Пол пациента:
Тип патологии:
Область исследования:
Методы исследования:
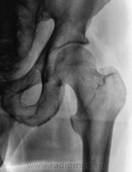
Травма 1 месяц тому. Пациент был направлен в рентгеновский кабинет для рентгенографии ребер и тазобедренного сустава. Был обнаружен перелом 2 - х ребер, но со стороны тазобедренного сустава нарушения целостности костной ткани и смещения костных отломков обнаружено не было.
Однако, пациент продолжал предъявлять жалобы на боли в области верхней трети бедра. Произведена рентгенография.
Ваше мнение уважаемые коллеги?.
Следуюшая проекция.
- https://radiomed.ru/sites/default/files/styles/case_slider_image/public/user/12/2.Mes_._0.JPG?itok=sx0_WvSp
- https://radiomed.ru/sites/default/files/styles/case_slider_image/public/user/12/3.Mes_..jpg?itok=gO208zPg
- https://radiomed.ru/sites/default/files/styles/case_slider_image/public/user/12/11.Mes_..JPG?itok=iigNI5k3
- https://radiomed.ru/sites/default/files/styles/case_slider_image/public/user/12/12.Mes_..jpg?itok=f3nlW-t8
- https://radiomed.ru/sites/default/files/styles/case_slider_image/public/user/12/13.Mes_..jpg?itok=z0oj51bd
- https://radiomed.ru/sites/default/files/styles/case_slider_image/public/user/12/14.Mes_..JPG?itok=ajAjUED1
- https://radiomed.ru/sites/default/files/styles/case_slider_image/public/user/12/15.Mes_..JPG?itok=xnn8Cxo3
- https://radiomed.ru/sites/default/files/styles/case_slider_image/public/user/12/16.Mes_..jpg?itok=yyctwSQr
ID:1736
Линия перелома косая, начало -сразу за шейкой а на противоположный контур кости -выходит ниже основания большого вертела... Хорошо, что практически без смещения.
Да, хорошо, что без смещения. А то пациент ходил..., правда, клял всех на свете..
Уважаемые корифеи! Что-то я сомневаюсь в переломе. Уж больно широкая и прерывистая линия получается. И в механизм не укладывается - где разрыв, где растяжение? Кистозную перестройку в большом бугре и в краиних к нему границах усматриваю.
Пожалуйста, развейте мои сомнения, не поймита привратно.
"Я не волшебник, я только учусь..."
Dat.Dicat.Dedicat.
А ведь и вправду - линия широковата...и идет то она как раз по краю большого вертела...не есть ли это просто игра теней....?
Болезни ног: виды, симптомы, причины, профилактика и лечение
Эко навалились...
Нет ничего...
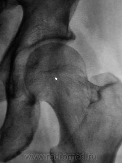
!. Давайте попробуем, тогда объяснить тень на фоне головки бедренной кости, помеченную стрелками и выделенную в круг. Что это...?
Зона препараторного обызествления(с сопутствующей ей линией просветления)...т.е. - изменения по бывшей зоне роста...пациент то не особо и стар...
Болезни ног: виды, симптомы, причины, профилактика и лечение
Нет, он еще не старик, ему 67 лет, но крепкий мужчина.
А как расценить линию, помеченную стрелочками?
То же самое, но по отношению к основанию большого вертела в условиях отведения...как мне кажется
Болезни ног: виды, симптомы, причины, профилактика и лечение
Если это перелом... странный какой-то
Зри в корень!
Тазобедренные суставы очень часто преподносят сюрпризы. Одним из них является вколоченный перелом шейки бедренной кости. За перелом в данном случае говорит:
1. Нескругленный угол между головкой и шейкой. Природа не любит острых (в смысле "нескругленных") углов.
2,Ненормальное расположение головки относительно шейки.
Все это потому, что произошло небольшое угловое смещение головки (или, правильнее, шейки), угол открыт кверху и латерально.
Великое преймущество врача заключается в том, что он не обязан следовать собственным советам. ( А. Кристи)
"небольшое угловое смещение головки "
Настолько "небольшое", что при вколочении нет уплотнения (локального либо на протяжении неравномерного характера)...извините...но - не убедительно, да и касаемо "заостренности угла"...тоже не убедительно. А вот небольшой поворот в прямой проекции есть...вот он то и смущает в плане "несоответствия"....Это мое мнение.
Болезни ног: виды, симптомы, причины, профилактика и лечение
Пациенту снимки в трех проекциях делались не за "просто так". Выставлю все рядышком.
Укладка практически идеальная, а головка, если внимательно присмотреться, не на месте. А невидимость линии уплотнения - это тоже один из сюрпризов шейки бедра. Хотя, искать ее надо на первых снимках, да и то не всегда увидишь. Через месяц искать нужно тонкую полоску разряжения.
Великое преймущество врача заключается в том, что он не обязан следовать собственным советам. ( А. Кристи)
Так и где же тогда такая полоска? То что имеем - это широкая, местами прерывистая полоса просветления по контуру большого вертела....как мне кажется (см.первые снимки), ведь срок уже после травмы немалый...
И часто ли приходится видеть такие "скромные" переломы шейки? Это еще один вопрос....
Думаю, Валентин Львович нас рассудит....
Болезни ног: виды, симптомы, причины, профилактика и лечение
Нет не "рассужу". Придерживаюсь библейского - "Не судите, да не судимы будете". Снимки все выложу.
"Так, то й так" .....как говорят у нас ...будем ждать....
Болезни ног: виды, симптомы, причины, профилактика и лечение
А полоска разрежения видна.
Великое преймущество врача заключается в том, что он не обязан следовать собственным советам. ( А. Кристи)
Короче, не убедили меня в переломе. И вообще, я склонен к другой природе болей в т\б суставе.
Извините
..
Dat.Dicat.Dedicat.
"Все скопом"