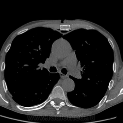
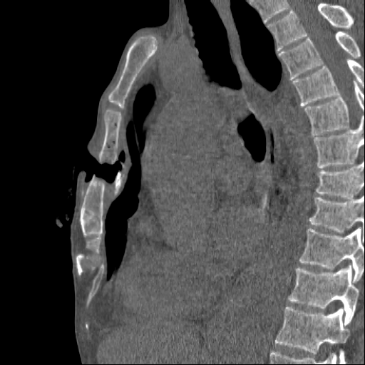
Повреждение грудины, КТ.

После автомобильной травмы с повреждением грудины через пару недель усиливаются боли, температура...

  • https://radiomed.ru/sites/default/files/styles/case_slider_image/public/user/5374/se001_11.png?itok=D2mnJv6K
  • https://radiomed.ru/sites/default/files/styles/case_slider_image/public/user/5374/se002_10.png?itok=6B8h9ewo
  • https://radiomed.ru/sites/default/files/styles/case_slider_image/public/user/5374/se003_10.png?itok=FeBt2RW2
  • https://radiomed.ru/sites/default/files/styles/case_slider_image/public/user/5374/se004_11.png?itok=ZpMzghsP
  • https://radiomed.ru/sites/default/files/styles/case_slider_image/public/user/5374/se005_7.png?itok=nht2Ysb1
  • https://radiomed.ru/sites/default/files/styles/case_slider_image/public/user/5374/se006_8.png?itok=G7WX2mzG
ID:53420