Просьба к уважаемым коллегам, разъяснить выставленные изображения.

Пол пациента: 
Методы исследования: 

Просьба к уважаемым коллегам, разъяснить выставленные изображения.

 

 

  • https://radiomed.ru/sites/default/files/styles/case_slider_image/public/user/12/2.r.risunok2.jpg?itok=8Kj0GX5E
  • https://radiomed.ru/sites/default/files/styles/case_slider_image/public/user/12/3.r.risunok3.jpg?itok=tyA9ZW0S
  • https://radiomed.ru/sites/default/files/styles/case_slider_image/public/user/12/4.r.risunok4.jpg?itok=xVkf2HBo
  • https://radiomed.ru/sites/default/files/styles/case_slider_image/public/user/12/5.r.risunok5.jpg?itok=3UT7JHDC
  • https://radiomed.ru/sites/default/files/styles/case_slider_image/public/user/12/6.r.risunok6.jpg?itok=VKZRVcjX
  • https://radiomed.ru/sites/default/files/styles/case_slider_image/public/user/12/7.r.risunok7.jpg?itok=ieWrAka_
  • https://radiomed.ru/sites/default/files/styles/case_slider_image/public/user/12/8.r.risunok8.jpg?itok=fBgJ-JRr
  • https://radiomed.ru/sites/default/files/styles/case_slider_image/public/user/12/9.r.risunok9.jpg?itok=oaJ4xQVD
  • https://radiomed.ru/sites/default/files/styles/case_slider_image/public/user/12/10.r.risunok10.jpg?itok=27fKl42Q
  • https://radiomed.ru/sites/default/files/styles/case_slider_image/public/user/12/11.r.risunok11.jpg?itok=G0SU13lb
  • https://radiomed.ru/sites/default/files/styles/case_slider_image/public/user/12/12.r.risunok12.jpg?itok=4itsaueY
  • https://radiomed.ru/sites/default/files/styles/case_slider_image/public/user/12/13.r.risunok13.jpg?itok=NmbkfXyt
  • https://radiomed.ru/sites/default/files/styles/case_slider_image/public/user/12/14.r.risunok14.jpg?itok=1ctJK5IQ
  • https://radiomed.ru/sites/default/files/styles/case_slider_image/public/user/12/15.r.risunok15.jpg?itok=RrWDJ06r
  • https://radiomed.ru/sites/default/files/styles/case_slider_image/public/user/12/16.r.risunok16.jpg?itok=aP3hO8y5
  • https://radiomed.ru/sites/default/files/styles/case_slider_image/public/user/12/17.r.risunok17.jpg?itok=_2dgg-mD
  • https://radiomed.ru/sites/default/files/styles/case_slider_image/public/user/12/18.r.risunok18.jpg?itok=x1GaIz47
  • https://radiomed.ru/sites/default/files/styles/case_slider_image/public/user/12/19.r.risunok19.jpg?itok=gCiwqsMC
  • https://radiomed.ru/sites/default/files/styles/case_slider_image/public/user/12/20.r.risunok20.jpg?itok=CDPq6QQx
  • https://radiomed.ru/sites/default/files/styles/case_slider_image/public/user/12/1.r.risunok21.jpg?itok=hlkWtcEw
  • https://radiomed.ru/sites/default/files/styles/case_slider_image/public/user/12/2.r.risunok22.jpg?itok=eyXbRC5D
  • https://radiomed.ru/sites/default/files/styles/case_slider_image/public/user/12/3.r.risunok23.jpg?itok=oWv_igbG
  • https://radiomed.ru/sites/default/files/styles/case_slider_image/public/user/12/4.r.risunok24.jpg?itok=6wD6E47f
  • https://radiomed.ru/sites/default/files/styles/case_slider_image/public/user/12/5.r.risunok25.jpg?itok=MQj4A71I
  • https://radiomed.ru/sites/default/files/styles/case_slider_image/public/user/12/6.r.risunok26.jpg?itok=en0lQ8kv
  • https://radiomed.ru/sites/default/files/styles/case_slider_image/public/user/12/7.r.risunok27.jpg?itok=kQnaqH6h
  • https://radiomed.ru/sites/default/files/styles/case_slider_image/public/user/12/8.r.risunok28.jpg?itok=38u8zTNq
  • https://radiomed.ru/sites/default/files/styles/case_slider_image/public/user/12/9.r.risunok29.jpg?itok=hbtRbNGq
  • https://radiomed.ru/sites/default/files/styles/case_slider_image/public/user/12/10.r.risunok30.jpg?itok=JdLH4h63
  • https://radiomed.ru/sites/default/files/styles/case_slider_image/public/user/12/11.r.risunok31.jpg?itok=ynjkEPVH
  • https://radiomed.ru/sites/default/files/styles/case_slider_image/public/user/12/12.r.risunok32.jpg?itok=wcBmFO3k
  • https://radiomed.ru/sites/default/files/styles/case_slider_image/public/user/12/13.r.risunok33.jpg?itok=5V6bKNP8
  • https://radiomed.ru/sites/default/files/styles/case_slider_image/public/user/12/14.r.risunok34.jpg?itok=pHTesd_z
  • https://radiomed.ru/sites/default/files/styles/case_slider_image/public/user/12/1.r.risunok43.jpg?itok=BV4NtnwP
  • https://radiomed.ru/sites/default/files/styles/case_slider_image/public/user/12/2.r.risunok44.jpg?itok=1NtcVYPl
  • https://radiomed.ru/sites/default/files/styles/case_slider_image/public/user/12/3.r.risunok45.jpg?itok=SbMBEHtJ
  • https://radiomed.ru/sites/default/files/styles/case_slider_image/public/user/12/4.r.risunok46.jpg?itok=V2YhG-i5
  • https://radiomed.ru/sites/default/files/styles/case_slider_image/public/user/12/5.r.risunok47.jpg?itok=qCyJyax3
  • https://radiomed.ru/sites/default/files/styles/case_slider_image/public/user/12/6.r.risunok48.jpg?itok=ZIrfo2xs
ID:10821
Сергей Нагорный аватар
Не на сайте
Был на сайте: 9 лет 11 месяцев назад
Зарегистрирован: 13.07.2010 - 22:49
Публикации: 1370

