Просьба прокомментировать 1

Пол пациента: 
Тип патологии: 
Методы исследования: 

Просьба прокомментировать 1.

  • https://radiomed.ru/sites/default/files/styles/case_slider_image/public/user/12/2.p2170015.jpg?itok=8J5aN8WT
  • https://radiomed.ru/sites/default/files/styles/case_slider_image/public/user/12/3.p2170017.jpg?itok=zi_0SLhM
  • https://radiomed.ru/sites/default/files/styles/case_slider_image/public/user/12/4.p2170018.jpg?itok=PRnBcr0Q
  • https://radiomed.ru/sites/default/files/styles/case_slider_image/public/user/12/5.p2170025.jpg?itok=wUpcr7LN
  • https://radiomed.ru/sites/default/files/styles/case_slider_image/public/user/12/6.p2170026.jpg?itok=imxvHj20
  • https://radiomed.ru/sites/default/files/styles/case_slider_image/public/user/12/7.p2170028.jpg?itok=XucpVPs0
  • https://radiomed.ru/sites/default/files/styles/case_slider_image/public/user/12/8.p2170029.jpg?itok=ZoI7ggQm
  • https://radiomed.ru/sites/default/files/styles/case_slider_image/public/user/12/9.p2170014.jpg?itok=95g0t5S4
  • https://radiomed.ru/sites/default/files/styles/case_slider_image/public/user/12/10.vvv_.v.v..jpg?itok=B4HC1vQf
  • https://radiomed.ru/sites/default/files/styles/case_slider_image/public/user/12/p2170019.jpg?itok=OpQUX0JU
  • https://radiomed.ru/sites/default/files/styles/case_slider_image/public/user/12/p2170021.jpg?itok=mvZtk2Eg
  • https://radiomed.ru/sites/default/files/styles/case_slider_image/public/user/12/p2170022.jpg?itok=9DH1IMkh
  • https://radiomed.ru/sites/default/files/styles/case_slider_image/public/user/12/p2170024.jpg?itok=IP0JJIcR
ID:19253
Евгений Магонов аватар
Не на сайте
Был на сайте: 7 месяцев 3 недели назад
Зарегистрирован: 07.03.2008 - 15:28
Публикации: 1268

Валентин Львович, качество уж очень мерзкое.

Добрый админ

Катенёв Валентин Львович аватар
Не на сайте
Был на сайте: 7 лет 3 недели назад
Зарегистрирован: 22.03.2008 - 22:15
Публикации: 54876

Согласен, что качество мерзкое, но лучше нет.

Roland аватар
Не на сайте
Был на сайте: 2 недели 6 дней назад
Зарегистрирован: 25.08.2010 - 12:41
Публикации: 30

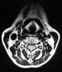
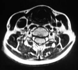
Патологический кифоз в шейном отделе позвоночника. Снижен сигнал и высота диска в сегменте С5-С6, в этом же сегменте небольшая передняя и задняя грыжки. В грудном отделе ось позвоночника отклонена вправо.

Смущает также диаметр внутренней яремной вены справа.

Только подготовленный ум может рассчитывать на удачу)

Helios аватар
Не на сайте
Был на сайте: 7 месяцев 4 недели назад
Зарегистрирован: 06.08.2010 - 15:16
Публикации: 4417

И асимметрия экстракраниальных сегментов позвоночных артерий.

А какие сомения ?

Катенёв Валентин Львович аватар
Не на сайте
Был на сайте: 7 лет 3 недели назад
Зарегистрирован: 22.03.2008 - 22:15
Публикации: 54876

И, "картинки" головы пациентки.

Приложения: 
p2170001.jpgp2170002.jpgp2170003.jpgp2170004.jpgp2170005.jpgp2170006.jpgp2170007.jpgp2170008.jpgp2170009.jpgp2170011.jpgp2170012.jpgp2170014.jpgp2170016.jpgp2170017.jpgp2170019.jpgp2170020.jpg
Катенёв Валентин Львович аватар
Не на сайте
Был на сайте: 7 лет 3 недели назад
Зарегистрирован: 22.03.2008 - 22:15
Публикации: 54876

И, "картинки" головы пациентки.

Приложения: 
p2170021.jpgp2170022.jpgp2170023.jpgp2170024.jpgp2170025.jpgp2170026.jpgp2170027.jpgp2170028.jpgp2170030.jpgp2170031.jpgp2170032.jpgp2170033.jpgp2170034.jpg
Roland аватар
Не на сайте
Был на сайте: 2 недели 6 дней назад
Зарегистрирован: 25.08.2010 - 12:41
Публикации: 30

Субарахноидальные пространства неравномерно расширены, да и базальные цистерны тоже. В ЗЧЯ ретроцеребеллярная киста.

Только подготовленный ум может рассчитывать на удачу)

Roland аватар
Не на сайте
Был на сайте: 2 недели 6 дней назад
Зарегистрирован: 25.08.2010 - 12:41
Публикации: 30

Пациентка 1965 г.р.?

Я так понимаю, представленные сканы с различных (по времени) исследований?

Только подготовленный ум может рассчитывать на удачу)

Катенёв Валентин Львович аватар
Не на сайте
Был на сайте: 7 лет 3 недели назад
Зарегистрирован: 22.03.2008 - 22:15
Публикации: 54876

Шея делалась отдельно голова делалась отдельно в разных ЛПУ.

Дублирования исследований по-времени не было.

Ivanaskina аватар
Не на сайте
Был на сайте: 8 лет 1 месяц назад
Зарегистрирован: 02.04.2011 - 12:41
Публикации: 304

Шейный отдел: патологический кифоз с вершиной на С5, диско-остеофитические комплексы. Яремные вены могут быть различного диаметра и это норма.  мне если честно не нравится мр-сигнал от спинного мозга на уровне и ниже кифоза, но разглядеть не получается.. качество. на счет головы согласна ретроцеребеллярная киста, наружная заместительная гидроцефалия .

Катенёв Валентин Львович аватар
Не на сайте
Был на сайте: 7 лет 3 недели назад
Зарегистрирован: 22.03.2008 - 22:15
Публикации: 54876

Спасибо за высказанные мнения.