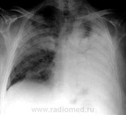
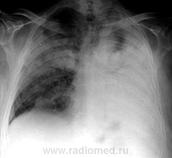
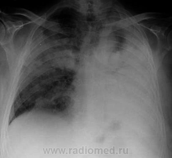
В УБ была произведена рентгенограмма в прямой стандартной проекции. Боковую не делали...

Пол пациента: 
Тип патологии: 
Методы исследования: 

В УБ была произведена рентгенограмма в прямой стандартной проекции. Боковую не делали...

  • https://radiomed.ru/sites/default/files/styles/case_slider_image/public/user/12/2.pn_.risunok18_640x480a.jpg?itok=h7cZBtXi
  • https://radiomed.ru/sites/default/files/styles/case_slider_image/public/user/12/3.pn_.risunok18_643.pn_.0x480ab.jpg?itok=TINXnY0c
  • https://radiomed.ru/sites/default/files/styles/case_slider_image/public/user/12/4.pn_.risunok18_640x480g.jpg?itok=wkfTVCCW
ID:10909
Побединский Михаил Александрович аватар
Не на сайте
Был на сайте: 7 лет 10 месяцев назад
Зарегистрирован: 25.12.2010 - 23:44
Публикации: 696

Жаль, что нет боковых снимков. На прямых не вижу молочных желез. Онкология с поражением обоих легких и ателектазом левого легкого. Насчет жидкости точно не скажу, но сердце смещено влево...

Катенёв Валентин Львович аватар
Не на сайте
Был на сайте: 7 лет 3 недели назад
Зарегистрирован: 22.03.2008 - 22:15
Публикации: 54876

Было сделано КТ. КТ - ниже.

Катенёв Валентин Львович аватар
Не на сайте
Был на сайте: 7 лет 3 недели назад
Зарегистрирован: 22.03.2008 - 22:15
Публикации: 54876

Продолжение.

Приложения: 
1.pn_.risunok1.jpg2.pn_.risunok2.jpg3.pn_.risunok3.jpg4.pn_.risunok4.jpg5.pn_.risunok5.jpg6.pn_.risunok6.jpg
sema аватар
Не на сайте
Был на сайте: 10 лет 4 месяцев назад
Зарегистрирован: 05.09.2010 - 08:39
Публикации: 233

Мое мнение- центральный рак НДБ слева, мтс в л/узлы и  правое легкое, плеврит.

Катенёв Валентин Львович аватар
Не на сайте
Был на сайте: 7 лет 3 недели назад
Зарегистрирован: 22.03.2008 - 22:15
Публикации: 54876

Продолжение.

Приложения: 
1.pn_.risunok7.jpg2.pn_.risunok8.jpg3.pn_.risunok9.jpg4.pn_.risunok10.jpg5.pn_.risunok11.jpg6.pn_.risunok12.jpg7.pn_.risunok13.jpg8.pn_.risunok14.jpg9.pn_.risunok15.jpg10.pn_.risunok16.jpg
Побединский Михаил Александрович аватар
Не на сайте
Был на сайте: 7 лет 10 месяцев назад
Зарегистрирован: 25.12.2010 - 23:44
Публикации: 696

Судя по КТ, спалость не только нижняя доля слева, но частично и верхняя? А справа - тоже идет ателектазирование, или новообразование?

Катенёв Валентин Львович аватар
Не на сайте
Был на сайте: 7 лет 3 недели назад
Зарегистрирован: 22.03.2008 - 22:15
Публикации: 54876

Терапевты по клинике выставляли двустороннюю пневмонию, но как-то не все укладывалось а данную нозологию. А, по рентгенограмме, слева, увидев "воздушную" бронхограмму, так и рентгенолога уговорили по поводу "пневмонии".

Побединский Михаил Александрович аватар
Не на сайте
Был на сайте: 7 лет 10 месяцев назад
Зарегистрирован: 25.12.2010 - 23:44
Публикации: 696

Хотелось бы уточнить, Валентин Львович. Терапевты направляют на R-грамму с предварительным диагнозом "пневмония", рентгенолог пишет онкологию, а терапевты уговаривают его исправить на пневмонию?

Катенёв Валентин Львович аватар
Не на сайте
Был на сайте: 7 лет 3 недели назад
Зарегистрирован: 22.03.2008 - 22:15
Публикации: 54876

Нет, терапеты в УБ, выставили "пневмонию", рентгенолаборант сделал снимок. Рентгенолог, который приезжает "описывать снимки" колебался между пневмонией и бронхиолоальвеолярным раком, настаивая на дообследовании. Вот пациента, прямиком и отвезли на КТ, родственники натояли.

