Ваша история травмы?

Мне хотелось бы услышать Ваше мнение по поводу истории представленного Вам наблюдения.

  • https://radiomed.ru/sites/default/files/styles/case_slider_image/public/user/2667/IMG_2479.JPG?itok=ENGT-b8R
  • https://radiomed.ru/sites/default/files/styles/case_slider_image/public/user/2667/IMG_2478.JPG?itok=sRUzDtnL
  • https://radiomed.ru/sites/default/files/styles/case_slider_image/public/user/2667/IMG_2477.JPG?itok=q58OvtFL
ID:56216
lupan аватар
Не на сайте
Был на сайте: 6 лет 10 месяцев назад
Зарегистрирован: 07.01.2010 - 17:17
Публикации: 1406

Здравствуйте. Не совсем ясен вопрос, что Вы хотели бы услышать?

Впервые вижу такой стержневой АВФ. У нас аппараты с кольцами, по типу Илизаровских.

Великое преймущество врача заключается в том, что он не обязан следовать собственным советам. ( А. Кристи)

stovbav аватар
Не на сайте
Был на сайте: 2 года 2 месяцев назад
Зарегистрирован: 20.12.2009 - 17:28
Публикации: 7066

lupan wrote:

Здравствуйте. Не совсем ясен вопрос, что Вы хотели бы услышать?

Впервые вижу такой стержневой АВФ. У нас аппараты с кольцами, по типу Илизаровских.

Снимки были представлены на экспертизу, я и сам впервые такую фиксацию  вижу. Интересует все...вот все, что ВИДИТЕ....

История очень интересная, как в общепознавательном, так и в рентгенологическом плане.

Для уточнения: первые две рентгенограммы в день травмы, другие две - через три дня после нее....

lupan аватар
Не на сайте
Был на сайте: 6 лет 10 месяцев назад
Зарегистрирован: 07.01.2010 - 17:17
Публикации: 1406

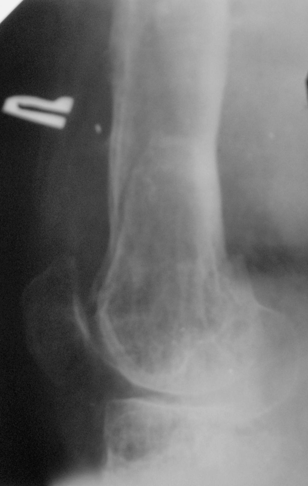
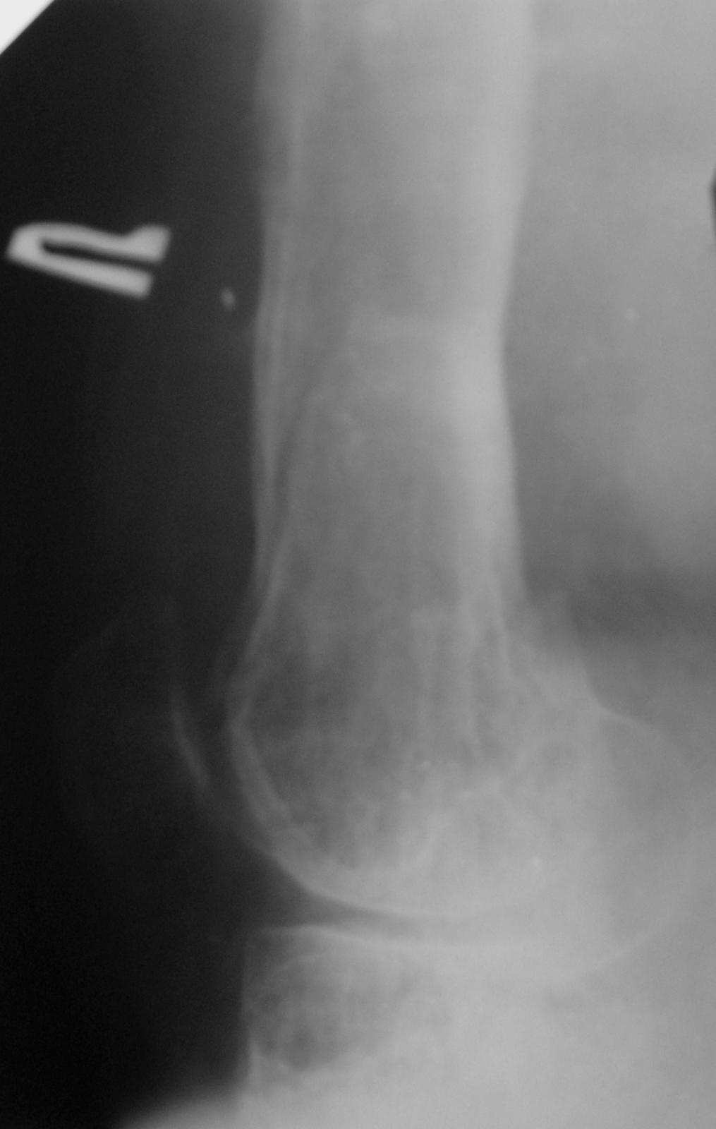
Перелом явно патологический, на фоне перестройки метаэпифизов. Такая перестройка м.б. следствием ранее перенесенной травмы. Виден старый консолидированный перелов диафизов костей голени. Не исключается фиброзный анкилоз в к/с. Дистальнее старого перелома округлые очаги просветления, возможно, тоннельные дефекты от АВФ. Не исключается ХТО. Что недосмотрел?

