Помогите с описанием Rg. 2 случая

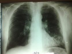
Случай  1.   М., 74 года с сотрясением головного мозга, вестибулопатия. Легочных жалоб нет.  Внимание обращают средние легочные поля с двух сторон. Что-то не нравится, но толком не пойму что.. Может плевральные наслоения?:

    

 

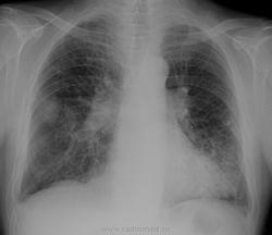
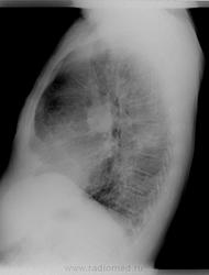
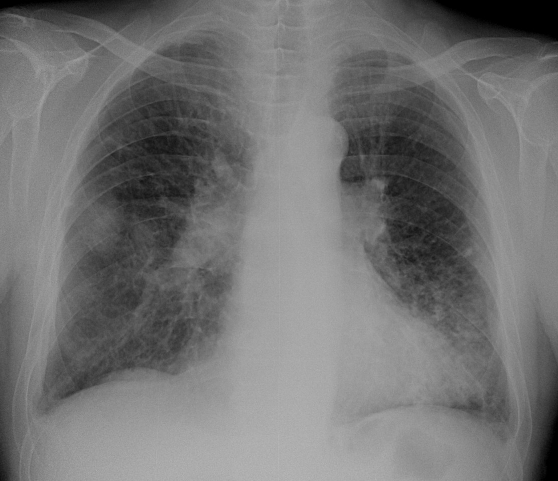
Случай 2.  М, 79 лет. ИБС, ГБ, обостение бронхита. Сейчас жалобы на подъем температуры до 38,4 кашель со слизисто-гнойной мокротой. Что скажете на счет него? Мне не нравится "мазня" с обеих сторон в нижних отделах, больше слева, правый корень и тень справа. Онкология может. Снимки на сегодня: 

    

Снимки его за 7.6.13: Та же "мазня" слева

  • https://radiomed.ru/sites/default/files/styles/case_slider_image/public/user/18943/afonkinnikolay-bmp.jpg?itok=kcfjONZx
  • https://radiomed.ru/sites/default/files/styles/case_slider_image/public/user/18943/boycov_79-bmp.jpg?itok=WAolfVDn
  • https://radiomed.ru/sites/default/files/styles/case_slider_image/public/user/18943/boycovm-bmp.jpg?itok=HGSwa3sP
  • https://radiomed.ru/sites/default/files/styles/case_slider_image/public/user/18943/boycovmihail-bmp.jpg?itok=TbKy3lEt
  • https://radiomed.ru/sites/default/files/styles/case_slider_image/public/user/18943/240220149116.jpg?itok=9bd4siFU
ID:47115
NIL аватар
NIL
Не на сайте
Был на сайте: 15 часов 6 минут назад
Зарегистрирован: 25.11.2013 - 20:50
Публикации: 18206

Пока по первому случаю. Подозреваю ограниченный пневматоракс справа ( не могу понять, есть ли сосудистый рисунок паракостально в нижнем поле. Не нравится группа очаговых теней слева и клиновидный позвонок в нижнегрудном отделе. 

Приложения: 
afonkin_74-bmp.jpgafonkinnikolay-bmp.jpg


"Слушай всех, прислушивайся к немногим, решай сам".©

NIL аватар
NIL
Не на сайте
Был на сайте: 15 часов 6 минут назад
Зарегистрирован: 25.11.2013 - 20:50
Публикации: 18206

По второму - пневмонию в S6 справа пишем (онко - в уме). Рентген контроль после противовоспалительного лечения.


"Слушай всех, прислушивайся к немногим, решай сам".©

И.Бондаренко аватар
Не на сайте
Был на сайте: 2 дня 14 часов назад
Зарегистрирован: 13.09.2011 - 22:55
Публикации: 9206

№1. Скорее всего плевральные дела

№2. Надо онко исключать.

НД аватар
Не на сайте
Был на сайте: 9 лет 7 месяцев назад
Зарегистрирован: 25.09.2013 - 21:06
Публикации: 319

И.Бондаренко wrote:

№1. Скорее всего плевральные дела

№2. Надо онко исключать.

 а слева что за мазня (по всем прямым)?

NIL аватар
NIL
Не на сайте
Был на сайте: 15 часов 6 минут назад
Зарегистрирован: 25.11.2013 - 20:50
Публикации: 18206

А слева мазня и раньше была, и она не прогрессирует. Условия съёмки разные. Я расцениваю  эту картину, как остаточные явления ранее перенесенной пневмонии в S 9 слева.


"Слушай всех, прислушивайся к немногим, решай сам".©

Mila85 аватар
Не на сайте
Был на сайте: 3 года 1 месяц назад
Зарегистрирован: 15.03.2012 - 16:59
Публикации: 1790

В первом случае усилен легочный рисунок в прикорневых зонах, обызвествлены хрящи ребер, но очень напрягает позвонок, указанный NIL - такое чувство, что его что-то "съело", нужен онкопоиск

Во втором случае расширенные, но в целом структурные корни, на боковом снимке кругление в корнях скорее всего за счет расширенной легочной артерии, инфильтраты в легких - в целом укладывается в картину застоя, после лечения можно посмотреть динамику в легких