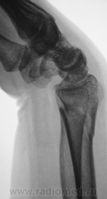
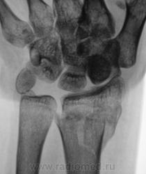
Травма. Пациент направлен на рентгенографию лучезапястного сустава.

Пол пациента: 
Тип патологии: 
Область исследования: 
Методы исследования: 

Травма.   Пациент направлен на рентгенографию лучезапястного сустава.

  • https://radiomed.ru/sites/default/files/styles/case_slider_image/public/user/12/2.MAT_..JPG?itok=PPEYjRVL
  • https://radiomed.ru/sites/default/files/styles/case_slider_image/public/user/12/3.MAT_..jpg?itok=T7uHNIRV
  • https://radiomed.ru/sites/default/files/styles/case_slider_image/public/user/12/4.MAT_.JPG?itok=u5WiEUu7
  • https://radiomed.ru/sites/default/files/styles/case_slider_image/public/user/12/5.MAT_..jpg?itok=-Ckg83Ph
ID:337
lupan аватар
Не на сайте
Был на сайте: 6 лет 11 месяцев назад
Зарегистрирован: 07.01.2010 - 17:17
Публикации: 1406

Вывих трапеции и гороховидной костей, ну и перелом "луча" в т.м., куда же без него.

Великое преймущество врача заключается в том, что он не обязан следовать собственным советам. ( А. Кристи)