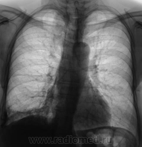
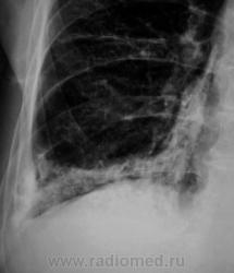
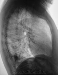
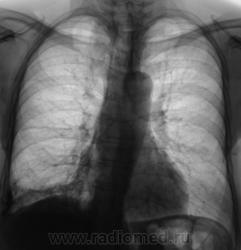
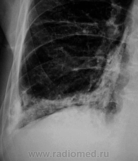
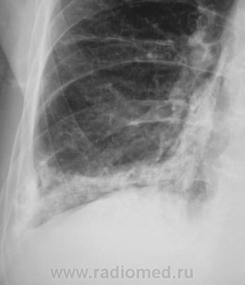
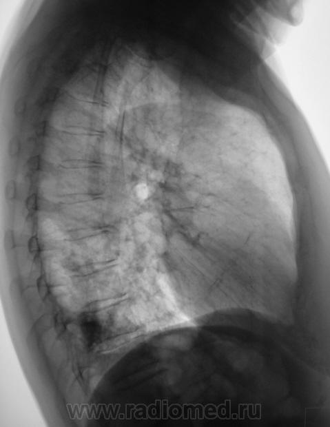
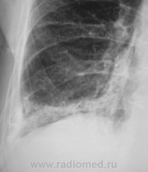
Пациент направлен на рентгенографию ОГК.

Пол пациента: 
Тип патологии: 
Методы исследования: 

Пациент направлен на рентгенографию ОГК.

  • https://radiomed.ru/sites/default/files/styles/case_slider_image/public/user/12/12.pb260041.jpg?itok=64Pft-Is
  • https://radiomed.ru/sites/default/files/styles/case_slider_image/public/user/12/13.pb260039.jpg?itok=gCotVc2x
  • https://radiomed.ru/sites/default/files/styles/case_slider_image/public/user/12/14.pb260039a.jpg?itok=JQIqPWLV
  • https://radiomed.ru/sites/default/files/styles/case_slider_image/public/user/12/15..pb260040.jpg?itok=zRUHRYok
  • https://radiomed.ru/sites/default/files/styles/case_slider_image/public/user/12/16.pb260040a.jpg?itok=ZL5soWaE
ID:9482
Сан Саныч1 аватар
Не на сайте
Был на сайте: 11 месяцев 2 недели назад
Зарегистрирован: 07.06.2010 - 21:17
Публикации: 2114

А томограммы?

Хочешь сделать что-то нормально - сделай это сам!

Катенёв Валентин Львович аватар
Не на сайте
Был на сайте: 7 лет 2 недели назад
Зарегистрирован: 22.03.2008 - 22:15
Публикации: 54876

А томограмм нет. Просто демонстируется обызвествленная плевра.