Случайная находка

Пол пациента: 
Тип патологии: 

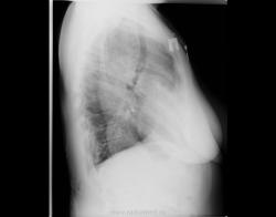
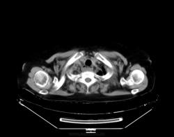
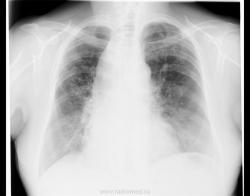
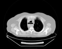
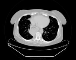
При профилактическом исследовании у женщины 75 лет выявлены изменения в легких и средостенье. Выполнена КТ. Ваше мнение, коллеги?

  • https://radiomed.ru/sites/default/files/styles/case_slider_image/public/user/1158/2..jpg?itok=vXFIllJg
  • https://radiomed.ru/sites/default/files/styles/case_slider_image/public/user/1158/5..jpg?itok=ZvY_rm1m
  • https://radiomed.ru/sites/default/files/styles/case_slider_image/public/user/1158/6..jpg?itok=nihv3xAl
  • https://radiomed.ru/sites/default/files/styles/case_slider_image/public/user/1158/8..jpg?itok=01dD1wtb
ID:1640
v1tal аватар
Не на сайте
Был на сайте: 4 года 9 месяцев назад
Зарегистрирован: 07.06.2008 - 19:41
Публикации: 1779

На сколько я понимаю это пищевод с содержимым, вот только не понятно на последнем скане, режим бы другой.

"Знаешь, у некоторых врачей есть комплекс мессии — им необходимо спасать мир. А у тебя комплекс Рубика — тебе необходимо решать головоломки."

Катенёв Валентин Львович аватар
Не на сайте
Был на сайте: 7 лет 2 недели назад
Зарегистрирован: 22.03.2008 - 22:15
Публикации: 54876

Аналогичный случай выкладывал Виктор Григорьевич Стовба.

Катенёв Валентин Львович аватар
Не на сайте
Был на сайте: 7 лет 2 недели назад
Зарегистрирован: 22.03.2008 - 22:15
Публикации: 54876

Но там была ахалазия. А по рентгенограммам, мне, что-то кажется, что в данном случае аорта.

v1tal аватар
Не на сайте
Был на сайте: 4 года 9 месяцев назад
Зарегистрирован: 07.06.2008 - 19:41
Публикации: 1779

Думается мне Валентин Львович не всё так просто, если Татьяна Валентиновна разместила данный случай явно не с демонстрацией ахалазии пищевода, сдесь надо исключать образование пищевода, а это несколько затруднительно из-за отсутствия скана в соответствующем режиме. Что же косается изменения в легких :-), это провакация это можно по разному трактовать, вплоть до возрастных изменений с учетом возроста.

"Знаешь, у некоторых врачей есть комплекс мессии — им необходимо спасать мир. А у тебя комплекс Рубика — тебе необходимо решать головоломки."

Катенёв Валентин Львович аватар
Не на сайте
Был на сайте: 7 лет 2 недели назад
Зарегистрирован: 22.03.2008 - 22:15
Публикации: 54876

Ну, слева на верхушке - не провокация.

v1tal аватар
Не на сайте
Был на сайте: 4 года 9 месяцев назад
Зарегистрирован: 07.06.2008 - 19:41
Публикации: 1779

А вдруг канцер :-)

"Знаешь, у некоторых врачей есть комплекс мессии — им необходимо спасать мир. А у тебя комплекс Рубика — тебе необходимо решать головоломки."

tatyana аватар
Не на сайте
Был на сайте: 4 года 1 месяц назад
Зарегистрирован: 24.06.2009 - 08:33
Публикации: 2090

Почему провокация?! У меня что, имидж такой? о провокациях я так сразу и пишу в заголовке... Нет здесь ни провокации, ни загадки. Действительно, ахалазия кардии, пневмофиброз в легких, по-видимому метатуберкулезный. А случай мне показался интересным, потому как эта ахалазия имеет 50 лет анамнеза без лечения

"самоуверенность дилетантов - предмет зависти профессионалов"

v1tal аватар
Не на сайте
Был на сайте: 4 года 9 месяцев назад
Зарегистрирован: 07.06.2008 - 19:41
Публикации: 1779

Ну вот, а я уже думал, что там всё таки имеется "органика" :-), хотя первые мысли были тоже в пользу ахалазии.

"Знаешь, у некоторых врачей есть комплекс мессии — им необходимо спасать мир. А у тебя комплекс Рубика — тебе необходимо решать головоломки."

Катенёв Валентин Львович аватар
Не на сайте
Был на сайте: 7 лет 2 недели назад
Зарегистрирован: 22.03.2008 - 22:15
Публикации: 54876

tatyana wrote:

Почему провокация?! У меня что, имидж такой? о провокациях я так сразу и пишу в заголовке... Нет здесь ни провокации, ни загадки. Действительно, ахалазия кардии, пневмофиброз в легких, по-видимому метатуберкулезный. А случай мне показался интересным, потому как эта ахалазия имеет 50 лет анамнеза без лечения


Уважаемая Татьяна Валентиновна!

У Вас прекрасный  имидж! Не надо хмурить брови! Улыбнитесь!

tatyana аватар
Не на сайте
Был на сайте: 4 года 1 месяц назад
Зарегистрирован: 24.06.2009 - 08:33
Публикации: 2090

 Смешно

"самоуверенность дилетантов - предмет зависти профессионалов"