Тонкие изменения...

Пол пациента: 
Тип патологии: 
Область исследования: 
Методы исследования: 

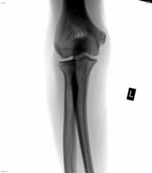
Парень, 14 лет. Не может разогнуть руку полностью (на 180*) в локте. Левую чуть больше, правую чуточку меньше. Как нужно (возможно, и правильно) описать эту вещь?

  

  • https://radiomed.ru/sites/default/files/styles/case_slider_image/public/user/19832/248_lst_0001.png?itok=z46Q6ZN6
  • https://radiomed.ru/sites/default/files/styles/case_slider_image/public/user/19832/248a_lst_0000.png?itok=lc5Hw0XP
  • https://radiomed.ru/sites/default/files/styles/case_slider_image/public/user/19832/248a_lst_0001.png?itok=u7ysdnbs
ID:36629
выпускник аватар
Не на сайте
Был на сайте: 5 лет 4 недели назад
Зарегистрирован: 15.08.2012 - 23:11
Публикации: 50

без кти

maker4ik аватар
Не на сайте
Был на сайте: 8 лет 7 месяцев назад
Зарегистрирован: 19.10.2011 - 17:49
Публикации: 2682

Согласна.

NIL аватар
NIL
Не на сайте
Был на сайте: 2 дня 10 часов назад
Зарегистрирован: 25.11.2013 - 20:50
Публикации: 18203

Тоже считаю, что кости не при делах.


"Слушай всех, прислушивайся к немногим, решай сам".©

Nobody аватар
Не на сайте
Был на сайте: 11 лет 3 недели назад
Зарегистрирован: 15.03.2014 - 20:29
Публикации: 2013

выпускник wrote:

без кти

Однако! Если бы снимок был не ахти, если бы работал в пути, если бы снимков было 1000,.. один можно было бы с таким заключением и пропустить.(

То есть по-прежнему смотрим кости. А если видно чуть больше? Сделать вид, что всё то же?..

"Лишь утратив всё до конца, мы обретаем свободу." F.C.

NIL аватар
NIL
Не на сайте
Был на сайте: 2 дня 10 часов назад
Зарегистрирован: 25.11.2013 - 20:50
Публикации: 18203

Снимки, конечно, качества исключительного ( от зависти помереть можно). Пересмотрены не раз! Прошу ткнуть носом. А то, помру в неведении


"Слушай всех, прислушивайся к немногим, решай сам".©

Nobody аватар
Не на сайте
Был на сайте: 11 лет 3 недели назад
Зарегистрирован: 15.03.2014 - 20:29
Публикации: 2013

Так ведь на боковой линией уже обведено, что, по-моему, от мыщелков плечевой немного далеко...

Помирать не надо, так не пойдёт. "Кто, если не мы?" Кто ж будет работать?))

"Лишь утратив всё до конца, мы обретаем свободу." F.C.

NIL аватар
NIL
Не на сайте
Был на сайте: 2 дня 10 часов назад
Зарегистрирован: 25.11.2013 - 20:50
Публикации: 18203

Спасибо.Теперь вижу. Очень тонко и нежно. И как Вы ЭТО обозвали?


"Слушай всех, прислушивайся к немногим, решай сам".©

алкс аватар
Не на сайте
Был на сайте: 10 лет 2 недели назад
Зарегистрирован: 24.10.2012 - 22:55
Публикации: 2915

Хонросаркомой естетвенно...

Nobody аватар
Не на сайте
Был на сайте: 11 лет 3 недели назад
Зарегистрирован: 15.03.2014 - 20:29
Публикации: 2013

NIL wrote:

Спасибо.Теперь вижу. Очень тонко и нежно. И как Вы ЭТО обозвали?

Каюсь. Грешен. Решил, скиалогия за счёт минимального разворота. Для периостита широко, для кости - не так плотно. Для межмыщелковой сумки - самое то. Но не уверен, что есть там это оно...

"Лишь утратив всё до конца, мы обретаем свободу." F.C.

atexta аватар
Не на сайте
Был на сайте: 2 года 10 месяцев назад
Зарегистрирован: 08.02.2014 - 18:41
Публикации: 4842

алкс, спасибо за представленное наблюдение -только сейчас что-то увидела, очень нежная структура ( смотрю с нетбука)

Не нам судить…

Nobody аватар
Не на сайте
Был на сайте: 11 лет 3 недели назад
Зарегистрирован: 15.03.2014 - 20:29
Публикации: 2013

atexta wrote:

алкс, спасибо за представленное наблюдение -только сейчас что-то увидела, очень нежная структура ( смотрю с нетбука)

Э-эээ, погодите Алексея благодарить! Он пошутил. Надеюсь... Хотя, кто знает... Коллеги...

"Лишь утратив всё до конца, мы обретаем свободу." F.C.

atexta аватар
Не на сайте
Был на сайте: 2 года 10 месяцев назад
Зарегистрирован: 08.02.2014 - 18:41
Публикации: 4842

Под наблюдением я имела в виду всего лишь картинку -даже видя линию, не могла разглядеть, что же автор хочет показать. только и всего. пока

Не нам судить…

NIL аватар
NIL
Не на сайте
Был на сайте: 2 дня 10 часов назад
Зарегистрирован: 25.11.2013 - 20:50
Публикации: 18203

atexta wrote:

Под наблюдением я имела в виду всего лишь картинку -даже видя линию, не могла разглядеть, что же автор хочет показать. только и всего. пока

atexta, мне кажется, что Вы перепутали автора  сообщения. 


