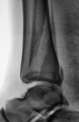
Пол пациента: Мужской пол Тип патологии: Травма Область исследования: Скелетно-мышечная система Методы исследования: Rg Пациенту в ургентном порядке был произведен "первичный снимок". Сегодня пациента доставили на "контрольный снимок". Какие мнения будут уважаемые коллеги? 1.REp_..jpg 2.REp_..jpg 3.REp_..jpg 4.REp_.jpg ВложениеРазмер 1.REp_..jpg70.64 КБ 2.REp_..jpg90.44 КБ 3.REp_..jpg84.75 КБ 4.REp_.jpg72.61 КБ Ср, 09/12/2009 - 20:21 #1 Иринка Не на сайте Был на сайте: 11 лет 5 месяцев назад Зарегистрирован: 16.11.2009 - 22:14 Публикации: 190 Трёхлодыжечный перелом с разрывом дистального межберцового синдесмоза и подвывихом стопы кнаружи. Репозиция неудовлетворительная, показано оперативное лечение. Ср, 09/12/2009 - 20:25 #2 v1tal Не на сайте Был на сайте: 4 года 9 месяцев назад Зарегистрирован: 07.06.2008 - 19:41 Публикации: 1779 На оперативное разрешение все "бонусы" собраны. "Знаешь, у некоторых врачей есть комплекс мессии — им необходимо спасать мир. А у тебя комплекс Рубика — тебе необходимо решать головоломки."
Трёхлодыжечный перелом с разрывом дистального межберцового синдесмоза и подвывихом стопы кнаружи. Репозиция неудовлетворительная, показано оперативное лечение.
На оперативное разрешение все "бонусы" собраны.
"Знаешь, у некоторых врачей есть комплекс мессии — им необходимо спасать мир. А у тебя комплекс Рубика — тебе необходимо решать головоломки."