- https://radiomed.ru/sites/default/files/styles/case_slider_image/public/user/18943/krapcovvasiliydmitri_seg-bmp.jpg?itok=y-oxM88l
- https://radiomed.ru/sites/default/files/styles/case_slider_image/public/user/18943/krapcovvasili_seg-bmp.jpg?itok=13SdQWLM
- https://radiomed.ru/sites/default/files/styles/case_slider_image/public/user/18943/krapcov_30_dek-bmp.jpg?itok=OM5nEPk1
- https://radiomed.ru/sites/default/files/styles/case_slider_image/public/user/18943/krapcovvasiliydmit_30_dek-bmp.jpg?itok=ryRc9XVj
ID:47104
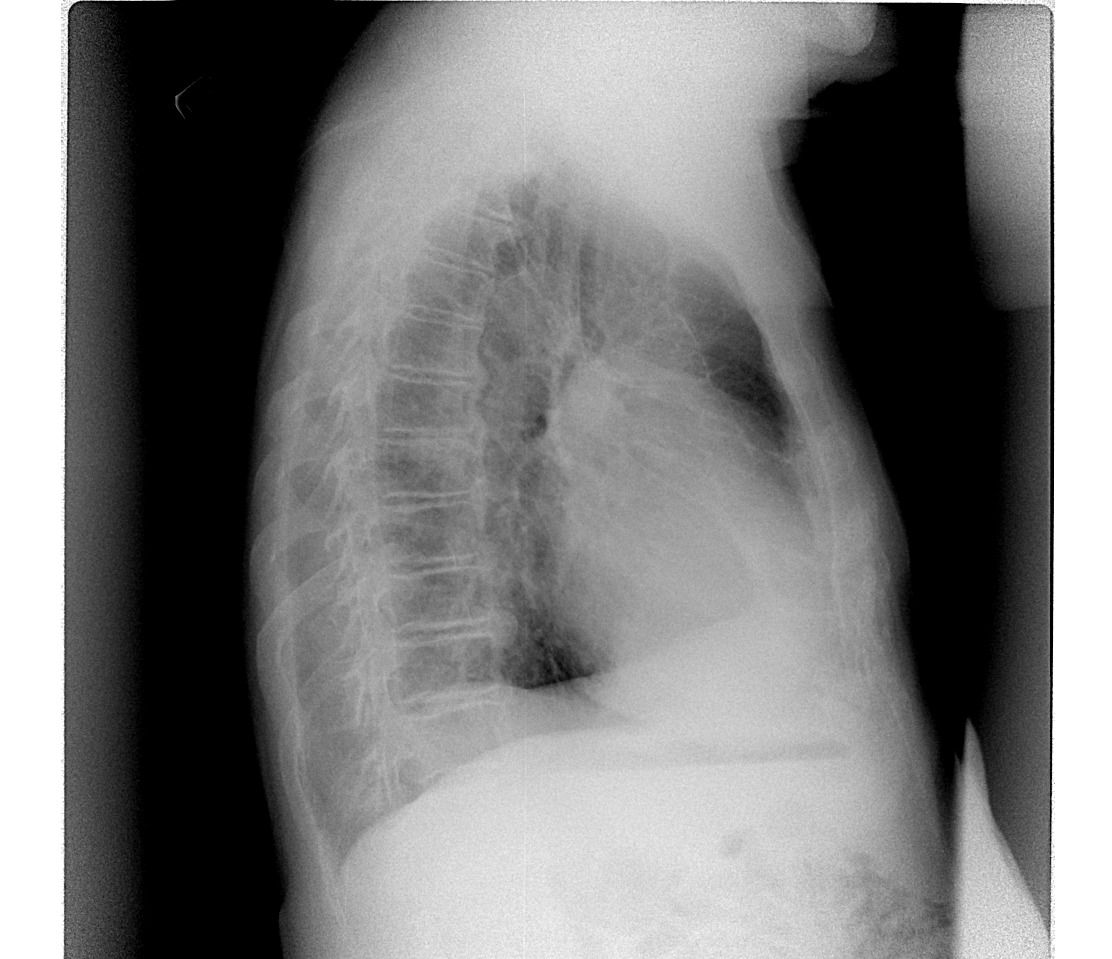
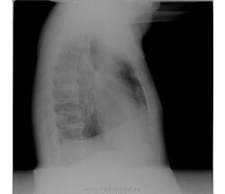
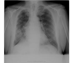
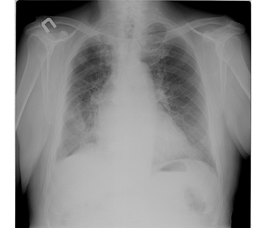
Шварта. Видно на боковом.
она же и на прямом такая обширная что ль?
это плевральные дела.Не берите в голову.
Cпасибо!
Эти так называемые дела можно назвать уплотнённой междолевой плеврой.)) Это главная которая. У кардиологических, бывает, плотнеет она.
--------------
"Просто, по видимости, не видеть логики в очевидных вещах - это тоже одно из свойств некоторых умов, наряду с грустными думами о свойствах ума других." © Vega 08/10/2011
От плотности плевры препарата не знаю пока.) Но лечить я не предлагал. Всего лишь скиалогию уточнил,.. описал.) В том, что не костальная плевра почти что уверен, ну, не на 100%, а на 125%.)) Будем в одном направлении смотреть, будем всё замечать! Ведь в России живём, хоть и в разных мы городах.)
--------------
"Просто, по видимости, не видеть логики в очевидных вещах - это тоже одно из свойств некоторых умов, наряду с грустными думами о свойствах ума других." © Vega 08/10/2011
О"кей!