"Слушай всех, прислушивайся к немногим, решай сам".©

алкс аватар
Не на сайте
Был на сайте: 10 лет 2 недели назад
Зарегистрирован: 24.10.2012 - 22:55
Публикации: 2915

NIL wrote:

atexta wrote:

Под наблюдением я имела в виду всего лишь картинку -даже видя линию, не могла разглядеть, что же автор хочет показать. только и всего. пока

atexta, мне кажется, что Вы перепутали автора  сообщения. 

Ничего! Нам чужая слава тоже к лицу!smiley Кстати, и не совсем уж так неправильно, все коллега заварил. Вполне пухлинка м.б.( маленькая)indecision

atexta аватар
Не на сайте
Был на сайте: 2 года 10 месяцев назад
Зарегистрирован: 08.02.2014 - 18:41
Публикации: 4842

алкс wrote:

NIL wrote:

atexta wrote:

Под наблюдением я имела в виду всего лишь картинку -даже видя линию, не могла разглядеть, что же автор хочет показать. только и всего. пока

atexta, мне кажется, что Вы перепутали автора  сообщения. 

Ничего! Нам чужая слава тоже к лицу!smiley Кстати, и не совсем уж так неправильно, все коллега заварил. Вполне пухлинка м.б.( маленькая)indecision

у всех прошу прощения -в трех соснах запуталась blush , NIL спасибо 

Не нам судить…

NIL аватар
NIL
Не на сайте
Был на сайте: 2 дня 10 часов назад
Зарегистрирован: 25.11.2013 - 20:50
Публикации: 18203

Бывает. Такие парни крутые, есть от чего голове вскружиться!


"Слушай всех, прислушивайся к немногим, решай сам".©

atexta аватар
Не на сайте
Был на сайте: 2 года 10 месяцев назад
Зарегистрирован: 08.02.2014 - 18:41
Публикации: 4842

Ох, и не говорите wink...один так вообще ...поразил настолько, что до сих пор забыть не могу angel

Не нам судить…

Катенёв Валентин Львович аватар
Не на сайте
Был на сайте: 7 лет 2 недели назад
Зарегистрирован: 22.03.2008 - 22:15
Публикации: 54876

алкс wrote:

Хонросаркомой естетвенно...

Вы серьёзно?

Андрей Викторович аватар
Не на сайте
Был на сайте: 2 года 5 месяцев назад
Зарегистрирован: 13.02.2014 - 14:52
Публикации: 242

Так что же это такое? Ну скажите не томите уже, ужас как интересно.

...... еще бы в рентгенологии что-нибудь понимать.

Nobody аватар
Не на сайте
Был на сайте: 11 лет 3 недели назад
Зарегистрирован: 15.03.2014 - 20:29
Публикации: 2013

Так ведь выше немного я уже написал, что не знаю, что это. Поэтому совета просил, быть может, похожее кто-то встречал...

"Лишь утратив всё до конца, мы обретаем свободу." F.C.

NIL аватар
NIL
Не на сайте
Был на сайте: 2 дня 10 часов назад
Зарегистрирован: 25.11.2013 - 20:50
Публикации: 18203

Nobody wrote:

Так ведь выше немного я уже написал, что не знаю, что это. Поэтому совета просил, быть может, похожее кто-то встречал...

Да уж. Дотошность до добра не доводит. 99.9% это не заметили бы и спали спокойно. А раз глазастый такой, вот и приходится репку чесать.Может, динамика нам поможет? 


"Слушай всех, прислушивайся к немногим, решай сам".©

Андрей Викторович аватар
Не на сайте
Был на сайте: 2 года 5 месяцев назад
Зарегистрирован: 13.02.2014 - 14:52
Публикации: 242

NIL wrote:

 Может, динамика нам поможет? 

 

Может МРТ тогда сделаем уже?

Я когда не знаю (а к сожалению, такое часто) направляю на КТ или МРТ.

...... еще бы в рентгенологии что-нибудь понимать.

atexta аватар
Не на сайте
Был на сайте: 2 года 10 месяцев назад
Зарегистрирован: 08.02.2014 - 18:41
Публикации: 4842

теперь присматриваюсь ко всем локтевым суставам; сегодня был молодой человек 18 лет, так у него похожая тень была в этом месте, может это место прикркпления разгибателей так может выглядеть ?

Не нам судить…

NIL аватар
NIL
Не на сайте
Был на сайте: 2 дня 10 часов назад
Зарегистрирован: 25.11.2013 - 20:50
Публикации: 18203

atexta wrote:

теперь присматриваюсь ко всем локтевым суставам; сегодня был молодой человек 18 лет, так у него похожая тень была в этом месте, может это место прикркпления разгибателей так может выглядеть ?

Я тоже ещё этим сообщением не "отболела". Сегодня тщательно изучала на всех встречающихся локтевых суставах "зону интереса". Картина сходная. Так, может быть это норма, скиалогические эффекты?! 


"Слушай всех, прислушивайся к немногим, решай сам".©

atexta аватар
Не на сайте
Был на сайте: 2 года 10 месяцев назад
Зарегистрирован: 08.02.2014 - 18:41
Публикации: 4842

вот-вот, и я о том же smiley

Не нам судить…