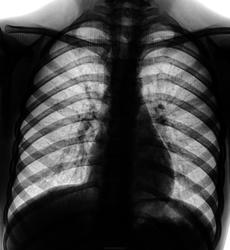
Снимок "дитяти" и только в прямой проекции.

Пол пациента: 
Тип патологии: 
Методы исследования: 

Снимок "дитяти" и только в прямой проекции.

Что посоветуете в протоколе написать Уважаемые Коллеги?

Может чего детские рентгенологи подскажут?

  • https://radiomed.ru/sites/default/files/styles/case_slider_image/public/user/12/2.dscn1534a.jpg?itok=drCvX73B
ID:28055
maker4ik аватар
Не на сайте
Был на сайте: 8 лет 7 месяцев назад
Зарегистрирован: 19.10.2011 - 17:49
Публикации: 2682

Я за норму, но я от детей далека.

Катенёв Валентин Львович аватар
Не на сайте
Был на сайте: 7 лет 3 недели назад
Зарегистрирован: 22.03.2008 - 22:15
Публикации: 54876

Корни не нравятся...

алкс аватар
Не на сайте
Был на сайте: 10 лет 3 недели назад
Зарегистрирован: 24.10.2012 - 22:55
Публикации: 2915

Катенёв Валентин Львович wrote:

Корни не нравятся...

Слева тоже не очень нравится, но к норме ближе, или том. корней?

Катенёв Валентин Львович аватар
Не на сайте
Был на сайте: 7 лет 3 недели назад
Зарегистрирован: 22.03.2008 - 22:15
Публикации: 54876

алкс wrote:

Слева тоже не очень нравится, но к норме ближе, или томография корней?

Вы думаете надо томографировать?

Алексей Игоревич Чернявский аватар
Не на сайте
Был на сайте: 6 лет 10 месяцев назад
Зарегистрирован: 08.08.2012 - 21:52
Публикации: 786

Детские рентгенологи дефицит.

"Обучая других - учишься сам". Н.И.Пирогов
 

Катенёв Валентин Львович аватар
Не на сайте
Был на сайте: 7 лет 3 недели назад
Зарегистрирован: 22.03.2008 - 22:15
Публикации: 54876

Алексей Игоревич Чернявский wrote:

Детские рентгенологи дефицит.

И наши, которые на сайте, тоже молчат...

И, что делать бедному "взрослому рентгенологу"?

Dima аватар
Не на сайте
Был на сайте: 7 лет 2 месяцев назад
Зарегистрирован: 05.08.2012 - 17:39
Публикации: 2467

Катенёв Валентин Львович wrote:

Алексей Игоревич Чернявский wrote:

Детские рентгенологи дефицит.

И наши, которые на сайте, тоже молчат...

И, что делать бедному "взрослому рентгенологу"?

Судить по клинике, можно рентгенконтроль после лечения назначить.

Терпимость - это когда прощают чужие ошибки; такт - когда не замечают их. (Артур Шницлер)

Gorbovsky аватар
Не на сайте
Был на сайте: 6 лет 1 месяц назад
Зарегистрирован: 03.08.2011 - 18:05
Публикации: 348

А клиника у ребенка какая-то есть?

Было бы величайшей ошибкой думать (с)

Катенёв Валентин Львович аватар
Не на сайте
Был на сайте: 7 лет 3 недели назад
Зарегистрирован: 22.03.2008 - 22:15
Публикации: 54876

Dima wrote:

Судить по клинике, можно рентгенконтроль после лечения назначить.

Рентген-контроль после какого лечения, лечения по поводу чего?

Катенёв Валентин Львович аватар
Не на сайте
Был на сайте: 7 лет 3 недели назад
Зарегистрирован: 22.03.2008 - 22:15
Публикации: 54876

Gorbovsky wrote:

А клиника у ребенка какая-то есть?

Только кашель, ну а на вид "дохловат" мал-мал....

Катенёв Валентин Львович аватар
Не на сайте
Был на сайте: 7 лет 3 недели назад
Зарегистрирован: 22.03.2008 - 22:15
Публикации: 54876

Вот такой срез...

Приложения: 
1.dscn1530.jpg2.dscn1530a.jpg
алкс аватар
Не на сайте
Был на сайте: 10 лет 3 недели назад
Зарегистрирован: 24.10.2012 - 22:55
Публикации: 2915

Ну, значит левая ЛА такая, что вызывала подозрение. Очень, мне кажется, сделано все правильно. Нет признаков аденопатии - к УЗИ сердца, для искл. ВПС. Исключат ВПС - тогда как вариант ЛА.

Катенёв Валентин Львович аватар
Не на сайте
Был на сайте: 7 лет 3 недели назад
Зарегистрирован: 22.03.2008 - 22:15
Публикации: 54876

И очагов нет?

алкс аватар
Не на сайте
Был на сайте: 10 лет 3 недели назад
Зарегистрирован: 24.10.2012 - 22:55
Публикации: 2915

Катенёв Валентин Львович wrote:

И очагов нет?

По-моему все очаги по ходу сосудов и их разветвлений. М.б. я не прав, но мне  кажется сосудистые очаги.

Алексей Игоревич Чернявский аватар
Не на сайте
Был на сайте: 6 лет 10 месяцев назад
Зарегистрирован: 08.08.2012 - 21:52
Публикации: 786

На томках легочных очагов нет. К чему можно придратся - в левом корне лимфоузлы уплотненные (или даже кальцинированные).

