Пол пациента:
Тип патологии:
Область исследования:
Методы исследования:
- https://radiomed.ru/sites/default/files/styles/case_slider_image/public/user/12/2.pb130007a.jpg?itok=UzOy18wV
- https://radiomed.ru/sites/default/files/styles/case_slider_image/public/user/12/3.pb130008.jpg?itok=cpUbDDWl
- https://radiomed.ru/sites/default/files/styles/case_slider_image/public/user/12/4.pb130008a.jpg?itok=93pWZkTH
- https://radiomed.ru/sites/default/files/styles/case_slider_image/public/user/12/5.pb130010.jpg?itok=wMYYd8Kr
- https://radiomed.ru/sites/default/files/styles/case_slider_image/public/user/12/6.pb130010a.jpg?itok=SZJGYxE-
- https://radiomed.ru/sites/default/files/styles/case_slider_image/public/user/12/7.pb130011.jpg?itok=fgZxgmgv
- https://radiomed.ru/sites/default/files/styles/case_slider_image/public/user/12/8.pb130011a.jpg?itok=Xp-rwTWo
ID:8844
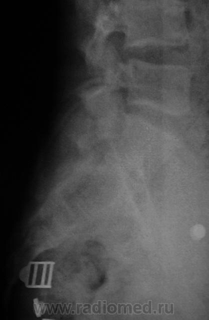
Мнение по снимкам: плохая подготовака - много газов и каловых масс в проекции L4-L5, крестца и копчика. Выпрямленность поясничного лордоза. Дугообразный сколиоз вправо.
А что случилось с больным?
Хочешь сделать что-то нормально - сделай это сам!
Пациент пнул по мячу и упал. Боли при сгибании туловица. Этим также обусловлена "плохая подготовка" - не готовили.
Травматолог видит переломы.
[[wysiwyg_imageupload:478:]]
ИМХО: вариант строения крестцово-подвздошных суставов( во-первых :тени "линий переломов" симметричные слева и справа, во-вторых: по механизму травмы, что бы возникли такие переломы после удара по мячу...- не может быть!).
норма. нет у травматолога права видеть.
Хочешь сделать что-то нормально - сделай это сам!
Полностью согласен с Вами уважаемый коллега. Но травматолог, козыряя тем, что он клиницист, ничего слышать не захотел. Согласился только после производства томограмм.
Первый стерз.
[[wysiwyg_imageupload:479:]][[wysiwyg_imageupload:480:]][[wysiwyg_imageupload:481:]][[wysiwyg_imageupload:482:]]
Второй срез.
[[wysiwyg_imageupload:483:]][[wysiwyg_imageupload:484:]][[wysiwyg_imageupload:485:]][[wysiwyg_imageupload:486:]]
Сия "бяка" носит название переходного двустороннего симметричного подвижного, с образованием неоартроза с двух сторон пояснично-крестцового позвонка. Так вот эта ситуация МОЖЕТ проявить себя болевым симптомом при физической нагрузке, в т.ч. и при "заштатных" движениях в поснице, мало как он этот удар производил и куда его в это время "повело" и как....
...и еще, переломы - это явный перебор...
....
Болезни ног: виды, симптомы, причины, профилактика и лечение
13 -е свойство рентгеновых лучей, не описанное Рентгеном - психотерапевтический эффект, распространяющийся даже на тех, кто не облучался )))))))))))))))))
Хочешь сделать что-то нормально - сделай это сам!
Виктор Григорьевич, не нужно так усложнять! Будем точнее и проще - двустороняя суставная сакрализация L5!
--------------
"Просто, по видимости, не видеть логики в очевидных вещах - это тоже одно из свойств некоторых умов, наряду с грустными думами о свойствах ума других." © Vega 08/10/2011
нет здесь никакого перелома.......
право видеть есть у всех
Уважаемый Максималист, я не усложняю. Меня так учили, вот и все. Вы ведь чтите своих учителей
, а я своих. А в описании, которое я дал, четко и последовательно дана характеристика всех особенностей этой самой "сакрализации",о которой говорите Вы, кстати, а почему не - "люмбализации"?
