При расшифровке профилактических цифровых флюорограмм, пациент "взят на контроль".
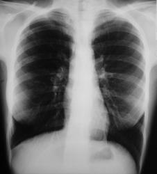
Произведено стандартное исследование в прямой и правой боковой проекциях. Справа на уровне 4 ребра дифференцируется дополнительная крупноочаговая тень размерами 1,3 х 1,8 см.
По ФГ я бы написал норму. Что это такое в ребре - не знаю. Когда установите, сообщите пожалуйста.
Андрей Юрьевич
Я ТАКИХ ПАЦИЕНТОВ БЕРУ НА СКОПИЮ.если образование связано с легочной тканью, то делаю томограммы и рекомендую конс.
специалиста даспансера. если в ребре- то на этом и заканчиваю.
Не думаю что такая находка в ребре (если это в ребре), может представлять клинический интерес.
Let me see...
radiographia.ru
После проведения КТ обязательно результат выставлю.
А почему Марио Вы думаете, что это "в ребре". Мне кажется что данная тень проецируется на тень ребра.
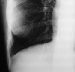
Извините за каламбур, но уж если пошла такая "пьянка"
, то как Вы оцените такие находки:
Let me see...
radiographia.ru
Такие находки я оцениваю весьма положительно, ибо такую теневую картину может давать и паракостальный осумкованный плеврит и эпителиома.
Я бы склонился к осумкованной жидкости, причем травматической природы. А эпителиома (мезотелиома) плевры, если не скрыта в вырабатываемой ею жидкостьюЮ как правило более кругленькая. А вот и ссылка http://www.radiomed.ru/cases/sochetannaya-patologiya-ochagovyi-v-dalneishem-infiltrativnyi-tuberkulez-levogo-legkogo-i-epit
Андрей Юрьевич
Я согласен с Вами Андрей Юрьевич, тем более, чтобы "поймать ту кругленькую" - по ссылке, мы изрядно попотели, а при проведении КТ, была найдена еще одна на той же стороне. Просто я указал наиболее вероятное, по поводу того, что представил Марио.
Доктор Марио! Оценил бы по достоинству с помощью ультразвука!
dok
Кстати, Андрей Юрьевич, мы тоже заметили, что если хорошо поискать, то при переломах ребер, довольно часто имеет место быть небольшое осумкование, просто, как правило, описываешь снимок, указываешь нарушение целостности, а на другое внимание не обращаю.
Спасибо! Действильно, отграниченное скопление жидкости, доказано на УЗИ. Правда, факт травмы отрицает.
Let me see...
radiographia.ru
Dr.Mario
"Действильно, отграниченное скопление жидкости, доказано на УЗИ. Правда, факт травмы отрицает."
Какое Ваше мнение Марио по поводу этио-патогенеза, если обнаруживается аналогичное осумкованное скопление жидкости пристеночно, если факт травмы отрицается, и как "сие" должно называться? Довольно часто, при тщательном обследовании (факт травмы имеется) при переломах ребер можно наити подобные образования, но тогда понятно - "осумкование травматического генеза", а как быть без травмы. Хотелось - бы услышать Вашу точку зрения.
Отрицание факта травмы ещё не означает её отсуствие... Если честно, без не могу сам для себя сформулировать "научно-доказательное" объясбнения. Кстати, то что мы видим после травмы, это ведь по сути пара-костальная гематома.
Let me see...
radiographia.ru
Пара-костальная гематома - очень интересный термин. Сами придумали или вас такой термин есть? И все-таки, если гематома, то гематома чего? Это явно между листками плевры, не писать же в таком случае микро-гемоторакс? Засмеют.
Андрей Юрьевич
Андрей Юрьевич
Паракостальная гематома: этот термин есть. Такие гематомы мы часто видин на КТ после травмы грудной полости с переломами рёбер. Гематомы это находятся кнаружи от париетальной плевры (а не между париетальными и висцеральными листками); как бы фокально "отслаивая" висцеральную плевру от предлежащих тканей и создавая полулунное "вдавление" в грудную плость. На КТ это хорошо видно, большого клин. значения (при малых размерах) не имеет.
