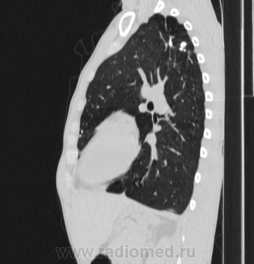
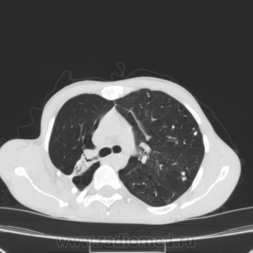
Состояние после торакопластики.

Пол пациента: 
Тип патологии: 
Методы исследования: 

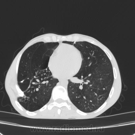
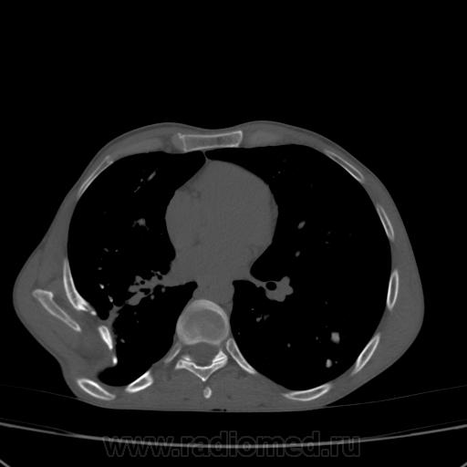
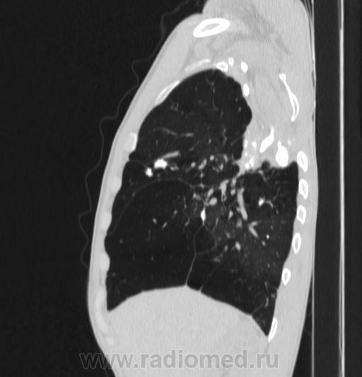
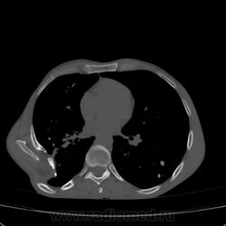
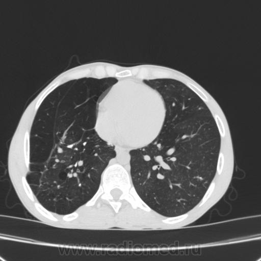
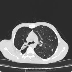
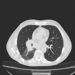
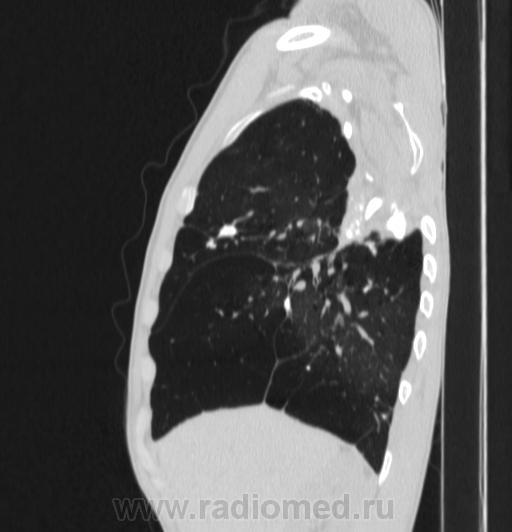
Молодой человек 30 лет, в 04 году выявлен фиброзно-кавернозный ТБ, в течение 12 месяцев лечился в стационаре, прооперирован-5реберная торакопластика справа, через 3 года переведен в 3ГДУ, в 10году снят с ДУ по излечению. Пришел провериться по ухудшению состояния. На КТ легких данных за рецидив ТБ, вроде нет. С " торакопластикой" был единственным пациентом на учете.

. 

  