"Обучая других - учишься сам". Н.И.Пирогов
 

Катенёв Валентин Львович аватар
Не на сайте
Был на сайте: 7 лет 3 недели назад
Зарегистрирован: 22.03.2008 - 22:15
Публикации: 54876

Алексей Игоревич Чернявский wrote:

К чему можно придратся - в левом корне лимфоузлы уплотненные (или даже кальцинированные).

Ребенку 12 лет. И куда эти лимфоузлы "присобачить"?

Алексей Игоревич Чернявский аватар
Не на сайте
Был на сайте: 6 лет 10 месяцев назад
Зарегистрирован: 08.08.2012 - 21:52
Публикации: 786

Я по "ребенкам" не очень. Может перенес туберкульоз внутригрудных л/у. Возможно реактивация пошла, раз он худой на вид. Других мыслей нет.

"Обучая других - учишься сам". Н.И.Пирогов
 

Любовь С. аватар
Не на сайте
Был на сайте: 9 лет 5 месяцев назад
Зарегистрирован: 23.12.2010 - 01:58
Публикации: 2324

Ну и зачем ЛТ, если по ней нельзя вынести заключение??? Томографировать детей - мягко говоря, это неправильно. Что режем, зачем? Без бокового? Кошмар. Боковой делаем, ставим первичный туб.комплекс в S6 (к примеру) под вопросом и на консультацию к фтизиатру. А там уж решается: просто инфильтрация, не просто, какие контроли и дообследования.

http://www.radiomed.ru/publications/tuberkulez-pervichnyi-tuberkuleznyi-kompleks-pervichnye-formy-tuberkuleza

http://www.radiomed.ru/publications/tuberkulez-pervichnyi-tuberkulez-pervichnyi-tuberkuleznyi-kompleks#comment-92044

http://www.radiomed.ru/publications/rentgenodiagnostika-tuberkulyoza-lyogkih-pervichnyy-tubkompleks-tub-bronhoadenit

"Предоставляя весь смысл и совершенство в распоряжение одного только Бога, вы избавляете себя от бездны хлопот." Джон Уитборн.

Ola-la аватар
Не на сайте
Был на сайте: 10 месяцев 1 неделя назад
Зарегистрирован: 06.12.2008 - 09:33
Публикации: 1786

Абсолютно согласна. Я линейные томограммы не умею читать, никогда их сама не делала, но к нам часто на КТ присылают деток после линейных томограмм, на которых увидели увеличенные лимфоузлы......а на КТ и нет никаких увеличенных л/у.

арти аватар
Не на сайте
Был на сайте: 12 лет 1 месяц назад
Зарегистрирован: 26.02.2012 - 11:23
Публикации: 490

Тысячу раз правы Любовь и Ola-la

Катенёв Валентин Львович аватар
Не на сайте
Был на сайте: 7 лет 3 недели назад
Зарегистрирован: 22.03.2008 - 22:15
Публикации: 54876

Любовь С. wrote:

Ну и зачем ЛТ, если по ней нельзя вынести заключение??? 

Все правильно говорите Дорогая Люба!

Все правильно, если бы не одно БОЛЬШОЕ НО...

Большая семья (детей - море, считай больше 10, мал-мала меньше) два года тому назад из Таджикистана переехала в Воронежскую область, в очень маленькое село..., но со слов главы семьи в Воронеже "работы нет", конечно бред, так как в Воронеже и области, считай как в Москве "требуются ВСЕ"...

Вот и обосновалась дружная семья в нашем районе, и тоже "малепусеньком селе", где точно работой не пахнет, да и никогда не пахло, ну разве что "Мечтателем" работать...

Конечно фельдшер "тамочки" на должном уровне, вот и взялся за детишек в плане прививок и прочего "необходимого мармеладу"..., ну и всяких "вариаций Манту"..., оказалась - "Картина маслом в купе с Мама - не горюй".

Фтизиатр сразу помчался "на место"...

На следующий день фтизиатр долго вспоминал "чужую маму", да и часть семейства в "авоську" сгрёб, всех сразу привести не получилось, слишком много в "семейном клане" жителей оказалось. Трое то уже (деток) в "спецконторе" лечатся (о взрослых не говорим) остальных по мере сил обследуем.

Все правильно Люба написали. В данном случае томография была рекомендована не рентгенологами, ребеночек весьма проблемный, очень похож на "чахлика невмерущего"...

Вот итог этого случая.

Хотя и еще один срез сделан был.

Катенёв Валентин Львович аватар
Не на сайте
Был на сайте: 7 лет 3 недели назад
Зарегистрирован: 22.03.2008 - 22:15
Публикации: 54876

арти wrote:

Тысячу раз правы Любовь и Ola-la

А, кто бы спорил, если бы не экстрим...

Катенёв Валентин Львович аватар
Не на сайте
Был на сайте: 7 лет 3 недели назад
Зарегистрирован: 22.03.2008 - 22:15
Публикации: 54876

Вот второй срез, видать тоже норма.

Приложения: 
1.dscn1532.jpg2.dscn1532a.jpg
Катенёв Валентин Львович аватар
Не на сайте
Был на сайте: 7 лет 3 недели назад
Зарегистрирован: 22.03.2008 - 22:15
Публикации: 54876

Ola-la wrote:

Я линейные томограммы не умею читать, никогда их сама не делала, но к нам часто на КТ присылают деток после линейных томограмм, на которых увидели увеличенные лимфоузлы......а на КТ и нет никаких увеличенных л/у.

Все правильно Ola-la!

Ранее то мало кто "линеечку" применял..,  конечно КТ объявлен "золотым стандартом" в диагностике заболеваний лёгких, ну, а раз стандарт, то должон быть везде, но нету КоТов, ну нет и всё, может "деньгов" на объявленный стандарт нет?   Но тогда это не "стандарт", а так...