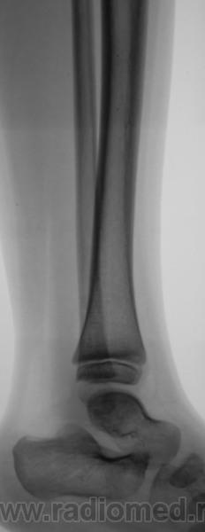
Ребенок из коммерческого областного ЛПУ был направлен по месту жительства, чтобы "доснять" остальные суставы. Выставлен диагноз ревматического полиартрита

Пол пациента: 
Тип патологии: 
Область исследования: 
Методы исследования: 

Ребенок из коммерческого областного ЛПУ был направлен по месту жительства, чтобы "доснять" остальные суставы. Выставлен диагноз ревматического полиартрита

  • https://radiomed.ru/sites/default/files/styles/case_slider_image/public/user/12/12.201201010013.jpg?itok=13Nevtp1
  • https://radiomed.ru/sites/default/files/styles/case_slider_image/public/user/12/13.201201010014.jpg?itok=1bvQ2utV
  • https://radiomed.ru/sites/default/files/styles/case_slider_image/public/user/12/14.201201010015.jpg?itok=DqPh0l1J
  • https://radiomed.ru/sites/default/files/styles/case_slider_image/public/user/12/15.201201010016.jpg?itok=3dK_x9DX
  • https://radiomed.ru/sites/default/files/styles/case_slider_image/public/user/12/16.201201010017.jpg?itok=rlLrZOmD
  • https://radiomed.ru/sites/default/files/styles/case_slider_image/public/user/12/17.201201010018.jpg?itok=yYg0HIoL
  • https://radiomed.ru/sites/default/files/styles/case_slider_image/public/user/12/18.201201010021.jpg?itok=wpZQFfrN
ID:30733
maker4ik аватар
Не на сайте
Был на сайте: 8 лет 7 месяцев назад
Зарегистрирован: 19.10.2011 - 17:49
Публикации: 2682

Я думала, удетей он ЮРА называется. Никогда не видела детских снимков, эрозий не нашла.

Катенёв Валентин Львович аватар
Не на сайте
Был на сайте: 7 лет 2 недели назад
Зарегистрирован: 22.03.2008 - 22:15
Публикации: 54876

Что везде норма?

Андрей Юрьевич аватар
Не на сайте
Был на сайте: 1 неделя 11 часов назад
Зарегистрирован: 16.11.2008 - 22:16
Публикации: 18098

Да нет. Правый локтевой какой-то "неискренний".

Андрей Юрьевич

Алексей Игоревич Чернявский аватар
Не на сайте
Был на сайте: 6 лет 10 месяцев назад
Зарегистрирован: 08.08.2012 - 21:52
Публикации: 786

ЮРА это в основном полиартрит. Ну и у деток тоже часто богатая клиника системных проявлений. Тут только один суглоб, так что скорее бы думал за вторичный артрит. Хотя все может быть. В помощь лаборатория.

"Обучая других - учишься сам". Н.И.Пирогов
 

Катенёв Валентин Львович аватар
Не на сайте
Был на сайте: 7 лет 2 недели назад
Зарегистрирован: 22.03.2008 - 22:15
Публикации: 54876

Андрей Юрьевич wrote:

Да нет. Правый локтевой какой-то "неискренний".

Приложения: 
1.201308100019.jpg2.201308100020.jpg3.201308100022.jpg4.201308100023.jpg
Андрей Юрьевич аватар
Не на сайте
Был на сайте: 1 неделя 11 часов назад
Зарегистрирован: 16.11.2008 - 22:16
Публикации: 18098

А что такое суглоб?

Андрей Юрьевич

Катенёв Валентин Львович аватар
Не на сайте
Был на сайте: 7 лет 2 недели назад
Зарегистрирован: 22.03.2008 - 22:15
Публикации: 54876

Суглоб - это по-украински сустав.

Катенёв Валентин Львович аватар
Не на сайте
Был на сайте: 7 лет 2 недели назад
Зарегистрирован: 22.03.2008 - 22:15
Публикации: 54876

Алексей Игоревич Чернявский wrote:

Тут только один суглоб, так что скорее бы думал за вторичный артрит. 

За артрит рентгенологические данные есть?

Андрей Юрьевич аватар
Не на сайте
Был на сайте: 1 неделя 11 часов назад
Зарегистрирован: 16.11.2008 - 22:16
Публикации: 18098

Катенёв Валентин Львович wrote:

Суглоб - это по-украински сустав.


Понятно. А кукса - культя.

Андрей Юрьевич

Андрей Юрьевич аватар
Не на сайте
Был на сайте: 1 неделя 11 часов назад
Зарегистрирован: 16.11.2008 - 22:16
Публикации: 18098

Катенёв Валентин Львович wrote:

Алексей Игоревич Чернявский wrote:

Тут только один суглоб, так что скорее бы думал за вторичный артрит. 

