"Рутина"..., но интересно...

Пол пациента: 
Тип патологии: 
Методы исследования: 

"Рутина"..., но интересно...

  • https://radiomed.ru/sites/default/files/styles/case_slider_image/public/user/12/2.pb150009a.jpg?itok=eeMrIImh
  • https://radiomed.ru/sites/default/files/styles/case_slider_image/public/user/12/3.pb150010.jpg?itok=KlmJ5cjs
ID:16811
УВЛ аватар
Не на сайте
Был на сайте: 8 лет 8 месяцев назад
Зарегистрирован: 15.11.2011 - 22:13
Публикации: 5

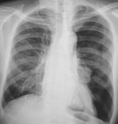
Левосторонний пневмоторакс. Ателектаз левого лёгкого.

Знание малого числа принципов с лёгкостью возмещает незнание многих фактов.

Dr. Dre аватар
Не на сайте
Был на сайте: 13 лет 8 месяцев назад
Зарегистрирован: 28.09.2011 - 16:46
Публикации: 84

Ребра  вроде бы целы. Пациент, насколько вижу, астеник. Булла рванула?

VERITATEM DIES APERIT - истину выявляет время (Сенека)

УВЛ аватар
Не на сайте
Был на сайте: 8 лет 8 месяцев назад
Зарегистрирован: 15.11.2011 - 22:13
Публикации: 5

Булла - наиболее вероятна. Она каааааааааак рванёт!!!

Знание малого числа принципов с лёгкостью возмещает незнание многих фактов.

Евгений1313 аватар
Не на сайте
Был на сайте: 13 лет 1 неделя назад
Зарегистрирован: 15.10.2010 - 19:13
Публикации: 808

Но кровь в синусах есть.

Dr. Dre аватар
Не на сайте
Был на сайте: 13 лет 8 месяцев назад
Зарегистрирован: 28.09.2011 - 16:46
Публикации: 84

Евгений1313 wrote:

Но кровь в синусах есть.

Ух ты! Высший пилотаж! Научите по R-граммам кровь от банальной выпотной жидкости али гноя отличать? Всегда об этом мечталsmiley Достоверного выпота не вижу - латеральный синус слева более вероятно облитерирован.

VERITATEM DIES APERIT - истину выявляет время (Сенека)

Роман Муравьев аватар
Не на сайте
Был на сайте: 4 года 9 месяцев назад
Зарегистрирован: 02.10.2010 - 20:09
Публикации: 191

как заболел, травма была? локальная болезненность при пальпации по описанию? 

Dr. Dre аватар
Не на сайте
Был на сайте: 13 лет 8 месяцев назад
Зарегистрирован: 28.09.2011 - 16:46
Публикации: 84

Роман Муравьев wrote:

как заболел, травма была?

или резкое движение, вдох, подъем тяжести или неудачный поворот тела с внезапной болью в груди и одышкой?wink

VERITATEM DIES APERIT - истину выявляет время (Сенека)

Катенёв Валентин Львович аватар
Не на сайте
Был на сайте: 7 лет 2 недели назад
Зарегистрирован: 22.03.2008 - 22:15
Публикации: 54876

Роман Муравьев wrote:

как заболел, травма была? локальная болезненность при пальпации по описанию? 

Травмы не было. Пациент направлен врачом общей практики с диагнозом... - "Пнемония"....

Заболел почти внезапно.

Dr. Dre аватар
Не на сайте
Был на сайте: 13 лет 8 месяцев назад
Зарегистрирован: 28.09.2011 - 16:46
Публикации: 84

Вуаля! Так оно обычно и бывает. Знакомый мой один, к примеру, перетаскивал тяжелую лестницу, как вдруг... острая боль в боку, одышка, ну а дальше все по схеме (знакомый, кстати, молодой астеник). На R-граммах субтотальный пневмоторакс, на КТ после дренирования множественные разнокалиберные тонкостенные буллы в верхушках обоих легких. Здесь, вероятно, было бы тоже самое.

VERITATEM DIES APERIT - истину выявляет время (Сенека)

Игорь Иванович аватар
Не на сайте
Был на сайте: 3 года 9 месяцев назад
Зарегистрирован: 23.01.2010 - 14:56
Публикации: 3695

УВЛ wrote:

Левосторонний пневмоторакс. Ателектаз левого лёгкого.

