данные исследования отданы в руки рентгенолаборантов, а врачи рентгенологи на следующий день «пишут рентгенографическую продукцию» (я ещё раз подчеркиваю, что «в ряде лечебных учреждений». И очень отрадно, что врачи – рентгенологи, используя полипозиционную рентгеноскопию – рентгенотелевидение обоснованно безусловно, как демонстрирует данный случай (за сердечной тенью) визуализируют паторлогический процесс, который задокументирован на левой боковой рентгенограмме. 2. Довольно типично для врачей терапевтов, да и врачей хирургов, что свидетельствует об отсутствии этики и деонтологии, а также о коллегиальности, «усомниться в заключении рентгенолога». Чаще всего это связано с амбициями, а в ряде случаев, что встречается более часто с потерей именно терапевтами навыков аускультации, перкуссии, и нежелании инспектировать больного согласно принятой схеме стандарта. И что интересно терапевты считают, что они очень хорошо разбираются в рентгенологии и вообще «параклинике» и также «не доверяют» врачам лаборантам, но почему – то стекол не пересматривают, а вот рентгенограмму «посмотреть» на фоне окна и деревьев, видимых из этого окна – весьма эффектно, особенно, когда рядом находится пациент. 3. Очень интересная тактика обследования на следующий день на КТ, а не в динамике (это безусловно свидетельство безалаберности и попустительства начмеда). В связи с этим немного в сторону – мне очень нравятся врачи КТ и их разновидности, которые перед исследованием ОГК, требуют произведенные в рентген-кабинете снимки- рентгенограммы и линейные томограммы. Интересно зачем, если КТ-шные методики считаются более информативными. 4. Уважаемый коллега! Я с Вами не соглашусь, что на левой боковой рентгенограмме инфильтрация выглядит неубедительно, по – моему довольно убедительно, но конечно это субъективно. 5. С Вами невозможно не согласиться, по поводу остаточных изменений, и довольно часто, как вы указываете, мы наблюдаем «фрагменты ранее определявшейся инфильтрации», что даже в нашей литературе трактуется, как «остаточные явления», хотя каждый рентгенолог прекрасно понимает, что до восстановления структуры еще далеко. То что в данный период терапевты «уже ничего не слышат» - все хорошо, не говорит ни о чем, они весьма часто и стадиях опеченения «ничего не находят».

Спасибо Вам за представленный случай. Мне кажется, что нам более часто необходимо обмениваться, именно на сайте, случаями из практики - клиническими наблюдениями.

С уважением В. Катенёв.

В.Б. Серов аватар
Не на сайте
Был на сайте: 1 неделя 1 час назад
Зарегистрирован: 16.07.2008 - 10:15
Публикации: 1361

Дорогой коллега Валентин. Понимаю вашу позицию, только она мне кажется слишком жесткой, немного невзвешенной.

"«усомниться в заключении рентгенолога». Чаще всего это связано с амбициями, а в ряде случаев, что встречается более часто с потерей именно терапевтами навыков аускультации, перкуссии, и нежелании инспектировать больного согласно принятой схеме стандарта."

Начну с самокритики, в данном случае мы дали повод для сомнений, ведь при первой флюорографии, хотя и по объективной причине, инфильтрации не выявили. На повторное исследование, видя клинику, больного направил все-таки терапевт, уж не знаю в каком объеме она обследовала пациента, использовала ли все физикальные методы, но в конечном счете оказалась права. Если я и мог отстоять позицию, что у больного пневмония, отрицать с уверенностью абсцедирование/распад - нет (в этом случае пациент подлежал переводу в пульмонологическое/хирургическое отд.). Уж если кто и "виноват" в использовании КТ, так это только я.

"..мне очень нравятся врачи КТ и их разновидности, которые перед исследованием ОГК, требуют произведенные в рентген-кабинете снимки- рентгенограммы и линейные томограммы. Интересно зачем, если КТ-шные методики считаются более информативными."

Эта ваша позиция, Валентин, довольно типична, я бы назвал ее ревностью ;-) Ведь для них, как и для нас, действует требование правил, обязывающее ознакомится с данными предыдущих исследований. Меня мучают подозрение, что на их месте вы поступали бы аналогично :-)

"Я с Вами не соглашусь, что на левой боковой рентгенограмме инфильтрация выглядит неубедительно.."