Let me see...
radiographia.ru
Очень хорошо! Уже какая-то определенность. А без перелома ребер - это бывает? Или перелом есть, но мы его не видим на рутинных рентгенограммах?
Андрей Юрьевич
Часто бывает что на обычном рентгене перелома не видно, даже если сделать таргетных снимок рёбер. Если я вижу такой признак; топ стараюсь посмотреть на УЗИ, во первых подтверждаешь наличие жидкости, во-вторых-перелом ребра именно в этом месте, если он есть , его можно увидеть на УЗИ.
Let me see...
radiographia.ru
Конечно, без перелома ребер откуда взяться паракостальному кровоизлиянию. Таким образом, неясная тень по внутренней поверхности ребер на снимках при травме грудной клетки яаляется прямым рентгенологическим признаком костальной гематомы, и, следовательно, косвенным признаком перелома соответствующего ребра без смещения. Это важный диагностический признак, и он имеет значение для пациента. Подозреваю, что не все наши коллеги отмечали в протоколах данное обстоятельство. Поздравляю нас, господин Ломоносов, мы открыли закон Лавуазье
!
Подтвердить при этом наличие перелома в условиях обычного рентгенкабинета можно будет, произведя снимки через 3 недели после травмы, по формированию тени костной мозоли ребра.
Андрей Юрьевич
В книге "Лучевая диагностика для торакальных хирургов" Ищенко Б.И. такая тень трактуется как экстраплевральная гематома, мне понравилось название, и я всегда так и пишу )))
https://www.instagram.com/pediatricradiology/
Век живи - век учись! Судя по Яндексу - действительно устоявшийся термин http://yandex.ru/yandsearch?text=%D1%8D%D0%BA%D1%81%D1%82%D1%80%D0%B0%D0%BF%D0%BB%D0%B5%D0%B2%D1%80%D0%B0%D0%BB%D1%8C%D0%BD%D0%B0%D1%8F+%D0%B3%D0%B5%D0%BC%D0%B0%D1%82%D0%BE%D0%BC%D0%B0&stpar2=%2Fh0%2Ftm2%2Fs1&stpar4=%2Fs1
И что там, коллега, у Ищенко написано, признаком чего эта гематома является и не может ли это быть косвенным признаком перелома соответствующего ребра без смещения? Ну, если книжка под рукой. Заранее спасибо.
Андрей Юрьевич
Уважаемый Андрей Юрьевич!
Для этого вопроса создана ветка - прошу. Тема неоднозначная и довольно важная, и мне кажется, что не надо нам идти на поводу у книжек.
Да, как раз она и описывается как признак перелома ребра.
https://www.instagram.com/pediatricradiology/
Цитата: "Да, как раз она и описывается как признак перелома ребра."
ОК! "А мужики-то не знают"
(с)
Андрей Юрьевич
"В книге "Лучевая диагностика для торакальных хирургов" Ищенко Б.И. такая тень трактуется как экстраплевральная гематома"
В свое время, был описан "симптом Немёнова" если только не ошибаюсь, который считалься специфическим для эхинококковой кисты лёгкого, который заключался в том, что при вдохе у образования увеличивался вертикальный размер. Данный симптом, в своё время вошел во все аналлы по рентгенологии, но в последующем оказалось, что никакой специфичности данный симптом не имеет, и данные теневые изменения (в процессе дыхания) характерны для всех значительных размеров (солитарных) кист лёгких.
Ola-la: По поводу термина: экстраплевральная гематома. Гематома передней стенки живота (для примера) тож экстраплевральная; или гематома левой подмышечной области и т.д. Во всех западных руководтсвах пишут: paracostal hematoma, думаю что это наиболее правильно.
Let me see...
radiographia.ru
Словарь медицинских терминов: "h. extrapleurale - гематома, локализующаяся между мягкими тканями грудной стенки и париетальной плеврой."
Доктор Марио, разве я против паракостальной? Просто привела одно из распространенных названий.
https://www.instagram.com/pediatricradiology/
Let me see...
radiographia.ru