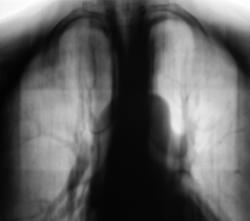
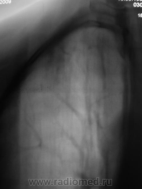
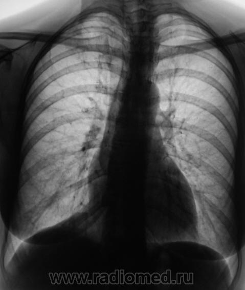
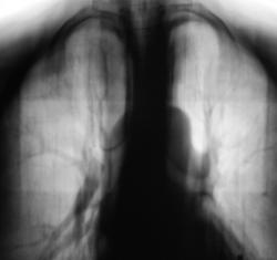
Пол пациента: Мужской пол Тип патологии: Инфекция Область исследования: Грудная клетка и верхние дыхательные пути Методы исследования: Rg После прохождения флюорографии взяли пациента на контроль, дообследовали и направили к коллегам-фтизиатрам. Пациент жалоб не предъявляет. Ваше мнение коллеги? Чт, 24/12/2009 - 14:18 #1 serega Не на сайте Был на сайте: 12 лет 4 месяцев назад Зарегистрирован: 15.10.2009 - 18:10 Публикации: 99 Здравствуйте, Валентин Львович. Тут по моему tbs. А почему Вы "боковушки" не наврезали? Или Вы посчитали, что и так всё ясно? Чт, 24/12/2009 - 14:26 #2 Катенёв Валенти... Не на сайте Был на сайте: 7 лет 3 недели назад Зарегистрирован: 22.03.2008 - 22:15 Публикации: 54876 Здравствуйте уважаемый serega ! Клиника типична - "клиники никакой", жалоб нет. Скиалогия также типичная, сомнений по поводу "очагового" не было. Выполнили "фтизиатрический стандарт" и отдали фтизиатрам.
Здравствуйте, Валентин Львович. Тут по моему tbs. А почему Вы "боковушки" не наврезали? Или Вы посчитали, что и так всё ясно?
Здравствуйте уважаемый serega !
Клиника типична - "клиники никакой", жалоб нет. Скиалогия также типичная, сомнений по поводу "очагового" не было. Выполнили "фтизиатрический стандарт" и отдали фтизиатрам.