Болезни ног: виды, симптомы, причины, профилактика и лечение
Люмбализация, сакрализация... Переходный позвонок!!! И все.
Конечно, право видеть есть у всех, но когда за правом нет никаких знаний про область, в которую сует нос клиницисто, у рентгенолога от этого только один головняк.
Хочешь сделать что-то нормально - сделай это сам!
Возможно, не "право видеть", а право "смотреть".
А уж если "обязанность видеть", то, конечно только к тому, который имеет сертификат по "видению".
С Вами можно согласиться, но не в этом случае. Клиницист "весь надут", гнёт свою линию, играя на "публику, а рядом с "мальчиком" - МАМА. А, "МАМА" - Федеральный Судья, настроена очень решительно.
Вот такие, вот дела.
Второй и более важный аспект: являются ли имеющиеся неоартрозы болезненными, то есть клинически значимыми. Это без клиницистов не решить.
Неоднозначно всё
Линейная томография вполне может применяться, раз уж компьютерная не всем досталась. Тем более что Федеральный Судья решительно ЗА.
Неоднозначно всё
Конечно, иногда, это горько и комично уважаемый Петрович. Но, это есть "реальность", когда неподъемный хирург амбулаторного приема, впереди своих штанов бежит в рентгеновский кабинет, перед "мамой". А хирург, этот, в рентген-кабинете появляется только в таких "эксклюзивных случаях", остальное ему - по большому барабану...
Виктор Григорьевич, Вы правы - учителей уважаю, но в багаже несу то, что находит логическое обоснование/подтверждение; "ничего не принимай на веру - всё подвергай разумному сомнению", "Платон мне друг, но истина дороже" - принципы, которыми руководствовался и руководствуюсь, собираясь наполнять "котелок"!
Тогда давайте (вместе?) построим более удобоваримый (менее пугающий ) термин!
"...носит название переходного двустороннего симметричного подвижного, с образованием неоартроза с двух сторон пояснично-крестцового позвонка..."
Моё мнение:
1 - "двусторонний" - лишнее слово, ведь Вы уже говорите "симметричный";
2 - "переходный" - слово либо убираем, либо "смазываем кашу" подставляя его перед "пояснично-крестцовым" (что само подразумевает некую переходность);
3 - "пояснично-крестцовый позвонок" - не поддерживаю, т.к. считаю термин Rg-логически неточным/неопределённым, всегда можно его причислить к определённому отделу (по форме позвонка, по форме крестца (в бок. проекции));
4 - подвижность любого позвонка, на мой взгляд, не вызывает сомнений, если речь не о кокресценции;
5 - "с образованием неоартроза" - пропущено между чем и чем (понятно, что речь о неоартрозах м/у смежными поперечными отростками, но может и м/у поперечным отростком и крылом подвздошной кости (кстати, в наблюдении недалеко от этого ушли - или пришли к этому...);
6 - на мой взгляд, всё-таки Королюк И.П. (потом и Жарков П.Л.) оценили вариабельность гиперплазии поперечных отростков точно и лаконично - по существу! (взял на вооружение!)
Теперь получается - "симметричный подвижный с двусторонними межпоперечноотростчатыми неоартрозами переходный (пояснично-крестцовый) позвонок"...
Как Вам - пойдёт или будем совершенствовать?!
"Почему не люмбализация?" - "Учитывая расположение гребней подвздошных костей по отношению к позвонкам на бок. снимке! + IMHO!"
--------------
"Просто, по видимости, не видеть логики в очевидных вещах - это тоже одно из свойств некоторых умов, наряду с грустными думами о свойствах ума других." © Vega 08/10/2011
Рассматривая ещё раз снимки (тем паче отличного качества Т-граммы Валентина Львовича), ловлю себя на мысли, что у нас бы больной попал-таки на КТ (линейные Т-граммы не производим...) и что как бы не пропустить начальные стадии б-ни Бехтерева!..