Lilit аватар
Не на сайте
Был на сайте: 14 лет 11 месяцев назад
Зарегистрирован: 05.01.2011 - 22:20
Публикации: 4

Извените а тут нет сердечной недостаточности с застойной пневмонией,ателектазом и гидротораксом?

Побединский Михаил Александрович аватар
Не на сайте
Был на сайте: 7 лет 10 месяцев назад
Зарегистрирован: 25.12.2010 - 23:44
Публикации: 696

Колебаться доктору не стоило, мало данных за пневмонию. А стоило приручить лаборанта делать боковые снимки, если он замечает какие изменения.

Побединский Михаил Александрович аватар
Не на сайте
Был на сайте: 7 лет 10 месяцев назад
Зарегистрирован: 25.12.2010 - 23:44
Публикации: 696

Сердечная недостаточность к ателектазу не приводит.

Катенёв Валентин Львович аватар
Не на сайте
Был на сайте: 7 лет 3 недели назад
Зарегистрирован: 22.03.2008 - 22:15
Публикации: 54876

Mirox wrote:

Колебаться доктору не стоило, мало данных за пневмонию. А стоило приручить лаборанта делать боковые снимки, если он замечает какие изменения.

Я согласен с Вами, только по большому счету, даже КТ можно было не делать, но уж сделали. В мокроте были обнаружены атипические клетки (перстневидные), все сразу вспомнили, что клиника была типичной для "БАР".

Побединский Михаил Александрович аватар
Не на сайте
Был на сайте: 7 лет 10 месяцев назад
Зарегистрирован: 25.12.2010 - 23:44
Публикации: 696

У меня был подобный случай. Валентин Львович, если позволите. Здесь кстати видно, что правая молочная железа удалена, что сразу наталкивает на мысль об онкологии.

Приложения: 
ublhj.jpg
Побединский Михаил Александрович аватар
Не на сайте
Был на сайте: 7 лет 10 месяцев назад
Зарегистрирован: 25.12.2010 - 23:44
Публикации: 696

Жидкость конечно есть, но вот средостение не смещено.

Побединский Михаил Александрович аватар
Не на сайте
Был на сайте: 7 лет 10 месяцев назад
Зарегистрирован: 25.12.2010 - 23:44
Публикации: 696

А после пункщии получилось вот так.

Приложения: 
uflhj.jpg
Катенёв Валентин Львович аватар
Не на сайте
Был на сайте: 7 лет 3 недели назад
Зарегистрирован: 22.03.2008 - 22:15
Публикации: 54876

А, лучевая терапия была?

А, что УЗИ, в том числе и печени, не делали?

Побединский Михаил Александрович аватар
Не на сайте
Был на сайте: 7 лет 10 месяцев назад
Зарегистрирован: 25.12.2010 - 23:44
Публикации: 696

Да, все как положено, лучевая, химиотерапия. УЗИ в норме.

Катенёв Валентин Львович аватар
Не на сайте
Был на сайте: 7 лет 3 недели назад
Зарегистрирован: 22.03.2008 - 22:15
Публикации: 54876

Ну, пункцию с исходом в гидропневмоторакс у нас тоже делают, а "пунктат" лабораторно исследовали.

Катенёв Валентин Львович аватар
Не на сайте
Был на сайте: 7 лет 3 недели назад
Зарегистрирован: 22.03.2008 - 22:15
Публикации: 54876

И, в продолжении к нашему общению "тет-а-тет". У Вас хорошие случаи, надо выставлять их на сайт.

Побединский Михаил Александрович аватар
Не на сайте
Был на сайте: 7 лет 10 месяцев назад
Зарегистрирован: 25.12.2010 - 23:44
Публикации: 696

Да вот как раз хотел проконсультироваться, это хирург нахулиганил, или из-за других причин? Может так оно и было, потому что эмфиземы мягких тканей я здесь не вижу, а вижу гомогенную интенсивную полуокруглую тень, сливающуюся с нижним отделом средостения.

Катенёв Валентин Львович аватар
Не на сайте
Был на сайте: 7 лет 3 недели назад
Зарегистрирован: 22.03.2008 - 22:15
Публикации: 54876

Mirox wrote:

Да вот как раз хотел проконсультироваться, это хирург нахулиганил, или из-за других причин? Может так оно и было, потому что эмфиземы мягких тканей я здесь не вижу, а вижу гомогенную интенсивную полуокруглую тень, сливающуюся с нижним отделом средостения.

Дык, Вы и сами прекрасно знаете, что "боковуха" необходима...

