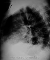
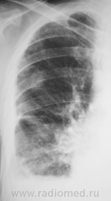
Пациент с подозрением на «пневмонию» направлен на рентгенографию ОГК.

Пол пациента: 
Тип патологии: 
Методы исследования: 

Пациент с подозрением на «пневмонию» направлен на рентгенографию ОГК.

  • https://radiomed.ru/sites/default/files/styles/case_slider_image/public/user/12/2.p2070022a.jpg?itok=uTq86Z-a
  • https://radiomed.ru/sites/default/files/styles/case_slider_image/public/user/12/3.p2070024.jpg?itok=PllPQo40
  • https://radiomed.ru/sites/default/files/styles/case_slider_image/public/user/12/4.p2070024a.jpg?itok=R9J4nzkX
  • https://radiomed.ru/sites/default/files/styles/case_slider_image/public/user/12/5.p2070025.jpg?itok=PVFlelKQ
  • https://radiomed.ru/sites/default/files/styles/case_slider_image/public/user/12/6.p2070025a.jpg?itok=Nhu3E9bz
  • https://radiomed.ru/sites/default/files/styles/case_slider_image/public/user/12/7.p2070026.jpg?itok=_-SabvAw
  • https://radiomed.ru/sites/default/files/styles/case_slider_image/public/user/12/8.p2070026a.jpg?itok=8BbTFzY0
  • https://radiomed.ru/sites/default/files/styles/case_slider_image/public/user/12/9.p2070027.jpg?itok=rlDq6_pP
  • https://radiomed.ru/sites/default/files/styles/case_slider_image/public/user/12/10.p2070027a.jpg?itok=EnErHY4I
  • https://radiomed.ru/sites/default/files/styles/case_slider_image/public/user/12/11.p2070028.jpg?itok=nZ3pl64p
  • https://radiomed.ru/sites/default/files/styles/case_slider_image/public/user/12/12.p2070028a.jpg?itok=YU5wMJof
ID:11895
Леонид аватар
Не на сайте
Был на сайте: 8 лет 12 месяцев назад
Зарегистрирован: 13.01.2011 - 19:33
Публикации: 445

Срыв компенсации в большом круге кровообращения. В верхней доле справа была тяжелая пневмония.

Helios аватар
Не на сайте
Был на сайте: 7 месяцев 2 недели назад
Зарегистрирован: 06.08.2010 - 15:16
Публикации: 4417

По-моему, здесь всего " до кучи"-застой в малом круге+ верхняя доля справа как-то напрягает.В синусах с 2-х сторон выпот.

Клиника, анамнез соответствуют пневмонии( застою)?Еще бы архив хоть одним глазком глянуть...( мечтаю).

Катенёв Валентин Львович аватар
Не на сайте
Был на сайте: 7 лет 2 недели назад
Зарегистрирован: 22.03.2008 - 22:15
Публикации: 54876

Архива нет.

Helios аватар
Не на сайте
Был на сайте: 7 месяцев 2 недели назад
Зарегистрирован: 06.08.2010 - 15:16
Публикации: 4417

Тогда пока остаюсь при своем мнении+ контроль.