Подскажите, есть ли проявления артроза?

Пол пациента: 
Тип патологии: 
Область исследования: 
Методы исследования: 

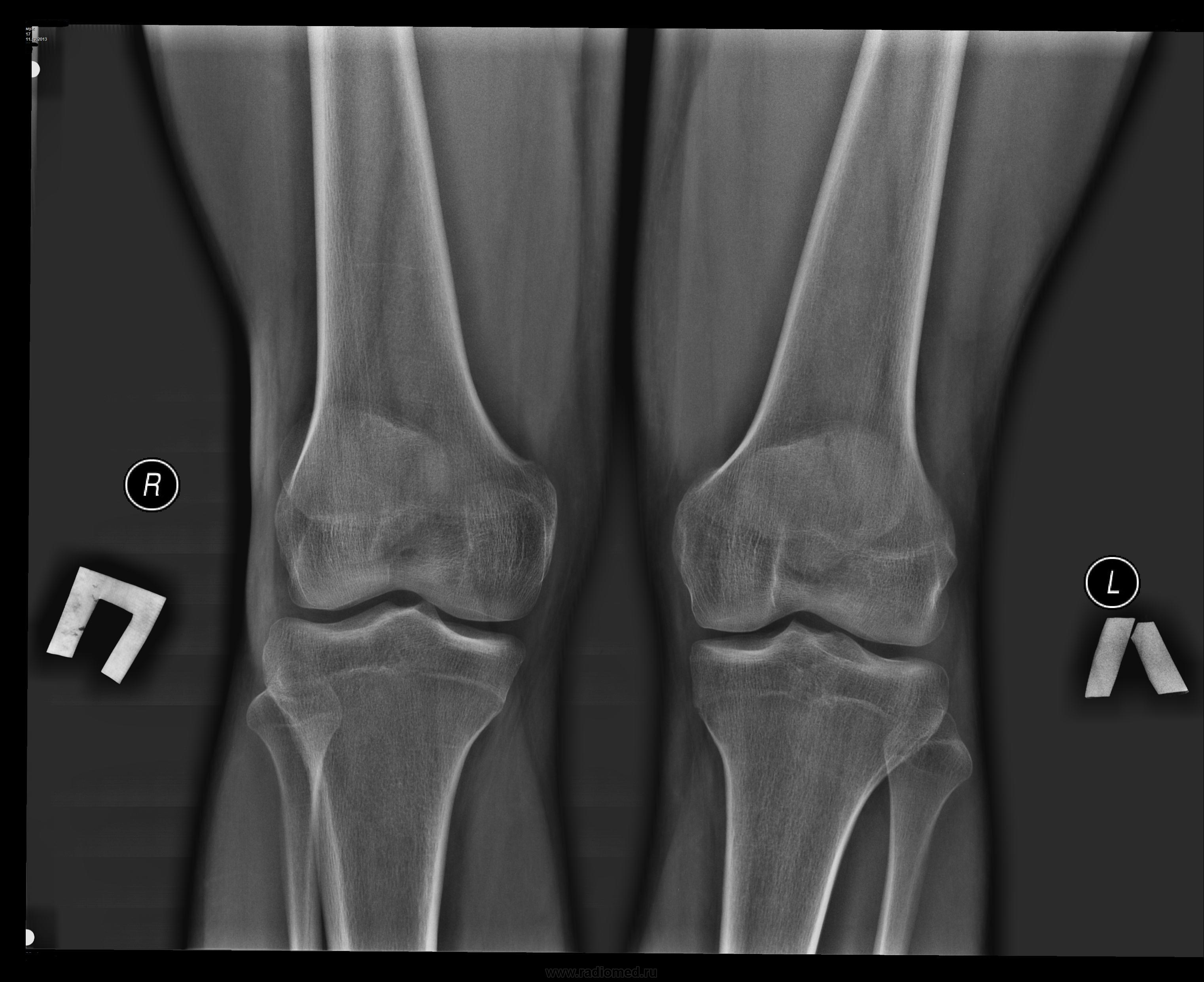
Парень, 17 лет, болезнееность при ходьбе в обоих суставах.