Колабирование - да!, а ателектаз ли?

Катенёв Валентин Львович аватар
Не на сайте
Был на сайте: 7 лет 2 недели назад
Зарегистрирован: 22.03.2008 - 22:15
Публикации: 54876

Игорь Иванович wrote:

УВЛ wrote:

Левосторонний пневмоторакс. Ателектаз левого лёгкого.

Колабирование - да!, а ателектаз ли?

+1

Makcimalist аватар
Не на сайте
Был на сайте: 11 лет 8 месяцев назад
Зарегистрирован: 08.05.2010 - 14:28
Публикации: 1994

Dr. Dre wrote:

Евгений1313 wrote:

Но кровь в синусах есть.

Ух ты! Высший пилотаж! Научите по R-граммам кровь от банальной выпотной жидкости али гноя отличать? Всегда об этом мечталsmiley Достоверного выпота не вижу - латеральный синус слева более вероятно облитерирован.

При пневмотораксе (тем более с таким коллабированием лёгкого) свободная жидкость в соответствующем (стороне поражения) рёберно-диафрагмальном синусе будет. Это та жидкость, что позволяет висцеральной плевре беззвучно скользить по париетальной при обычном дыхании, которая продуцируется и реабсорбируется как и другие физиологические жидкости нашего организма...wink

--------------

"Просто, по видимости, не видеть логики в очевидных вещах - это тоже одно из свойств некоторых умов, наряду с грустными думами о свойствах ума других."  © Vega 08/10/2011

Катенёв Валентин Львович аватар
Не на сайте
Был на сайте: 7 лет 2 недели назад
Зарегистрирован: 22.03.2008 - 22:15
Публикации: 54876

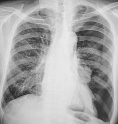
А, вот динамика "от сегодня".

Приложения: 
1.pb250014.jpg2.pb250014a.jpg3.pb250015.jpg4.pb250015a.jpg
Роман Муравьев аватар
Не на сайте
Был на сайте: 4 года 9 месяцев назад
Зарегистрирован: 02.10.2010 - 20:09
Публикации: 191

Чего-то за 10 дней так и не расправилось. А дренажной трубки не видно, какое лечение проводится? В синусе выпот и междолевой похоже

Катенёв Валентин Львович аватар
Не на сайте
Был на сайте: 7 лет 2 недели назад
Зарегистрирован: 22.03.2008 - 22:15
Публикации: 54876

Да, динамика не "фонтан", ставили дренаж по Белау.

Но, посчитали, что все хорошо, посчитали без контрольной рентгенограммы...

Makcimalist аватар
Не на сайте
Был на сайте: 11 лет 8 месяцев назад
Зарегистрирован: 08.05.2010 - 14:28
Публикации: 1994

Роман Муравьев wrote:

Чего-то за 10 дней так и не расправилось. А дренажной трубки не видно, какое лечение проводится? В синусе выпот и междолевой похоже

Междолевого нет - это лёгкое так сдулось  (опустилось-изогнулось)...enlightened

--------------

"Просто, по видимости, не видеть логики в очевидных вещах - это тоже одно из свойств некоторых умов, наряду с грустными думами о свойствах ума других."  © Vega 08/10/2011

stovbav аватар
Не на сайте
Был на сайте: 2 года 2 месяцев назад
Зарегистрирован: 20.12.2009 - 17:28
Публикации: 7066

Makcimalist wrote:

Междолевого нет - это лёгкое так сдулось  (опустилось-изогнулось)...enlightened

+1...так как междолевка так "не ходит"....)))

Fira аватар
Не на сайте
Был на сайте: 13 лет 7 месяцев назад
Зарегистрирован: 10.12.2011 - 17:55
Публикации: 17

Туберкулиеовую пробу бы поставили , слева уже инфильтрация пошла , если я не ошибаюсь , да и изначально мне показалось что слева лимфа узлы реактивны ..Пневмония должна была за 10 дней рассосаться при правильном лечении . Да и ТБЦ часто дает выпот в плевральную полость

stovbav аватар
Не на сайте
Был на сайте: 2 года 2 месяцев назад
Зарегистрирован: 20.12.2009 - 17:28
Публикации: 7066

Fira wrote:

Туберкулиеовую пробу бы поставили , слева уже инфильтрация пошла , если я не ошибаюсь , да и изначально мне показалось что слева лимфа узлы реактивны ..Пневмония должна была за 10 дней рассосаться при правильном лечении . Да и ТБЦ часто дает выпот в плевральную полость

Коллега, извините, но изначально речь шла о ПНЕВМОТОРАКСЕ слева....как то пневмония тут не при делах....