Побединский Михаил Александрович аватар
Не на сайте
Был на сайте: 7 лет 10 месяцев назад
Зарегистрирован: 25.12.2010 - 23:44
Публикации: 696

Упс, извините)))

Приложения: 
jrjd.jpg
Катенёв Валентин Львович аватар
Не на сайте
Был на сайте: 7 лет 3 недели назад
Зарегистрирован: 22.03.2008 - 22:15
Публикации: 54876

На мой взгляд, как рабочая версия - гидропневмоторакс, и вся недолга, пусть хирурги пользуют, потом контроль. Может и хохма оказаться, что "ничего", были у нас тоже "четверки", которые самоизлечились.

Побединский Михаил Александрович аватар
Не на сайте
Был на сайте: 7 лет 10 месяцев назад
Зарегистрирован: 25.12.2010 - 23:44
Публикации: 696

Да, но это при "обычных" делах. Но в первом случае легкое никак не хотело расправляться. К сожалению контрольных снимков нет сейчас под рукой. 8-го обязательно выложу.

Приложения: 
1qwe.jpg2qwe.jpg3qwe.jpg
Катенёв Валентин Львович аватар
Не на сайте
Был на сайте: 7 лет 3 недели назад
Зарегистрирован: 22.03.2008 - 22:15
Публикации: 54876

Мне поначалу показалось в первом случае, что  межреберные промежутки слева несколько шире, чем справа, но потом, эту мысль отбросил, так как прямая сделана не строго симметрично.

Катенёв Валентин Львович аватар
Не на сайте
Был на сайте: 7 лет 3 недели назад
Зарегистрирован: 22.03.2008 - 22:15
Публикации: 54876

Подождем контрольных снимков, есть интерес посмотреть.

koriatus аватар
Не на сайте
Был на сайте: 3 года 1 неделя назад
Зарегистрирован: 14.06.2010 - 01:49
Публикации: 452

Хм, не зная клиники я бы на месте рентгенолога поставил бы двустороннюю пневмонию. По снимку подозревал бы еще ателектаз верхней доли ( сн зу бы думал о консолидации+возиожно жидкости). Если была бы воспалительная клиника то прлечили бы от пневмонии, посмотрели бы динамику. Если бы ее не было или она была бы плохая, то сделали бы кт. Если пациент не укладывался в клинику пневмонии то сделали бы кт сразу а потом фбс. Так что мне кажется все правильно было сделано...

Побединский Михаил Александрович аватар
Не на сайте
Был на сайте: 7 лет 10 месяцев назад
Зарегистрирован: 25.12.2010 - 23:44
Публикации: 696

koriatus, неужели Вы не видите стрикулы, так характерные для онкологии? Инфильтрации как таковой нет. Почему ателектаз верхней доли, как раз слева на верхушке прослеживается легочная ткань? А ателектаз только дополняет картину, и настраивает в первую очередь на онкологию.

koriatus аватар
Не на сайте
Был на сайте: 3 года 1 неделя назад
Зарегистрирован: 14.06.2010 - 01:49
Публикации: 452

Очень бы хотелось увидеть полностью кт-исследрвание. Валентин Львович, может Вы могли бы залить dicom на сайт? По тем сканам что вы выложили довольно трудно однозначно утверждать об ателектазе нижней доли (может другие коллеги и по этим сканам будут уверены в этом - но мне хотелось бы убедится в этом воочию) Сори коллега mirax, - пока ничем конкретным аргументировать свою позицию не могу, думаю кт ( полное исследование) расставит вме по свим местам

Игорь Иванович аватар
Не на сайте
Был на сайте: 3 года 9 месяцев назад
Зарегистрирован: 23.01.2010 - 14:56
Публикации: 3695

Рентгенолог поступил довльно мудро, увидев полоски Флейшнера - пневмония. И пусть они видны только в в/доле, а в нижней нет, и вроде средостение поехало. Все-равно ошибки не усматриваю. Боковая врядли б что дала - бой в Крыму , все в дыму - ничего не видно. А вот на счет ателектаза. Прозвучал диагноз БАР - так при чем тут ателектаз?

Побединский Михаил Александрович аватар
Не на сайте
Был на сайте: 7 лет 10 месяцев назад
Зарегистрирован: 25.12.2010 - 23:44
Публикации: 696

БАР - бронхиолоальвеолярный рак? Или я чего то путаю?

Катенёв Валентин Львович аватар
Не на сайте
Был на сайте: 7 лет 3 недели назад
Зарегистрирован: 22.03.2008 - 22:15
Публикации: 54876

Mirox wrote:

БАР - бронхиолоальвеолярный рак? Или я чего то путаю?

