Пол пациента:
Тип патологии:
Область исследования:
Методы исследования:
- https://radiomed.ru/sites/default/files/styles/case_slider_image/public/user/12/2.pb110004.jpg?itok=Bc4ejcDl
- https://radiomed.ru/sites/default/files/styles/case_slider_image/public/user/12/3.pb110003.jpg?itok=YodkgXJn
- https://radiomed.ru/sites/default/files/styles/case_slider_image/public/user/12/4.pb110003a.jpg?itok=5xkszHuQ
- https://radiomed.ru/sites/default/files/styles/case_slider_image/public/user/12/5.pb110005.jpg?itok=ZueDL1Cv
- https://radiomed.ru/sites/default/files/styles/case_slider_image/public/user/12/6.pb110005a.jpg?itok=c-o4jUS0
ID:16742
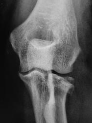
Киста и перелом с неизвестной давностью.
На счет кисты сомнительно, зона физиологического разряжения. Перелом, похоже, свежий.
https://www.instagram.com/pediatricradiology/
"Рентгенанатомия скелета", Лагунова "...Бугристость лучевой кости, располагающаяся на ее внутренней поверхности, в таком положении выглядит груботяжистой, тогда как на остальном протяжении рисунок структуры мелкопетлистый. Основание бугристости иногда проецируется в виде очень четко очерченного овального просветления, которое может быть принято за очаг деструкции."
https://www.instagram.com/pediatricradiology/
Дорогая Олечка, бугристость - да, эндост - не совсем.
Травма в 7.30. Снимок сделан в 11.15.