(Надеюсь, хирурги не будут носиться только с "переломами"
,.. а проведут достойное врача обследование - те же пробы...)
--------------
"Просто, по видимости, не видеть логики в очевидных вещах - это тоже одно из свойств некоторых умов, наряду с грустными думами о свойствах ума других." © Vega 08/10/2011
Огромная просьба к Валентину Львовичу: выложить снимки данного пациента полностью (НЕ обрезанные и НЕ уменьшенные). Уже так много слов сказано. Но хочется Ясности!
Неоднозначно всё
Постараюсь завтра выложить без уменьшения.
Знакомая ситуевина. В нашей ведомственной больничке клиницисты тоже перед чинушами частенько пятую точку прикрывают. Да и 13-е св-во лучей тоже никто не отменял, на женералей и продукты их размножения действует безотказно.
Хочешь сделать что-то нормально - сделай это сам!
Снимки.
Томограммы.
Будем, Максималист, будем....
И первое - уж больно как то "не звучит" этот артроз. Да, согласен, если давать полную описательную картину, то следует расшифровать, между чем и чем...но правы ли Вы с учетом анатомии?...разве у крестца тоже поперечные отростки?
А то, что такой неоартроз бывает - не спорю, посмотрите по ссылке...(первая картинка).
http://xray.com.ua/xforum/viewtopic.php?f=8&t=1080
Болезни ног: виды, симптомы, причины, профилактика и лечение
Увы, точный подсчёт не удаётся. Но больше похоже на люмбализацию,
Неоднозначно всё
Здравствуйте, Виктор Григориевич. Прочитал ваше заключение по первой картинке. Насколько корректным вы считаете постановку д-за недостаточности илео-цек клапана при достаточно нефизиологичном исследовании - ирригоскопии?
Хочешь сделать что-то нормально - сделай это сам!
Вопрос немного не в тему ветки...но....самое интересное, что именно такой же вопрос я задавал и Витебскому в 1991 году...да так и не получил на него достаточно четкого ответа. Если считать, что Баугиниева заслонка клапан абсолютного действия, то какая разница физиологично или нет исследование?...другое дело, что этот клапан, как по мне, все таки клапан относительного действия, а следовательно все зависит напрямую от методики проведения этой самой ирригоскопии. Не спорю, после лекций Витебского "грешил" выводами о недостаточности ...сейчас же подхожу к этому вопросу очень взвешено и сторого индивидуально. Случай за 1993 год, о котором Вы упоминаете, интересен сам по себе тем, что Баугиниева заслонка зак бы "зияла", что позволяло бариевой взвеси безпрепятственно перетекать в тонкую кишку, а парадоксальность объясняется опухолевой природой ее несостоятельности.
Болезни ног: виды, симптомы, причины, профилактика и лечение
Спасибо, Виктор Григориевич, я тоже подхожу к этому вопросу "очень взвешено и сторого индивидуально".
Хочешь сделать что-то нормально - сделай это сам!
Конечно, у крестца поперечных отростков нет, но pars lateralis только "утяжелит" и без того "насыщенную" сложносочинённую конструкцию, а хочется слегка и облегчить, и конкретизировать...
Тогда, может, так - "подвижный с симметричными неоартрозами переходный (пояснично-крестцовый) позвонок"?..
--------------
"Просто, по видимости, не видеть логики в очевидных вещах - это тоже одно из свойств некоторых умов, наряду с грустными думами о свойствах ума других." © Vega 08/10/2011
"Вытяжка" из полного "тяжеловесного" описания вполне премлемая, но уже больше не сокращается, как по мне
....
Болезни ног: виды, симптомы, причины, профилактика и лечение
--------------
"Просто, по видимости, не видеть логики в очевидных вещах - это тоже одно из свойств некоторых умов, наряду с грустными думами о свойствах ума других." © Vega 08/10/2011