Пациент м, возраст – 45 лет.
Направлен на профилактическую флюорографию регистратурой поликлиники, так как в течение 5-ти последних лет флюорографически не обследовался.
Цифровое стандартное флюорографическое профилактическое исследование (проведено на цифровом флюорографе «Ренекс – Флюоро»).
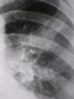
Иллюстрация 1. На цифровой флюорограмме органов грудной полости, произведенной в прямой стандартной проекции, справа медио-базально определяется усиление и обогащение легочного рисунка с элементами деформации. Слева определяется деформация 9 ребра по задней подмышечной линии, как результат консолидации перелома. На уровне переднего фрагмента 2 ребра определяется усиление, сгущение и деформация легочного рисунка, с локальным снижением прозрачности легочной ткани, с превалированием линейных компонентов, исходящих из тела левого корня. Дифференцируется локальное расширение и гомогенизация тени левого корня в области. Проведено дообследование пациента методами рентгенографии и линейной томографии в прямой проекции.
Рентгенологическое исследование проведено по стандартной методике (на РДК на 3 рабочих места – «Вироматик».

Иллюстрации 2, 3 – фрагменты рентгенограмм левого лёгкого в прямой проекции.
Иллюстрация 4 – фрагмент боковой рентгенограммы – вышеописанные изменения локализуются в заднем сегменте верхней доли.
На томограммах – срезы 7, 9, 11 см. (прикрепленный файл) – иллюстрации 1 – 6 - слева в корне группа обызвествленных бронхо-пульмональных лимфатических узлов. Тень левого корня в области тела частично расширена, гомогенизирована. В средней легочной поле определяется фокусная тень не правильной формы, средней интенсивности, неоднородной структуры, с эксцентрически расположенным «просветлением», что указывает на «распад». От фокусной тени четко дифференцируются тяжи в сторону костальной плевры. Контуры не ровные, не четкие, по контуру определяются мелкие «спикулоподобные» структуры, что является свидетельством инфильтративного роста.
Заключение: Рак верхней доли левого лёгкого с локализацией в заднем сегменте. Пациент направлен в областной онкологический диспансер. Диагноз подтвержден.
Данные предоставил Катенёв Валентин Львович, г. Бирюч Белгородской области. МУЗ «Красногвардейская центральная районная больница», зав. рентгенологическим отделением.
| Вложение | Размер |
|---|---|
| 26.92 КБ | |
| 27.59 КБ | |
| 30.87 КБ | |
| 25.29 КБ | |
| 49 КБ |