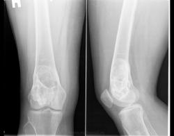
Перелом патологический, на фоне очага литической деструкции. Возможно, ГКО. Может быть аневризмальная киста, хондрома. Какое лечение? - Ну, наверное, удаление образования и костная пластика, не знаю. А может самоизлечение?
Патологический перелом дистального метафиза бедра, в котором определяется большой участок деструкции многокамерной структуры, занимающий весь поперечник кости, окаймленный ободком склероза, слегка вздувающий кость. Кортикальный слой резко истончен. Остеопороз в проксимальном эпиметафизе б/берцовой кости. Склоняюсь к костной кисте. Через 2 года на месте перелома динамика развития склеротических изменений (тенденция к самоизлечению кисты? хотя не могу исключить замещение ткани кисты трансплантатом, т.е. оперативное вмешат-во), уменьшение выраженности остеопороза в проксим. эпиметафизе б/берцовой кости.
У нас уже принято как правило: при рентгеновской и (или) морфологической картине гигантоклеточной опухоли, проводить дообследование на гиперпаратиреоидную остеодистрофию. Поскольку они выглядят одинаково, были случаи, когда пациенты оперированые по поводу ГКО поступали повторно с тем же, но в другом месте, оказывалась болезнь Реклингаузена... Одной пациентке в разных местах успели сделать эндопротезирование т/бедренного сустава и 2 металлоостесинтеза по поводу переломов, потом к нам направили (конечно же с диагнозом - мтс в кости). А ведь при гиперпаратиреоидной остеодистрофии хирургическое лечение очагов в костях не требуется, достаточно удалить аденому паращитовидной железы и костная структура восстанавливается...
Да, и в перлах, которые представил Марио, есть такое:
In expanded lytic bone lesions in older patients, do not forget brown tumors. При наличии экспансивного литического очага у пожилых людей, не забывайте о вероятности brown tumor (остеокластома при гиперпаратиреоидизме).
Перелом патологический, на фоне очага литической деструкции. Возможно, ГКО. Может быть аневризмальная киста, хондрома. Какое лечение? - Ну, наверное, удаление образования и костная пластика, не знаю. А может самоизлечение?
https://www.instagram.com/pediatricradiology/
1.Вероятнее гигантоклеточная опухоль, патологический перелом.
2. Предположительно - лечение оперативное, ревизия полости дструкции с дальнейшим пломбированием.
Метастаз с патологическим переломом. А лечение - трудно сказать - лучи, химия - от гистологии. Но главное - помогло!!!
Патологический перелом дистального метафиза бедра, в котором определяется большой участок деструкции многокамерной структуры, занимающий весь поперечник кости, окаймленный ободком склероза, слегка вздувающий кость. Кортикальный слой резко истончен. Остеопороз в проксимальном эпиметафизе б/берцовой кости. Склоняюсь к костной кисте. Через 2 года на месте перелома динамика развития склеротических изменений (тенденция к самоизлечению кисты? хотя не могу исключить замещение ткани кисты трансплантатом, т.е. оперативное вмешат-во), уменьшение выраженности остеопороза в проксим. эпиметафизе б/берцовой кости.
Делай, что должно, и будь, что будет.
Был патологический перелом? Остеобластокластома? Или фиброзно-кистозная дисплазия?
Виктор.
Увы, к моему глубочайшему сожалению правильно не ответил никто... Тем более, что это заболевание недавно разбирали на сайте.
Представлен случай гиперпаратиреоидной остеодистрофии. А лечение соответственно - удаление аденомы паращитовидной железы. На кости операций не было.
"самоуверенность дилетантов - предмет зависти профессионалов"
https://www.instagram.com/pediatricradiology/
У нас уже принято как правило: при рентгеновской и (или) морфологической картине гигантоклеточной опухоли, проводить дообследование на гиперпаратиреоидную остеодистрофию. Поскольку они выглядят одинаково, были случаи, когда пациенты оперированые по поводу ГКО поступали повторно с тем же, но в другом месте, оказывалась болезнь Реклингаузена... Одной пациентке в разных местах успели сделать эндопротезирование т/бедренного сустава и 2 металлоостесинтеза по поводу переломов, потом к нам направили (конечно же с диагнозом - мтс в кости). А ведь при гиперпаратиреоидной остеодистрофии хирургическое лечение очагов в костях не требуется, достаточно удалить аденому паращитовидной железы и костная структура восстанавливается...
"самоуверенность дилетантов - предмет зависти профессионалов"
Да, и в перлах, которые представил Марио, есть такое:
In expanded lytic bone lesions in older patients, do not forget brown tumors. При наличии экспансивного литического очага у пожилых людей, не забывайте о вероятности brown tumor (остеокластома при гиперпаратиреоидизме).
Надеюсь, теперь запомню.
https://www.instagram.com/pediatricradiology/
Супер! Спасибо за науку.
Виктор.