Неубедительно для "непосвященных" и непросвещенных, вы же знаете, им надо "картинку из учебника". А вот на контрольной лев. боковой рентгенограмме, действительно, инфильтрация совершенно не дифференцируется, жаль не сфоткал, не было цифровика с собой, теперь, помня о вашем пожелании "нам более часто необходимо обмениваться, именно на сайте, случаями из практики", постараюсь таскать фотик. Так всегда :-( когда случай предоставляется - нет с собой фотоаппарата. А из флюорографа могу натаскать много картинок.

Этот пост назвал "противоречия", т. к. они, противоречия между нами - рентгенологами, УЗИстами, КТэшниками и лечащами врачами, кажутся мне естественными, если являются двигателем, мотивом в лечебно-диагностической работе, лишь бы до драки не доходило :-D и шло на пользу пациенту.

Зри в корень!

Катенёв Валентин Львович аватар
Не на сайте
Был на сайте: 7 лет 2 недели назад
Зарегистрирован: 22.03.2008 - 22:15
Публикации: 54876

Уважаемый коллега!

1. По поводу «жесткости позиции» комментировать не буду. Жесткая позиция, как правило позволяет выдержать предписанный нам свыше регламент. 2. Самокритика – это конечно хорошо с двух позиций: а) человек самокритичный понимает, что имеется несколько мнений по определенному вопросу, и это правильно; б) «покритикивав себя» - это тоже хорошо можно избежать критики со стороны. 3. Пациент был направлен на профилактическую флюорографию, следовательно он не предъявлял жалоб, и по сему ему была выполнена 1 проекция, что и предусматривает профилактическая флюорография. Безусловно, если – бы данный пациент был направлен на диагностическую флюорографию, т.е. с диагнозом, т.е. врачом ему – бы согласно стандарта было бы произведено два снимка (флюорограммы) в прямой и боковой проекции, как того требует стандарт. И судить была – ли инфильтрация легочной ткани «за сердечной тенью» в то время фактически невозможно. Следовательно самокритика в данном случае не уместна. Вы поступили согласно стандарта обследования. 4. Прав или не прав терапевт не нам судить, но если – бы во время прохождения профилактической флюорографии инфильтрация легочной ткани имела – бы место быть, то по всей видимости, в анализах крови присутствовали – бы определенные изменения. 5. По поводу позиции КТ или «ревности». Ревности никакой нет. Просто мены удивляет иногда, что перед проведением всех видов КТ исследований орг. Гр. Клетки обязательное требование – предварительное рентгенологическое исследование – рентгенография , а зачастую томография. Возможно я не прав, но что-то не так. 6. Вы, по всей видимости, меня не правильно поняли, или я описался? Я как раз повествовал, что на боковой рентгенограмме (представленной в клиническом наблюдении) инфильтрация определяется довольно убедительно.

По поводу фотоаппарата – каждый день ношу с собой.

И последнее:

Данный сайт, не ограничивающий ни число представляемых случаев, ни число выступлений полная демократическая возможность общения коллег специалистов.

Всех Вам благ. С уважением В. Катенёв.

В.Б. Серов аватар
Не на сайте
Был на сайте: 1 неделя 1 час назад
Зарегистрирован: 16.07.2008 - 10:15
Публикации: 1361

>Просто меня удивляет иногда, что перед проведением всех видов КТ исследований орг. Гр. Клетки обязательное требование – предварительное рентгенологическое исследование – рентгенография , а зачастую томография

Такой рутины можно избежать, если работать в тесном контакте со смежниками, без взаимного доверия требуются убедительные доказательства необходимости КТ, особенно, если напряженка (загрузка аппарата). Мне кажется у нас в больнице это так, обычно наших КТэшников убеждают данные полипозиционной цифровой флюорографии, делаем прицелные снимки с увеличением, если есть сомнения "добиваем" рентгеноскопией.

Валентин, понятны нотки обиды в ваших претензиях к рентгенологам КТ, но и им достается, жалуются на необоснованность направлений многих пациентов. Требование традиционных томограмм перед КТ, это конечно барство.

А по поводу этого "Пациент был направлен на профилактическую флюорографию, следовательно он не предъявлял жалоб, и по сему ему была выполнена 1 проекция" попытаюсь уточнить обстоятельства первичного обследования.

