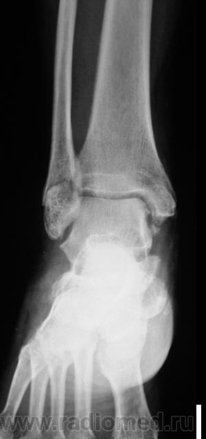
Травма. Пациент направлен на рентгенографию голеностопного сустава.

Пол пациента: 
Тип патологии: 
Область исследования: 
Методы исследования: 

Травма. Пациент направлен на рентгенографию голеностопного сустава.

  • https://radiomed.ru/sites/default/files/styles/case_slider_image/public/user/12/2.pc150055.jpg?itok=aF9qtV-S
  • https://radiomed.ru/sites/default/files/styles/case_slider_image/public/user/12/3.pc150053.jpg?itok=C7wD6lTt
  • https://radiomed.ru/sites/default/files/styles/case_slider_image/public/user/12/5.pc150053a.jpg?itok=QSE-c7p6
  • https://radiomed.ru/sites/default/files/styles/case_slider_image/public/user/12/5.pc150054.jpg?itok=ERNDnPTp
  • https://radiomed.ru/sites/default/files/styles/case_slider_image/public/user/12/6.pc150054a.jpg?itok=9fDRoqlI
ID:10261