Да

Побединский Михаил Александрович аватар
Не на сайте
Был на сайте: 7 лет 10 месяцев назад
Зарегистрирован: 25.12.2010 - 23:44
Публикации: 696

Как и обещал, контрольные снимки. Это после дренирования. Гидропневмоторакс приобрел дополнение "осумкованный".

Приложения: 
1edc.jpg
Побединский Михаил Александрович аватар
Не на сайте
Был на сайте: 7 лет 10 месяцев назад
Зарегистрирован: 25.12.2010 - 23:44
Публикации: 696

Это спустя 3 дня. Нижняя доля никак не хочет расправляться. Ателектаз?

Приложения: 
2edc.jpg
Побединский Михаил Александрович аватар
Не на сайте
Был на сайте: 7 лет 10 месяцев назад
Зарегистрирован: 25.12.2010 - 23:44
Публикации: 696

Еще через 3 дня. Перед праздниками.

Приложения: 
3edc.jpg
Побединский Михаил Александрович аватар
Не на сайте
Был на сайте: 7 лет 10 месяцев назад
Зарегистрирован: 25.12.2010 - 23:44
Публикации: 696

После праздников.

Приложения: 
4edc.jpg
Катенёв Валентин Львович аватар
Не на сайте
Был на сайте: 7 лет 3 недели назад
Зарегистрирован: 22.03.2008 - 22:15
Публикации: 54876

Mirox wrote:

Это спустя 3 дня. Нижняя доля никак не хочет расправляться. Ателектаз?

А где "боковая"?

Пневмоторакс имеет место быть.

Побединский Михаил Александрович аватар
Не на сайте
Был на сайте: 7 лет 10 месяцев назад
Зарегистрирован: 25.12.2010 - 23:44
Публикации: 696

К сожалению, Валентин Львович, нет таковой... Только при первом случае и последнем.

Катенёв Валентин Львович аватар
Не на сайте
Был на сайте: 7 лет 3 недели назад
Зарегистрирован: 22.03.2008 - 22:15
Публикации: 54876

Mirox wrote:

Еще через 3 дня. Перед праздниками.

Жидкости прибавилось. А зачем изъяли дренаж?

Или хирург имеет свою "точку зрения"?

Катенёв Валентин Львович аватар
Не на сайте
Был на сайте: 7 лет 3 недели назад
Зарегистрирован: 22.03.2008 - 22:15
Публикации: 54876

Mirox wrote:

К сожалению, Валентин Львович, нет таковой... Только при первом случае и последнем.

Что пациент "сплел лапти"?

Побединский Михаил Александрович аватар
Не на сайте
Был на сайте: 7 лет 10 месяцев назад
Зарегистрирован: 25.12.2010 - 23:44
Публикации: 696

Нет, что Вы, последний - сегодняшний.

Побединский Михаил Александрович аватар
Не на сайте
Был на сайте: 7 лет 10 месяцев назад
Зарегистрирован: 25.12.2010 - 23:44
Публикации: 696

[/quote]

Жидкости прибавилось. А зачем изъяли дренаж?

Или хирург имеет свою "точку зрения"?

[/quote]

Если не ошибаюсь, что бы отпустить на праздники домой.

Катенёв Валентин Львович аватар
Не на сайте
Был на сайте: 7 лет 3 недели назад
Зарегистрирован: 22.03.2008 - 22:15
Публикации: 54876

Побединский Михаил Александрович wrote:

Жидкости прибавилось. А зачем изъяли дренаж?

Или хирург имеет свою "точку зрения"?

[/quote]

Если не ошибаюсь, что бы отпустить на праздники домой.

[/quote]

Хирург, по всей видимости, из разряда "черных ангелов", то бишь "бесов", тактика в лечении - "Мама - не горюй".

Побединский Михаил Александрович аватар
Не на сайте
Был на сайте: 7 лет 10 месяцев назад
Зарегистрирован: 25.12.2010 - 23:44
Публикации: 696

Да, Валентин Львович, поэтому я ее сегодня и направил к онкологам, пока пациент точно не "склеил ласты")

Наталия аватар
Не на сайте
Был на сайте: 8 лет 7 месяцев назад
Зарегистрирован: 30.07.2008 - 13:24
Публикации: 538

Побединский Михаил Александрович wrote:

Как и обещал, контрольные снимки. Это после дренирования. Гидропневмоторакс приобрел дополнение "осумкованный".

Осумкованный где?

Побединский Михаил Александрович аватар
Не на сайте
Был на сайте: 7 лет 10 месяцев назад
Зарегистрирован: 25.12.2010 - 23:44
Публикации: 696

Был бы неосумкованный, воздух обязательно поднялся кверху.