Спасибо, Валентин, за интересное обсуждение, жаль только мы здесь вдвоем напрягаемся. Где же КТэшники!? Наверное где-нибудь на недосягаемой высоте парят...

И вам удачи.

Зри в корень!

Leonid аватар
Не на сайте
Был на сайте: 7 лет 1 месяц назад
Зарегистрирован: 08.09.2008 - 04:02
Публикации: 38

Конечно вот так вот сказать что врачам КТ не нужны снимки прошлых рентгенографичеких исследований это неправильно. Врачи КТ как ни странно тоже разбираются в рентгенограммах =). И это не барство или ревность. Буду краток: Суть в том что бы локализовать процесс, ведь лучше сделать тонкие срезы, с малым шагом стола, и меньшим инкрементом в непосредственно зоне поражения в целях экономии запаса ресурса трубки, уменьшения влияния ионизирующего излучения, сокращения времени исследования, экономии пространства архива и станции, да и голову остальными сканами не занимать, ведь это правда трудно сидеть с 8 утра до 9 вечера, а больным всем (всем всем) нужно именно кт. Конечно общий прокат по 7 мм нужно делать всем. Да без УЗИ и Р-графии, мы тоже можем посмотреть, но это значительно удлинит исследование, снизит пропускную способность и вообще думаю все должно быть обосновано... Про обоснованность назначения КТ я могу долго обсуждать по отдельным примерам. Конкретно про этого больного я точно сказать не могу так как не присутствовал в ситуации, что зачастую решается рассуждлениями терапевта, хирурга, рентгенолога. Но думаю обоснованность тут есть...

В.Б. Серов аватар
Не на сайте
Был на сайте: 1 неделя 1 час назад
Зарегистрирован: 16.07.2008 - 10:15
Публикации: 1361

".. им достается, жалуются на необоснованность направлений многих пациентов." "..а больным всем (всем всем) нужно именно кт." Вот видите, Валентин, Леонид свидетель, их требования вполне объяснимы, я их понимаю.

Зри в корень!

Катенёв Валентин Львович аватар
Не на сайте
Был на сайте: 7 лет 2 недели назад
Зарегистрирован: 22.03.2008 - 22:15
Публикации: 54876

Спасибо Вам за комментарий данного случая и ситуации. Желательно было бы знать (это полезно широкой аудитории врачей-рентгенологов) Ваше мнение по поводу обоснованности назначения КТ органов грудной полости. Если Вы сможете привести ситуационные примеры, то это вообще отлично и поучительно для нас всех.

С уважением В. Катенёв.

Катенёв Валентин Львович аватар
Не на сайте
Был на сайте: 7 лет 2 недели назад
Зарегистрирован: 22.03.2008 - 22:15
Публикации: 54876

В принципе сейчас достается всем. Но врачи рентгенологи находятся на первой линии этого "доставания". Пациенты подсознательно относятся с трепетом и верой к КТ исследованиям, ну и безусловно к МРТ и СКТ. И конечно в демократическом обсуждении и дискуссии хотелось - бы знать мнение врачей КТ, СКТ и МРТ по поводу обоснования данных исследований. Согласитесь, что при диагностике пневмоний, при наличии продольной (рутинной томографии) и возможности наблюдения довольно «быстрой динамики» при адекватно назначенном противовоспалительном лечении, назначение КТ – это явный перебор. Возможно, я ошибаюсь. И посему желательно было – бы услышать мнение коллег КТ.

Leonid аватар
Не на сайте
Был на сайте: 7 лет 1 месяц назад
Зарегистрирован: 08.09.2008 - 04:02
Публикации: 38

Я бы хотел объяснить обоснованность или необоснованность назначения исследования РКТ, но к сожалению это не всегда находится под влиянием правил. Но и факт того что современные клиницисты относятся на диагностические исследования не как к дифференцирующим или помогающим выставлению диагноза, а зачастую только как к единственному обоснованию их диагноза, имеет место. Обоснование направления на РКТ до сих пор окончательно не сформированы, так же как и к другим методам лучевой диагностики. Я в только в курсе того что некоторые аспекты будут обсуждаться в реформе 2020 года.