За артрит рентгенологические данные есть?


По мне так явные - деформация и суставной впадины и локтевого отростка. Природу не скажу. Тут приоритет за лабораторными данными.

Андрей Юрьевич

Катенёв Валентин Львович аватар
Не на сайте
Был на сайте: 7 лет 2 недели назад
Зарегистрирован: 22.03.2008 - 22:15
Публикации: 54876

Андрей Юрьевич wrote:

Понятно. А кукса - культя.

Забывать уже стал..., а в своё время лекции по анатомии весьма успешно викладав...

Алексей Игоревич Чернявский аватар
Не на сайте
Был на сайте: 6 лет 10 месяцев назад
Зарегистрирован: 08.08.2012 - 21:52
Публикации: 786

Андрей Юрьевич wrote:

Катенёв Валентин Львович wrote:

Алексей Игоревич Чернявский wrote:

Тут только один суглоб, так что скорее бы думал за вторичный артрит. 

За артрит рентгенологические данные есть?


По мне так явные - деформация и суставной впадины и локтевого отростка. Природу не скажу. Тут приоритет за лабораторными данными.


И + склероз субхондральный.

"Обучая других - учишься сам". Н.И.Пирогов
 

Андрей Юрьевич аватар
Не на сайте
Был на сайте: 1 неделя 11 часов назад
Зарегистрирован: 16.11.2008 - 22:16
Публикации: 18098

Алексей Игоревич Чернявский wrote:

Катенёв Валентин Львович wrote:

За артрит рентгенологические данные есть?


По мне так явные - деформация и суставной впадины и локтевого отростка. Природу не скажу. Тут приоритет за лабораторными данными.


И + склероз субхондральный.

[/quote]
И фрагментация локтевого отростка.

Андрей Юрьевич

Катенёв Валентин Львович аватар
Не на сайте
Был на сайте: 7 лет 2 недели назад
Зарегистрирован: 22.03.2008 - 22:15
Публикации: 54876

Андрей Юрьевич wrote:

И + склероз субхондральный.


И фрагментация локтевого отростка.

[/quote]

Интересно..., после чего такое может быть?

Андрей Юрьевич аватар
Не на сайте
Был на сайте: 1 неделя 11 часов назад
Зарегистрирован: 16.11.2008 - 22:16
Публикации: 18098

Точно НЕ ревматический процесс: "...Суставной хрящ в процесс не вовлекается, поэтому деформация суставов при ревматизме не происходит."

Андрей Юрьевич

maker4ik аватар
Не на сайте
Был на сайте: 8 лет 7 месяцев назад
Зарегистрирован: 19.10.2011 - 17:49
Публикации: 2682

Андрей Юрьевич wrote:

Точно НЕ ревматический процесс: "...Суставной хрящ в процесс не вовлекается, поэтому деформация суставов при ревматизме не происходит."

Как же так? А я думала, паннус именно хрящ и атакует...

Андрей Юрьевич аватар
Не на сайте
Был на сайте: 1 неделя 11 часов назад
Зарегистрирован: 16.11.2008 - 22:16
Публикации: 18098

Коллега, паннус сопровождает ревматОИДНЫЙ процесс, а в заглавии речь идет о ревматИЧЕСКОМ полиартрите.

Андрей Юрьевич

maker4ik аватар
Не на сайте
Был на сайте: 8 лет 7 месяцев назад
Зарегистрирован: 19.10.2011 - 17:49
Публикации: 2682

Да, спасибо. Ушла читать.

Катенёв Валентин Львович аватар
Не на сайте
Был на сайте: 7 лет 2 недели назад
Зарегистрирован: 22.03.2008 - 22:15
Публикации: 54876

maker4ik wrote:

Ушла читать.

Она ушла и с ней ушли...

Мне, что писать?

Алексей Игоревич Чернявский аватар
Не на сайте
Был на сайте: 6 лет 10 месяцев назад
Зарегистрирован: 08.08.2012 - 21:52
Публикации: 786

Напишите вторичный артрит (возможно посттравматический) или просто артрит без указания этиологии. А что, кстати, было на снимках с области?

"Обучая других - учишься сам". Н.И.Пирогов
 

Катенёв Валентин Львович аватар
Не на сайте
Был на сайте: 7 лет 2 недели назад
Зарегистрирован: 22.03.2008 - 22:15
Публикации: 54876

Алексей Игоревич Чернявский wrote:

Напишите вторичный артрит (возможно посттравматический) 

Что Вас, уважаемый коллега, натолкнуло на мысль о "посттравматическом"?

Почему артрит, а не артроз?