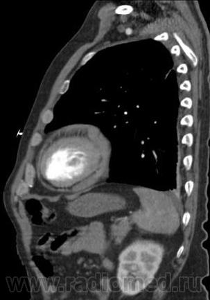
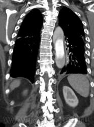
Рассоение аорты тип "A". Восходящий, нисходящий отдел, дуга, переход на брахиоцефалы...

С уважением, С.Н. Нагорный

Nela аватар
Не на сайте
Был на сайте: 6 лет 3 месяцев назад
Зарегистрирован: 12.05.2009 - 20:43
Публикации: 1847

Согласна. Только насчет брахиоцефала возражаю. Его не видно. То, что на 2 срезе, может оказаться верхней точкой дуги аорты. Нужны еще реконструкции, фронтальные например или весь объем.

Lilit аватар
Не на сайте
Был на сайте: 15 лет 1 месяц назад
Зарегистрирован: 05.01.2011 - 22:20
Публикации: 4

Здраствуйте,я новый участник, и только начинающий врач- но у меня уже был один такой случаий- по моему это аневризма аорты с расслоением.Если бы вы прошли до бифуркации аорты -и там тоже увидели аневризму с расслоение то можно было бы поставить диагноз- аневризма с расслоением по Де Бейки- 1 тип.А какая опереция на сердце?

Сергей Нагорный аватар
Не на сайте
Был на сайте: 9 лет 11 месяцев назад
Зарегистрирован: 13.07.2010 - 22:49
Публикации: 1370

Мне до сих пор видится переход... и на одном из не очень удачных фронталов тоже....

С уважением, С.Н. Нагорный

Катенёв Валентин Львович аватар
Не на сайте
Был на сайте: 7 лет 3 месяцев назад
Зарегистрирован: 22.03.2008 - 22:15
Публикации: 54876

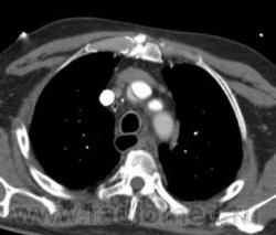
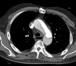
А. в полости перикарда "кровь" есть?

