- https://radiomed.ru/sites/default/files/styles/case_slider_image/public/user/5662/anom2.jpg?itok=xP-vWo47
- https://radiomed.ru/sites/default/files/styles/case_slider_image/public/user/5662/anom3.jpg?itok=eN15DOvq
- https://radiomed.ru/sites/default/files/styles/case_slider_image/public/user/5662/anom4.jpg?itok=Wd7d3LIH
- https://radiomed.ru/sites/default/files/styles/case_slider_image/public/user/5662/anom5.jpg?itok=3MKwJaLw
- https://radiomed.ru/sites/default/files/styles/case_slider_image/public/user/5662/anom6.jpg?itok=lUWen54j
- https://radiomed.ru/sites/default/files/styles/case_slider_image/public/user/5662/anom7.jpg?itok=CqEq6O6h
ID:46048
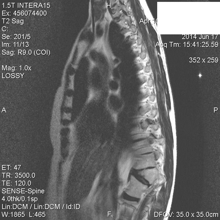
Хороший букет аномалий. Конкресценция, клиновидный (бабочковидный) позвонок, незаращение остистых отростков (spina bifida) ничего не забыл?
долго наверно пришло описывать
больной из разряда страшный сон рентгенолога
Терпимость - это когда прощают чужие ошибки; такт - когда не замечают их. (Артур Шницлер)
Зато теперь у меня есть шаблон.
Спасибо за случай Елена Юрьевна!
Всегда пожалуйста, Валентин Львович.Всегда рада .
++