Катенёв Валентин Львович аватар
Не на сайте
Был на сайте: 7 лет 2 недели назад
Зарегистрирован: 22.03.2008 - 22:15
Публикации: 54876

maker4ik wrote:

А я думала, паннус именно хрящ и атакует...

Бог с ним паннусом..., здесь хрящь не отакован?

Катенёв Валентин Львович аватар
Не на сайте
Был на сайте: 7 лет 2 недели назад
Зарегистрирован: 22.03.2008 - 22:15
Публикации: 54876

Алексей Игоревич Чернявский wrote:

 А что, кстати, было на снимках с области?

Снимали коленные суставы и стопы...

Алексей Игоревич Чернявский аватар
Не на сайте
Был на сайте: 6 лет 10 месяцев назад
Зарегистрирован: 08.08.2012 - 21:52
Публикации: 786

Катенёв Валентин Львович wrote:

Снимали коленные суставы и стопы...


Там все спокойно?

"Обучая других - учишься сам". Н.И.Пирогов
 

Катенёв Валентин Львович аватар
Не на сайте
Был на сайте: 7 лет 2 недели назад
Зарегистрирован: 22.03.2008 - 22:15
Публикации: 54876

Конечно спокойно, спокойно везде, кроме правого локтевого сустава...

Алексей Игоревич Чернявский аватар
Не на сайте
Был на сайте: 6 лет 10 месяцев назад
Зарегистрирован: 08.08.2012 - 21:52
Публикации: 786

Катенёв Валентин Львович wrote:

Алексей Игоревич Чернявский wrote:

Напишите вторичный артрит (возможно посттравматический) 

Что Вас, уважаемый коллега, натолкнуло на мысль о "посттравматическом"?

Почему артрит, а не артроз?


 

Дите же, артроз рано еще))) Да и признаков нету, остеофитов нету, щель не сужена, какой-то видимой перестройки костной ткани нету. При скудном анамнезе больше ничего не придумывается. Плюс есть фрагмент локтевого отростка, мог ребенок упасть или стукнутся об что-то.

"Обучая других - учишься сам". Н.И.Пирогов
 

Катенёв Валентин Львович аватар
Не на сайте
Был на сайте: 7 лет 2 недели назад
Зарегистрирован: 22.03.2008 - 22:15
Публикации: 54876

Алексей Игоревич Чернявский wrote:

есть фрагмент локтевого отростка, мог ребенок упасть или стукнутся об что-то.

Этот вопрос я задал маме. Мама несколько странноватая, но уверяет, что травмы не было.

Алексей Игоревич Чернявский аватар
Не на сайте
Был на сайте: 6 лет 10 месяцев назад
Зарегистрирован: 08.08.2012 - 21:52
Публикации: 786

Она могла и не видеть... Ну не знаю, больше вариантов нет. По крайней мере моноартрит крупного суглоба точно не из системных болячек.

"Обучая других - учишься сам". Н.И.Пирогов
 

Алексей Игоревич Чернявский аватар
Не на сайте
Был на сайте: 6 лет 10 месяцев назад
Зарегистрирован: 08.08.2012 - 21:52
Публикации: 786

Немного не к теме, но вот подумал сколько ребенку снимков наделали, какие экраны и пленки у вас используют?

"Обучая других - учишься сам". Н.И.Пирогов
 

Андрей Юрьевич аватар
Не на сайте
Был на сайте: 1 неделя 11 часов назад
Зарегистрирован: 16.11.2008 - 22:16
Публикации: 18098

Валентин Львович, думаю, вероятнее всего, это, все таки, ревматоидный артрит (и так бы и написал в протоколе, пусть утверждают обратное). Но такого ни разу не видел, поэтому с уверенностью утверждать не могу. Термин "вторичный" артрит для меня загадка.

Андрей Юрьевич

Катенёв Валентин Львович аватар
Не на сайте
Был на сайте: 7 лет 2 недели назад
Зарегистрирован: 22.03.2008 - 22:15
Публикации: 54876

Алексей Игоревич Чернявский wrote:

Немного не к теме, но вот подумал сколько ребенку снимков наделали, какие экраны и пленки у вас используют?

И в платной клинике, и у нас делали на "цифре"...

Алексей Игоревич Чернявский аватар
Не на сайте
Был на сайте: 6 лет 10 месяцев назад
Зарегистрирован: 08.08.2012 - 21:52
Публикации: 786

Тогда нормально. Мне показалось, что буква "Л" промаркирована механически.

"Обучая других - учишься сам". Н.И.Пирогов
 

Алексей Игоревич Чернявский аватар
Не на сайте
Был на сайте: 6 лет 10 месяцев назад
Зарегистрирован: 08.08.2012 - 21:52
Публикации: 786

Так что Вы, Валентин Львович, всетаки написали в заключении?

"Обучая других - учишься сам". Н.И.Пирогов