Пол пациента:
Тип патологии:
Область исследования:
Методы исследования:
- https://radiomed.ru/sites/default/files/styles/case_slider_image/public/user/12/2.pb210005a.jpg?itok=MHPQd87Q
- https://radiomed.ru/sites/default/files/styles/case_slider_image/public/user/12/3.pb210006v.jpg?itok=JMvoEZp7
- https://radiomed.ru/sites/default/files/styles/case_slider_image/public/user/12/4.pb210006vg.jpg?itok=w0LFtQjZ
- https://radiomed.ru/sites/default/files/styles/case_slider_image/public/user/12/5.pb210007.jpg?itok=23vAAekd
- https://radiomed.ru/sites/default/files/styles/case_slider_image/public/user/12/6.pb210007a.jpg?itok=H6EsxTpk
- https://radiomed.ru/sites/default/files/styles/case_slider_image/public/user/12/7.pb210007ab.jpg?itok=EqnNsWv9
ID:16906
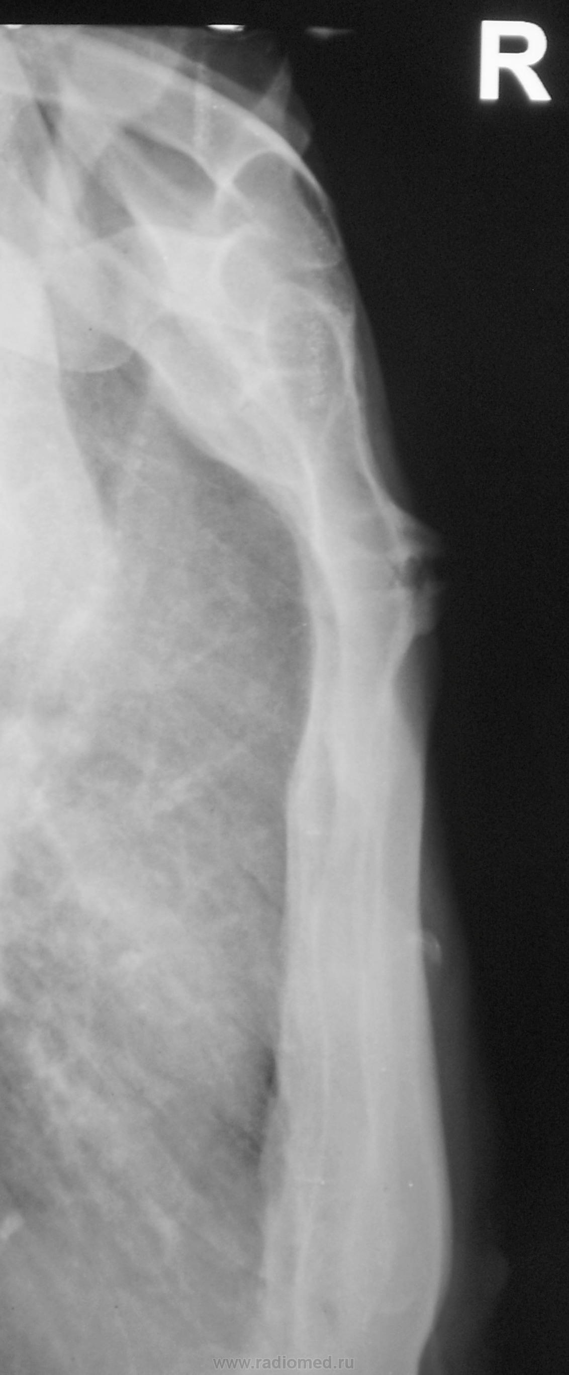
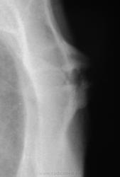
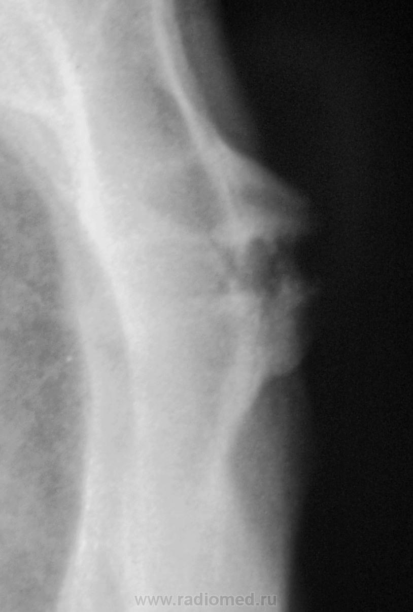
Снимки хорошие, но всё-таки сделал бы томографию. А так, скорее всего, признаки артроза в суставе между телом и рукояткой грудины.
Какой-то остеохондрит типа "Титце".
Великое преймущество врача заключается в том, что он не обязан следовать собственным советам. ( А. Кристи)
Спасибо коллеги за высказанные мнения.
Спасибо!
Артроз то - артрозом, но нет ли тут и асептического некроза нижне-внутреннего края рукоятки грудины....или мне секвестроподобная тень в этом участке "мерещится"?))))
Болезни ног: виды, симптомы, причины, профилактика и лечение
Однако, при таких размеров "шишечке" клиника неблагополучия должна быть!
--------------
"Просто, по видимости, не видеть логики в очевидных вещах - это тоже одно из свойств некоторых умов, наряду с грустными думами о свойствах ума других." © Vega 08/10/2011