  • https://radiomed.ru/sites/default/files/styles/case_slider_image/public/user/19164/frame_lst_0001_0.jpg?itok=csesE-Q7
  • https://radiomed.ru/sites/default/files/styles/case_slider_image/public/user/19164/frame_lst_0003.jpg?itok=iZ8DDRZE
ID:34146
И.Бондаренко аватар
Не на сайте
Был на сайте: 3 дня 7 часов назад
Зарегистрирован: 13.09.2011 - 22:55
Публикации: 9206

У него были травмы? Почему в 17 лет артроз?

КДЭ док аватар
Не на сайте
Был на сайте: 8 лет 5 месяцев назад
Зарегистрирован: 04.11.2013 - 18:41
Публикации: 150

И.Бондаренко wrote:

У него были травмы? Почему в 17 лет артроз?

Травм не было, сустав при осмотре обычной конфигурации, не изменен, но хрустит при приседании. 

алкс аватар
Не на сайте
Был на сайте: 10 лет 2 недели назад
Зарегистрирован: 24.10.2012 - 22:55
Публикации: 2915

Не справа ли боли?

КДЭ док аватар
Не на сайте
Был на сайте: 8 лет 5 месяцев назад
Зарегистрирован: 04.11.2013 - 18:41
Публикации: 150

алкс wrote:

Не справа ли боли?

В обоих, только  при ходьбе, но сильнее слева болит.

алкс аватар
Не на сайте
Был на сайте: 10 лет 2 недели назад
Зарегистрирован: 24.10.2012 - 22:55
Публикации: 2915

КДЭ док wrote:

алкс wrote:

Не справа ли боли?

В обоих, только  при ходьбе, но сильнее слева болит.

Костных изм. не видно.

КДЭ док аватар
Не на сайте
Был на сайте: 8 лет 5 месяцев назад
Зарегистрирован: 04.11.2013 - 18:41
Публикации: 150

алкс wrote:

КДЭ док wrote:

алкс wrote:

Не справа ли боли?

В обоих, только  при ходьбе, но сильнее слева болит.

Костных изм. не видно.

Тоже так думаю. Но месяц назад пациент делал снимки коленных в другом учреждении, с теми же жалобами к ним обратился. С его слов, в заключение был артроз,  мне кажется, что на жалобы немного там опирались и выставили такое заключени?!

vadim losevichev аватар
Не на сайте
Был на сайте: 7 лет 1 месяц назад
Зарегистрирован: 27.01.2013 - 09:45
Публикации: 679

По снимкам норма.

Non progrĕdi est regrĕdi.

Алексей Игоревич Чернявский аватар
Не на сайте
Был на сайте: 6 лет 10 месяцев назад
Зарегистрирован: 08.08.2012 - 21:52
Публикации: 786

Артроза нет.

"Обучая других - учишься сам". Н.И.Пирогов
 

Катенёв Валентин Львович аватар
Не на сайте
Был на сайте: 7 лет 2 недели назад
Зарегистрирован: 22.03.2008 - 22:15
Публикации: 54876

Рентгенологических данных за ДОА нет.

Соломин Виталий Юрьевич аватар
Не на сайте
Был на сайте: 5 лет 11 месяцев назад
Зарегистрирован: 04.04.2012 - 21:47
Публикации: 1096

Для уточнения диагноза полезно сделать УЗИ коленных суставов.

студент 33 аватар
Не на сайте
Был на сайте: 3 года 8 месяцев назад
Зарегистрирован: 26.02.2014 - 23:23
Публикации: 45

ИНФОРМАТИВНОСТЬ УЗИ очень низкая.сделайте МРТ. хотя если болят оба сустава,то можно и к ревматологам сходить(ревмо-фактор,АСЛО и т.д.) а на R ничего не видно.нужен тщательный анамнез