  • https://radiomed.ru/sites/default/files/styles/case_slider_image/public/user/16789/img-0002-00001_20.jpg?itok=_m_g1s24
  • https://radiomed.ru/sites/default/files/styles/case_slider_image/public/user/16789/img-0002-00001_21.jpg?itok=ILai7X8x
  • https://radiomed.ru/sites/default/files/styles/case_slider_image/public/user/16789/img-0003-00001_17.jpg?itok=1IwEAJ7D
  • https://radiomed.ru/sites/default/files/styles/case_slider_image/public/user/16789/img-0004-00001_16.jpg?itok=EqoLSP1J
  • https://radiomed.ru/sites/default/files/styles/case_slider_image/public/user/16789/img-0006-00001_11.jpg?itok=nMGUemDh
  • https://radiomed.ru/sites/default/files/styles/case_slider_image/public/user/16789/img-0007-00001_13.jpg?itok=9ZddLbPg
  • https://radiomed.ru/sites/default/files/styles/case_slider_image/public/user/16789/img-0009-00001_9.jpg?itok=_adFwJmL
  • https://radiomed.ru/sites/default/files/styles/case_slider_image/public/user/16789/img-0010-00001_9.jpg?itok=rqSjJB_E
  • https://radiomed.ru/sites/default/files/styles/case_slider_image/public/user/16789/img-0011-00001_6.jpg?itok=18QmNXbg
  • https://radiomed.ru/sites/default/files/styles/case_slider_image/public/user/16789/img-0012-00001_9.jpg?itok=rrmBVYXZ
  • https://radiomed.ru/sites/default/files/styles/case_slider_image/public/user/16789/img-0013-00001_7.jpg?itok=xK0TvXJC
  • https://radiomed.ru/sites/default/files/styles/case_slider_image/public/user/16789/img-0014-00001_5.jpg?itok=fBLr6yrl
  • https://radiomed.ru/sites/default/files/styles/case_slider_image/public/user/16789/img-0015-00001_3.jpg?itok=dAxFs_X_
  • https://radiomed.ru/sites/default/files/styles/case_slider_image/public/user/16789/img-0016-00001_4.jpg?itok=tomi6fez
  • https://radiomed.ru/sites/default/files/styles/case_slider_image/public/user/16789/img-0017-00001_3.jpg?itok=soC-vZID
  • https://radiomed.ru/sites/default/files/styles/case_slider_image/public/user/16789/img-0018-00001_2.jpg?itok=RkszegnH
  • https://radiomed.ru/sites/default/files/styles/case_slider_image/public/user/16789/img-0019-00001_3.jpg?itok=-BgbdDLY
  • https://radiomed.ru/sites/default/files/styles/case_slider_image/public/user/16789/img-0020-00001_2.jpg?itok=6IvGk-Ef
  • https://radiomed.ru/sites/default/files/styles/case_slider_image/public/user/16789/img-0021-00001_3.jpg?itok=1_DlTAfr
  • https://radiomed.ru/sites/default/files/styles/case_slider_image/public/user/16789/img-0022-00001_1.jpg?itok=XMZG75rI
  • https://radiomed.ru/sites/default/files/styles/case_slider_image/public/user/16789/img-0023-00001_0.jpg?itok=W7DOJEJ5
  • https://radiomed.ru/sites/default/files/styles/case_slider_image/public/user/16789/img-0024-00001.jpg?itok=t1bymx1-
  • https://radiomed.ru/sites/default/files/styles/case_slider_image/public/user/16789/img-0025-00001.jpg?itok=czGqVY8x
  • https://radiomed.ru/sites/default/files/styles/case_slider_image/public/user/16789/img-0026-00001.jpg?itok=LqtwAF7Z
ID:30607
almurun аватар
Не на сайте
Был на сайте: 5 лет 6 месяцев назад
Зарегистрирован: 12.06.2012 - 07:56
Публикации: 44

Состояние после правосторонней 5-реберной торакопластики по поводу ФКТ.Грубые остаточные изменения:поликистоз,буллезно-дистрофические изменения,плевропневмоцирроз правого легкого..Нет ли  мелкоочаговой диссеминации в обоих легких?Нужен Rархив.(ПТД).

НАДЕЖДА ЮРЬЕВНА аватар
Не на сайте
Был на сайте: 6 лет 11 месяцев назад
Зарегистрирован: 30.07.2012 - 13:14
Публикации: 360

Нет, это кальцинаты и более плотные уже. Архив только пленочный, 8 лет назад "цифры" не было. Можно и пленку перефотать...

Любовь С. аватар
Не на сайте
Был на сайте: 9 лет 5 месяцев назад
Зарегистрирован: 23.12.2010 - 01:58
Публикации: 2324

Редко встречалось, а на КТ вижу впервые, спасибо за случай! На показанных изображениях отсевов не увидела.

"Предоставляя весь смысл и совершенство в распоряжение одного только Бога, вы избавляете себя от бездны хлопот." Джон Уитборн.

НАДЕЖДА ЮРЬЕВНА аватар
Не на сайте
Был на сайте: 6 лет 11 месяцев назад
Зарегистрирован: 30.07.2012 - 13:14
Публикации: 360

На здоровье! Покажу еще кучу больных, есть интересные, есть не очень.

Катенёв Валентин Львович аватар
Не на сайте
Был на сайте: 7 лет 3 недели назад
Зарегистрирован: 22.03.2008 - 22:15
Публикации: 54876

НАДЕЖДА ЮРЬЕВНА wrote:

На здоровье! Покажу еще кучу больных, есть интересные, есть не очень.

Показывайте!

За комменты не ручаюсь.
За интерес к публикациям огромный (по количеству просмотров) ручаюсь!