Fira аватар
Не на сайте
Был на сайте: 13 лет 7 месяцев назад
Зарегистрирован: 10.12.2011 - 17:55
Публикации: 17
stovbav аватар
Не на сайте
Был на сайте: 2 года 2 месяцев назад
Зарегистрирован: 20.12.2009 - 17:28
Публикации: 7066

Fira wrote:

http://clip2net.com/s/1vQMY

Это мне известно))), равно как и то, с КАКИМИ только диагнозами не направляют в рентгенкабинет...и далеко не факт, что "пневмония" ей и окажется)))), как впрочем, и случилось в данном случае. Причем ошибка сия не единична, поверьте, приходилось ТАКИЕ ситуации лицезреть и ДО этого случая)))). Резкая боль в грудной клетке и одышка - это еще не пневмония)))))

Fira аватар
Не на сайте
Был на сайте: 13 лет 7 месяцев назад
Зарегистрирован: 10.12.2011 - 17:55
Публикации: 17

Насчет пневмоторакса понятно , но процесс углубился , через 10 дней картина стала еще ярче с обеих сторон , пневматизация на минимуме, и слева косто-диафрагмальный синус не дифференцируется . При всем уважении ко всем , опять же я новичок и поэтому могу ошибаться ..., к сожаленью 

stovbav аватар
Не на сайте
Был на сайте: 2 года 2 месяцев назад
Зарегистрирован: 20.12.2009 - 17:28
Публикации: 7066

1. Поверьте, не поучаю, просто высказываю свое мнение, посколько принимал уже участие в обсуждении ранее)))

2. Сказать что усугубилась картина, нет, не могу. Все таки, какая никакая ПОЛОЖИТЕЛЬНАЯ динамика в плане расправления левого легкого есть. Да - неполное пока, но что поделать, тому есть обьяснение - раннее удаление дренажа без предшествующего рентгенконтроля, на что было и указано Валентином Львовичем. Теперь придется доводить все консервативно, если не дренировать повторно, а не это, зачастую, уходит МНОГО БОЛЬШЕ времени.

3. Вот примерно так. Говорить о пневмонии, на фоне спавшегося или частично спавшегося легкого, как бы Вам сказать....несколько опрометчиво...ибо легко можно ошибиться...ведь коллабирование легкое БОЛЕЕ интенсивную тень дает....

4. Да - выпот как бы есть, но опять же - ему есть обьяснение - а именно - тот же пневмоторакс, жидкость СТЕКАЕТ в синус...расправиться легкое - исчесчезнет и этот небольшой "выпот".

Евгений1313 аватар
Не на сайте
Был на сайте: 13 лет 1 неделя назад
Зарегистрирован: 15.10.2010 - 19:13
Публикации: 808

Столбов всётаки УМНИЦА....

stovbav аватар
Не на сайте
Был на сайте: 2 года 2 месяцев назад
Зарегистрирован: 20.12.2009 - 17:28
Публикации: 7066

Евгений1313 wrote:

Столбов всётаки УМНИЦА....

Спасибо, Евгений, за оценку моих скромных заслуг)))

Но так, для информации))) - моя фамилия Стовба, а зовут меня Виктором Григорьевичем)))))

Катенёв Валентин Львович аватар
Не на сайте
Был на сайте: 7 лет 2 недели назад
Зарегистрирован: 22.03.2008 - 22:15
Публикации: 54876

Все хорошо с пациентов, все, в итоге расправилось.

Fira аватар
Не на сайте
Был на сайте: 13 лет 7 месяцев назад
Зарегистрирован: 10.12.2011 - 17:55
Публикации: 17

спасибо,Вам. Рада всегда поучится у такого опытнейшего врача )))) Честь для меня ) Мне еще многоооому надо поучиться , но надеюсь на лучшее )) Извините за столько поздний ответ ,отсутствовала долгое время