Lilit аватар
Не на сайте
Был на сайте: 15 лет 1 месяц назад
Зарегистрирован: 05.01.2011 - 22:20
Публикации: 4

А извените Валентин Львович ютот вопрос для того чтобы уточнить есть ли разрыв?

Катенёв Валентин Львович аватар
Не на сайте
Был на сайте: 7 лет 3 месяцев назад
Зарегистрирован: 22.03.2008 - 22:15
Публикации: 54876

Вы правы. С этой целью и задан Вопрос. Я написал Вам личное сообщение.

Nela аватар
Не на сайте
Был на сайте: 6 лет 3 месяцев назад
Зарегистрирован: 12.05.2009 - 20:43
Публикации: 1847

Ага, я видно поторопилась. Когда я писала, были только аксиалы и то не все. Теперь, когда появились фронтальные реконструкции вижу переход на устье плечеголовного ствола. Есть признаки разрыва: жидкость в плевральной полости и немного в легком.

Nela аватар
Не на сайте
Был на сайте: 6 лет 3 месяцев назад
Зарегистрирован: 12.05.2009 - 20:43
Публикации: 1847

Катенёв Валентин Львович wrote:

А. в полости перикарда "кровь" есть?

Да, есть.

Катенёв Валентин Львович аватар
Не на сайте
Был на сайте: 7 лет 3 месяцев назад
Зарегистрирован: 22.03.2008 - 22:15
Публикации: 54876

Продолжение.

Приложения: 
11.c.risunok35.jpg12.c.risunok36.jpg13.c.risunok37.jpg14.c.risunok38.jpg
koriatus аватар
Не на сайте
Был на сайте: 3 года 3 месяцев назад
Зарегистрирован: 14.06.2010 - 01:49
Публикации: 452

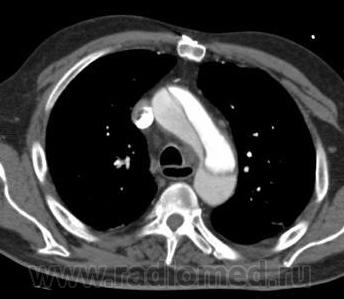
Вопрос легкий, но все же задам: предположим, что контрастирование одинаковое обеих поосветов - какой из них будет ложным , и почему ( на примере данного случая: ложный просвет тот котороый законтрастирован ярче или тот который темнее?). Указываете ли вы это в своем описании?

Катенёв Валентин Львович аватар
Не на сайте
Был на сайте: 7 лет 3 месяцев назад
Зарегистрирован: 22.03.2008 - 22:15
Публикации: 54876

koriatus wrote:
Вопрос легкий, но все же задам: предположим, что контрастирование одинаковое обеих поосветов - какой из них будет ложным , и почему ( на примере данного случая: ложный просвет тот котороый законтрастирован ярче или тот который темнее?). Указываете ли вы это в своем описании?

Я прошу, чтобы мне разъяснили-

"Просьба к уважаемым коллегам, разъяснить выставленные изображения".

koriatus аватар
Не на сайте
Был на сайте: 3 года 3 месяцев назад
Зарегистрирован: 14.06.2010 - 01:49
Публикации: 452

Ну, в данном случае понятно, что просвет который законтрастирован слабее - является ложным. Но в некоторых случаях, довольно сложно определить истинный и ложный просвет. В этом могут помочь: 1. Истинный просвет обычно меньше на аксиалах 2. СимПтом 'клюва' или 'beak sign" - наиболее характерный признак для ложного прросвета ( четко представлен в данном случае)то есть есть клювообразные выпячивания по периферии ложного просета в сторону истинного. 3. Cobweb sign - тоже характерен для ложного просвета ( мелкие 'ниточки' от отслоенной интимы в сторону ложного просвета. Другие признаки менее специфичны Доольно сложно иногда бывает отличить где исинный а где ложный просвет прихронических аневризмах.

У меня вопрос коллегам: вы описываете это? То есть где истинный и где ложный просвет? И насколько это важно при планировании эндоваскулярного вмешательства?