Так могут выглядеть обызвествленные подмышечные л/узлы.А сколько лет молодому человеку?Можно ли выполнить тмг ч/корни(стоя!)?Будет 100%ый ответ на Ваш вопрос.(если еще добавите клиники и анамнез,будет совсем хорошо)
Это флюор-ф п-ки, технической возможности перенести изображение на пленку нет. А цифровые носители ПТД не принимает (так у них принято). Вот и получается, что для того, что бы отправить туда пациента - нужно его еще раз облучить, сделав обычную Rо-гр.(которая часто бывает менее информативна, чем флюороцифра). А можно отморозиться и сделать распечатку на лазерном принтере (что я и сделал), повесив на шею ПТД этого пациента. Поэтому и не сделал ни боковую, ни линейную томо-(она у нас не работает). И о дальнейшей судьбе вряд ли узнаю. Как санитар на поле боя - главное выбрать правильное направление (отсечь конечность, висящую на лоскутке..., голава-шея...что там еще - это из военки)
Это флюор-ф п-ки, технической возможности перенести изображение на пленку нет. А цифровые носители ПТД не принимает (так у них принято). Вот и получается, что для того, что бы отправить туда пациента - нужно его еще раз облучить, сделав обычную Rо-гр.(которая часто бывает менее информативна, чем флюороцифра). А можно отморозиться и сделать распечатку на лазерном принтере (что я и сделал), повесив на шею ПТД этого пациента. Поэтому и не сделал ни боковую, ни линейную томо-(она у нас не работает). И о дальнейшей судьбе вряд ли узнаю. Как санитар на поле боя - главное выбрать правильное направление (отсечь конечность, висящую на лоскутке..., голава-шея...что там еще - это из военки)
Когда всем в областном центре проставили "цифру" и заставили овладеть той цифрой все стало на свои места. Да и главный рентгенолог области постарался.
А раньше хреново было. Мы то в 2006 году полностью на цифру перешли - флюшка, маммограф, ну и сиар докупили, что в дремучем лесу жили, а облать требовала на пленке. да и цистоклины наши хотели пленку зреть.., при пациенте то эффектно пленочку на окнецо глянуть, пусть даже кверху ногами, но для пациента эффектно.
Спасибо за совеы,у нас в тайге подмосковной до сих пор так.Хорошо еще в Москве цифровые носители уважают, в районе приходиться распечатывать на пленке в ПТД,травму и т.п.
Желательно бы левый бок сделать, а затем в идеале ТМГ.
Поддерживаю саркоидоз.
Болезни ног: виды, симптомы, причины, профилактика и лечение
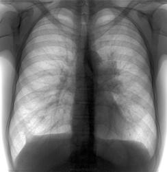
а это мне кажется или что-то есть в правой лопатке?
Поддержу мысль о саркоидозе лимфатических узлов. Плевро-диафрагмальная спайка справа. Значит, процесс был воспалительный. Почему нет бокового снимка?
Да - есть, очевидно остеохондрома, но это требует уточнения.
Болезни ног: виды, симптомы, причины, профилактика и лечение
Так могут выглядеть обызвествленные подмышечные л/узлы.А сколько лет молодому человеку?Можно ли выполнить тмг ч/корни(стоя!)?Будет 100%ый ответ на Ваш вопрос.(если еще добавите клиники и анамнез,будет совсем хорошо)
Согласен. Тоже возможно как вариант...помню когда то выставлял целую подборку...
Но это легко решаемо на той же флюшке.
Болезни ног: виды, симптомы, причины, профилактика и лечение
При саркоидозе обычно корни выглядят более менее симметрично, а здесь наоборот. Может и канцер выскочить. Провести ТМГ или КТ.
Саркоидоз. в данном случае, совсем не возбуждает.
Да,на саркоидоз никак не тянет.Без бокового снимка ничего не сказать.
классических признаков пневмонии, предполагаю инфильтративный туберкулез 6 сегмента левого легкого. Ждем боковой, если имеется.
Это флюор-ф п-ки, технической возможности перенести изображение на пленку нет. А цифровые носители ПТД не принимает (так у них принято). Вот и получается, что для того, что бы отправить туда пациента - нужно его еще раз облучить, сделав обычную Rо-гр.(которая часто бывает менее информативна, чем флюороцифра). А можно отморозиться и сделать распечатку на лазерном принтере (что я и сделал), повесив на шею ПТД этого пациента. Поэтому и не сделал ни боковую, ни линейную томо-(она у нас не работает). И о дальнейшей судьбе вряд ли узнаю. Как санитар на поле боя - главное выбрать правильное направление (отсечь конечность, висящую на лоскутке..., голава-шея...что там еще - это из военки)
С уважением,
Знаем, это тоже проходили...
Правда у нас, это уже "пройденный этап"
Снижение прозрачности левого легкого, тени в проекции корня. Доп. тень в проекции подмышечных узлов.
Мое мнение - онкопатология, не обязательно рак, м.б. и саркома или МТ
Повезло Вам....а у нас уже и флюорографы цифровые успели состарится, а воз ОТД и ныне там.....увы....
Нам с Игорем Ивановичем легче на Радиомеде проконсультировать цифру, чем в ОТД....и опять...увы...
Болезни ног: виды, симптомы, причины, профилактика и лечение
Когда всем в областном центре проставили "цифру" и заставили овладеть той цифрой все стало на свои места. Да и главный рентгенолог области постарался.
А раньше хреново было. Мы то в 2006 году полностью на цифру перешли - флюшка, маммограф, ну и сиар докупили, что в дремучем лесу жили, а облать требовала на пленке. да и цистоклины наши хотели пленку зреть.., при пациенте то эффектно пленочку на окнецо глянуть, пусть даже кверху ногами, но для пациента эффектно.
Спасибо за совеы,у нас в тайге подмосковной до сих пор так.Хорошо еще в Москве цифровые носители уважают, в районе приходиться распечатывать на пленке в ПТД,травму и т.п.
По поводу цифры тоже ПТД конючил,но мы настояли на своем и сейчас записываем мед. диски и отправляем (фтизиатры привыкли и даже стало нравится).
Пневмония С6, нужно бы посмотреть динамику после лечения.
Почему - то много случаев незавершенных.