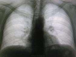
Шаровидное образование в левом лёгком

Пол пациента: 
Методы исследования: 

Мужчина молодого возраста проходил профосмотр и выявилось шаровидная тень. Жалоб пациент не предъявляет. От томограмм врачи отказались, сказав, что повезут его сразу на КТ. Как будут развиваться события дальше я не знаю. Хотелось бы посоветоваться с коллегами, что это. Предварительно я написал о кальцинате, добр. опухоль.

  • https://radiomed.ru/sites/default/files/styles/case_slider_image/public/user/712/sl273212.jpg?itok=6oz9wnaD
ID:7689
Vikkur аватар
Не на сайте
Был на сайте: 4 года 8 месяцев назад
Зарегистрирован: 24.09.2009 - 14:34
Публикации: 1749

то ли в глаз что то попало но чето я ни чего шаровидного не вижу ((((

Виктор.

Грицько Виталий аватар
Не на сайте
Был на сайте: 8 лет 12 месяцев назад
Зарегистрирован: 05.01.2010 - 14:06
Публикации: 1058

Слева в верхней доле, без томограмм тяжело что то говорить.

Vikkur аватар
Не на сайте
Был на сайте: 4 года 8 месяцев назад
Зарегистрирован: 24.09.2009 - 14:34
Публикации: 1749

за ключицей?

Виктор.

Helios аватар
Не на сайте
Был на сайте: 7 месяцев 2 недели назад
Зарегистрирован: 06.08.2010 - 15:16
Публикации: 4417

Томографируйте , если сомневаетесь.

Грицько Виталий аватар
Не на сайте
Был на сайте: 8 лет 12 месяцев назад
Зарегистрирован: 05.01.2010 - 14:06
Публикации: 1058

Helios wrote:
Томографируйте , если сомневаетесь.

Так на КТ уже направили.