Помогите, пожалуйста, в постановке заключения

Пол пациента: 
Тип патологии: 
Методы исследования: 

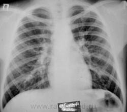
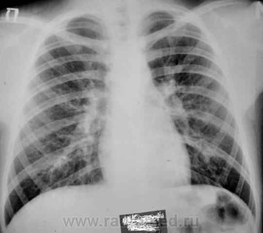
Девочка 10 лет. В течении трех недель беспокоит кашель, насморк, температуры не было, контакт с ОРВИ по дому. На 7.09.10 в легких выслушиваются разнокалиберные хрипы по всем полям,кашель, насморк. За весь период болезни получила симптоматическую терапию (климбутерол, виброцил, зиртек, эреспал, грудной сбор, физиотерапия). В ОАМ и ОАК без изменений.

 

  • https://radiomed.ru/sites/default/files/styles/case_slider_image/public/user/12/12.dsc00706-1_1ab.jpg?itok=tf-HRSir
  • https://radiomed.ru/sites/default/files/styles/case_slider_image/public/user/12/13.dsc00707_2.jpg?itok=hwNjPhhm
  • https://radiomed.ru/sites/default/files/styles/case_slider_image/public/user/12/14.dsc00707_2a.jpg?itok=MfbQkcYj
ID:6444
Zimyshka аватар
Не на сайте
Был на сайте: 8 лет 8 месяцев назад
Зарегистрирован: 13.11.2009 - 18:26
Публикации: 53

Девочка 10 лет. В течении трех недель беспокоит кашель, насморк, температуры не было, контакт с ОРВИ по дому. На 7.09.10 в легких выслушиваются разнокалиберные хрипы по всем полям,кашель, насморк. За весь период болезни получила симптоматическую терапию (климбутерол, виброцил, зиртек, эреспал, грудной сбор, физиотерапия). В ОАМ и ОАК без изменений.

Приложения: 
dsc00706-1.jpgdsc00707.jpg
Vikkur аватар
Не на сайте
Был на сайте: 4 года 8 месяцев назад
Зарегистрирован: 24.09.2009 - 14:34
Публикации: 1749

Может быть плохо лечат бронхит и не было достаточного пассажа мокроты..

Приложения: 
dsc00706-1.jpgdsc00707.jpg

Виктор.

Zimyshka аватар
Не на сайте
Был на сайте: 8 лет 8 месяцев назад
Зарегистрирован: 13.11.2009 - 18:26
Публикации: 53

Vikkur wrote:

Может быть плохо лечат бронхит и не было достаточного пассажа мокроты..

 

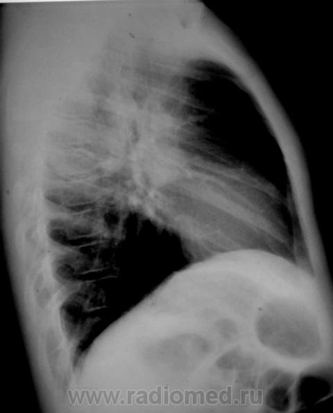
Спасибо за улучшение качества снимков! Все может быть. Но уж больно смущают корни, особенно в боковой проекции

dok-a аватар
Не на сайте
Был на сайте: 9 месяцев 2 недели назад
Зарегистрирован: 14.02.2009 - 19:31
Публикации: 623

Мне тоже кажется, что корни расширены. Бронхоаденит тут не исключить. Требует дальнейшего обследования, оптимально - КТ груди с внутривенным контрастированием, для лучшей визуализации структур средостения. При отсутствии возможности - линейные томограммы.

Катенёв Валентин Львович аватар
Не на сайте
Был на сайте: 7 лет 4 недели назад
Зарегистрирован: 22.03.2008 - 22:15
Публикации: 54876

Да, и томография нужна, да, и консультация фтизиатра не лишней будет.

 

Приложения: 
15.dsc00707_2b.jpg16.dsc00707_2-1.jpg17.dsc00707_2-1a.jpg
Makcimalist аватар
Не на сайте
Был на сайте: 11 лет 9 месяцев назад
Зарегистрирован: 08.05.2010 - 14:28
Публикации: 1994

Картину можно объяснить ОРВИ - тогда:

 - Rg-контроль ч/з 10-14 дней,

 - при сохраняющейся избыточности, неоднородности легочного рисунка, расширении корней - ПОСМОТРЕЛ бы (паренхиму заодно) - КТ ОГК!

--------------

"Просто, по видимости, не видеть логики в очевидных вещах - это тоже одно из свойств некоторых умов, наряду с грустными думами о свойствах ума других."  © Vega 08/10/2011