Великое преймущество врача заключается в том, что он не обязан следовать собственным советам. ( А. Кристи)

v1tal аватар
Не на сайте
Был на сайте: 4 года 9 месяцев назад
Зарегистрирован: 07.06.2008 - 19:41
Публикации: 1779

Первоначально консолидированный перелом эпиметафиза б/берцовой кости, возможно в последущем был остеомиелит, также консолидированный перелом м/берцовой кости. При травме по первым двум снимкам получается внутрисуставной Y-образный перелом дистального конца бедренной кости и перелом н/мыщелка б/берцовой кости с последующим остеосинтезом, а на нем кстати решили сэкономить.

"Знаешь, у некоторых врачей есть комплекс мессии — им необходимо спасать мир. А у тебя комплекс Рубика — тебе необходимо решать головоломки."

Катенёв Валентин Львович аватар
Не на сайте
Был на сайте: 7 лет 1 месяц назад
Зарегистрирован: 22.03.2008 - 22:15
Публикации: 54876

Снимки.

 

Приложения: 
210.Tr_..JPG210.Tr_..JPG211.Tr_..jpg212.Tr_..jpg213.Tr_.JPG214.Tr_..jpg215.Tr_..jpg216.Tr_..jpg
v1tal аватар
Не на сайте
Был на сайте: 4 года 9 месяцев назад
Зарегистрирован: 07.06.2008 - 19:41
Публикации: 1779

А случаем образования в б/берцовой кости не было?

"Знаешь, у некоторых врачей есть комплекс мессии — им необходимо спасать мир. А у тебя комплекс Рубика — тебе необходимо решать головоломки."

stovbav аватар
Не на сайте
Был на сайте: 2 года 2 месяцев назад
Зарегистрирован: 20.12.2009 - 17:28
Публикации: 7066

В общем и целом Вы оба правы! Смешное и трагизм этой истории вот в чем - первая травма в 2006 году (тоже ДТП), переломы, лечение, остеомиелит, ложный сустав (последствия Вы видите). Естественно - передвигается с тубой на ноге. И вот его угораздило сесть за руль СТОЯЩЕЙ машины, в которую врезается другой автомобиль. Приезжают спасатели, ГАИ, его выковыривают из салона и...о БОГИ...у него на ноге "ЛАНГЕТА" - как утверждают гаишники...вопрос....есть ли свежая травма? от гаишников и судмедэксперта...обвиняемая сторона утверждает, что он эту травму получил по пути домой после злополучного ДТП...
...и грустно....и смешно.... Вот такая история. Естественно. перелом не патологический, хотя и на фоне остеопороза....по понятной теперь причине...

v1tal аватар
Не на сайте
Был на сайте: 4 года 9 месяцев назад
Зарегистрирован: 07.06.2008 - 19:41
Публикации: 1779

А Вы значит Виктор Григорьевич и "судебкой" занимаитесь?

"Знаешь, у некоторых врачей есть комплекс мессии — им необходимо спасать мир. А у тебя комплекс Рубика — тебе необходимо решать головоломки."

lupan аватар
Не на сайте
Был на сайте: 6 лет 10 месяцев назад
Зарегистрирован: 07.01.2010 - 17:17
Публикации: 1406

stovbav wrote:

 Естественно. перелом не патологический, хотя и на фоне остеопороза....по понятной теперь причине...

Перелом на фоне остеопороза, поэтому я и написал, что он патологический. А просматривая снимки, любезно обработанные В.Л., заподозрил, что перелом нар. мыщелка ББК старый, несросшийся. А еще говорят, что снаряд дважды в одну воронку не попадает...

Великое преймущество врача заключается в том, что он не обязан следовать собственным советам. ( А. Кристи)

Петрович аватар
Не на сайте
Был на сайте: 7 лет 3 месяцев назад
Зарегистрирован: 22.03.2009 - 01:13
Публикации: 3908

lupan wrote:
Перелом на фоне остеопороза, поэтому я и написал, что он патологический. А просматривая снимки, любезно обработанные В.Л., заподозрил, что перелом нар. мыщелка ББК старый, несросшийся. А еще говорят, что снаряд дважды в одну воронку не попадает...
  Что же он фиксирует кроме коленного сустава, странный этот МОС? А ложный сустав между отломками в эпифизе большой берцовой кости или ниже тоже?

Неоднозначно всё

Катенёв Валентин Львович аватар
Не на сайте
Был на сайте: 7 лет 1 месяц назад
Зарегистрирован: 22.03.2008 - 22:15
Публикации: 54876

И ещё.

 

Приложения: 
311._Tr..JPG312._Tr.jpg313.Tr_..JPG314_Tr..jpg
stovbav аватар
Не на сайте
Был на сайте: 2 года 2 месяцев назад
Зарегистрирован: 20.12.2009 - 17:28
Публикации: 7066

v1tal wrote:
А Вы значит Виктор Григорьевич и "судебкой" занимаитесь?

И"судебкой"...постоянно уже более 10 лет подряд....до этого - спорадически...

stovbav аватар
Не на сайте
Был на сайте: 2 года 2 месяцев назад
Зарегистрирован: 20.12.2009 - 17:28
Публикации: 7066

Петрович wrote:

lupan wrote:
Перелом на фоне остеопороза, поэтому я и написал, что он патологический. А просматривая снимки, любезно обработанные В.Л., заподозрил, что перелом нар. мыщелка ББК старый, несросшийся. А еще говорят, что снаряд дважды в одну воронку не попадает...
  Что же он фиксирует кроме коленного сустава, странный этот МОС? А ложный сустав между отломками в эпифизе большой берцовой кости или ниже тоже?

Вопрос сути МОС - отдельная тема. Кстати, интересная ситуация, возможно не только у меня....при обнаружении подобной ситуации как себя вести, если это НИКОМУ из представителей экспертных органов просто НЕ ИНТЕРЕСНО....лично ехать в Тьмутаракань отношения выяснять?...