Соглашусь "что при диагностике пневмоний, при наличии продольной (рутинной томографии) и возможности наблюдения довольно «быстрой динамики» при адекватно назначенном противовоспалительном лечении, назначение КТ – это явный перебор", вы как всегда правы Валентин Львович, думаю уточнения заключения пневмонии при рентгенографии не нуждается в РКТ. Но в данном случае стоит вопрос выявления склонности к абсцедированию, которое трудно дифференцировать на данных снимках, что по моему мнению является показанием к РКТ.

Было бы отлично обсудить с вами некоторые примеры таких ситуаций. Вообще это отдельная тема отношения врачей Общей Рентгендиагностики и врачей РКТ (чаще тема легких), так же врачей РКТ и МРТ (по теме мозгов), врачей УЗИ и РКТ (чаще тема брюшной полости), и конечно же хит отношений это клиницистов и врачей лучевой диагностики.

Катенёв Валентин Львович аватар
Не на сайте
Был на сайте: 7 лет 2 недели назад
Зарегистрирован: 22.03.2008 - 22:15
Публикации: 54876

Спасибо Вам за ответ. Совершенно с Вами согласен, что обсуждение отдельных примеров из повседневной практики, и именно клинических наблюдений практических врачей лучевых диагностов, очень полезен всем нам. Цит. Вас: "Я в только в курсе того что некоторые аспекты будут обсуждаться в реформе 2020 года". Дело в том, что в обсуждении концепции здравоохранения 2020, врачи лучевые диагносты, фактически не приняли участия, что весьма плачевно. МЗ и СР, вроде - бы планирует "второй этап обсуждения", и этой возможности нельзя упустить, ибо именно мнение врачей исследователей - лучевых дианостов должно быть услышано в МЗ. Хотя и сейчас можно зайти на сайт МЗ, материал по концепции там есть, и зарегистрировавшись можно высказать своё мнение, именно касательно наших служб и специальности в целом.

В.Б. Серов аватар
Не на сайте
Был на сайте: 1 неделя 1 час назад
Зарегистрирован: 16.07.2008 - 10:15
Публикации: 1361

Сегодня беседовал с леч. врачем. У пациента СОЭ 67, выдвигают версию злокачественного процесса, возможно метастазирование (не пневмония, а метастаз с реактивным воспалением, как я понял), хотят обследовать ЖКТ. Мое предложение повторить КТ через 3 - 4 нед не было принято :-(

 

Леонид писал:

Обоснование направления на РКТ до сих пор окончательно не сформированы, так же как и к другим методам лучевой диагностики.

 

Абсолютно!!

Зри в корень!

Катенёв Валентин Львович аватар
Не на сайте
Был на сайте: 7 лет 2 недели назад
Зарегистрирован: 22.03.2008 - 22:15
Публикации: 54876

У нас в отделении, при отсутствии динамики от проводимой противовоспалительной терапии (безусловно если противовоспалительная терапия была адекватна, и рентген-контроль назначен обоснованно, с учетом этапов патогенеза конкретного заболевания - в данном случае, как сегментарной или полисегментарной пневмонии), принята следующая тактика: - рентгенограммы в прямой и боковой проекциях; - линейная томография на усмотрения врача рентгенолога в прямой и боковой проекциях. Как правило данная методика себя оправдывала.

В вашем случае, даже если предположить наличие злокачественного образования, можно виртуально предположить "наличие или периферического рака или эпителиомы плевры" с развитием парапроцесса в виде пневмонита. Все равно даже при предположительных указанных диагнозах рентген-контроль целесообразно проводить после полного или частичного "разрешения" пневмонита - парапроцесса.

В.Б. Серов аватар
Не на сайте
Был на сайте: 1 неделя 1 час назад
Зарегистрирован: 16.07.2008 - 10:15
Публикации: 1361

Достал и прикрепил первичную флюорограмму (beg), сделана за 10 дней до нижеследующих. Мне кажется на ней угадывается тень за сердцем, на уровне головки 9 р.?

Зри в корень!

Катенёв Валентин Львович аватар
Не на сайте
Был на сайте: 7 лет 2 недели назад
Зарегистрирован: 22.03.2008 - 22:15
Публикации: 54876

Если к чему-то можно придраться, ретроспективно, так только к левому косто-диафрагмальному синусу - мол в нем незначительное количество жидкости.

В.Б. Серов аватар
Не на сайте
Был на сайте: 1 неделя 1 час назад
Зарегистрирован: 16.07.2008 - 10:15
Публикации: 1361

Это мы описывали, как спайку.

Зри в корень!