Интересный вопрос. "Язва - это или не язва" луковицы 12-ти перстной кишки? Можно ответить, что - "ДА", но можно ответить, и - "НЕТ".
Я отвечу - "НЕТ", ибо данное скиалогическая картина, даже с учетом наличия "формальной ниши", мало похожа на "язву", и еще меньше на "язвенную болезнь желудка и 12-ти перстной кишки, с локализацией язвенной "ниши" в луковице 12-ти перстной кишки".
Данное мнение весьма субъективно, так как базируется только на "одном изображении", представленном в "прямой проекции"
Формально - ниша, но при активной язве все не так просто, должны превалировать ковенные признаки - локальный спазм, гипермотильность, локальная болезненность, гиперсекреция, утолшения складок - а здесь все спокойно. Если бы применялась медикаментозная гипотония картина желудка была бы несколько иной. Так что категорически согласен с Валентином Львовичем - ниша - есть, язва - сомнительна...
На "обзорном снимке" нашли отображение два главных скиалогических симптома "язвы" - "контур ниша" и симметричный воспалительный "вал". Конечно, если бы, имела место еще и "конвергенция складок" слизистой к "нише", то высказать что-то, было-бы проблемно. Смущает и сама ниша "соскообразная" (а не коническая) и мысли, конечно в сторону "хронической", но тогда "вал"?, отсутствие "деформации" луковицы при "такой нише"?, отсутствие "перипроцесса"?
Конечно, в любом случае, эндоскописты скажут "своё весомое слово", но должен заметить, что при полноценно проведенном рентгенологическом исследовании, установление (рентгенологически) диагноза "язвенной болезни желудка и 12-ти перстной кишки совершенно не сложно. И стандарт исследования выработан "давным-давно", и рентгеновская симптоматология "езжана-переезжана", и полученные данные при "стандартном", полноценно проведенном исследовании "высоко достоверны". Все расписано - "прямые" и "косвенные" симптомы, некоторые авторы, правда, косвенные симптомы "разделяли" и вносили "подраздел" - "функциональные". Я уже не буду касаться вопроса "фармако-диагностики", когда исследование в условиях гипотонии - "релансационная дуоденография" давали "максимум информации"
НО, дорогой коллега, один снимок - обзорный - это "нуль". Кроме обзорного снимка, ну просто обязательны снимки в косых проекциях под контролем "экрана", ну просто обязательны снимки с "дозированной компрессией", ведь кроме "контур - ниши", нужно получить отображение "рельеф - ниши" и т.д. и т.п.
клиника есть, беспокоят частые боли, терапевт болезненности правда не описывает при пальпации, а эдоскопист смотрел его до гастроскопии написал, что в луковице все спокойно, но он работает недавно и были случаи, что просматриал запущенную онологию желудка и пищевода, вот пациента и направили к нам, я ему показала на всякий случай луковицу эту, сказал будет еще раз дядьку смотреть, говорит луковица ему нелегко дается))))))) Так что как пересмотрит сообщю))))))) А данный снимок в правой передней косой проекции стоя, остальные снимки на работе, почти все в косых проекциях стоя и лежа, этот мне просто больше всех понравился, в следущий раз учту и больше выставлю . Валентин Львович, незнаю как делается дозированная компресия, что нужно для этого сделать???))))
Конечно, коллеги эндоскописты - это хорошо, и мы к ним со всем уважением. Но может быть, здесь, на сайте, выражая им (эндоскопистам) свою признательность, не будеи на НИХ ориентироваться"
Но ведь Вами представлен "фрагмент снимка" слизистой, по всей видимости, с компрессией. А может, Вы выставить снимок (снимки) полностью?
Валентин Львович,не уверена,что смогу выставить снимки(завтра посмотрю на работе),дело было давно,а это сохранилось на телефоне и сейчас как-то к слову пришлось. Это просто прицельный снимок без компрессии, большая кривизна.
Дозированную компрессию, как правило, произвожу при помощи мягких "тубусов" различной формы и размеров, но чаще использую средних размеров. Ранее, весьма успешно, для дозированной компрессии использовал надутую камеру для футбольного мяча, которая была фиксирована при помощи резинки к деке стола сбоку, и не мешала проведению исследования. Жесткими тубусами, как правило, не пользуюсь, ибо они довольно часто "раздавливают" слизистую.
Конечно лучше компрессии, чем рукой не сделаешь, да и складочки слизистой хорошо рукой расправляются, да и много чего можно сделать "рукой", но нельзя!!!
Вопрос на сообразительность молодым рентгенологам: почему на классических штативах для просвечивания все кнопки, тумблеры и прочие рычаги управления сконструированы под левую руку? Почему такое предпочтение левшам?
Камера футбольного мяча, ватномарлевые валики (жёсткий и мягкий), дистинктор Соколова – всё это используется во время просвечивания при помощи правой руки, да и пальпирующая рука рентгенолога (в нарушение инструкции без перчатки!) тоже правая.
Ушедший ХХ век… Золотой век Классической Рентгенологии. Когда мы были молодыми.
Не пригодится все эти фенечки молодым коллегам. Иринка работает на телеуправляемом штативе «Телемедикс-Р-АМИКО», и DR.RAD – Vika наверняка, юзает подобный девайс. Об этом я сужу по представленному ею снимку, который хотя и назван правым передним косым, выглядит как задний левый косой. Наверное, он таковым и был сделан, потому что на телеуправляемом штативе трубка и тубус находятся спереди от больного, а воспринимающие устройства (ЭОП, кассета с плёнкой, цифровая матрица) сзади от него. А сам рентгенолог находится в комнате управления (пультовой), за стеклом и правой рукой ему до больного не дотянуться.
Однако, дозированную компрессию можно проводить и с помощью универсального тубуса. Тут возможны варианты. Главное понимать: чего хочешь добиться. Обычно дозированная компрессия нужна для выявления микрорельефа слизистой желудка (надёжной диагностики разных форм гастрита), но тут без высококонцентрированного контраста нужного результата не получить. Если младшее поколение интересуют эта довольно специализированная информация – обращайтесь на мою страничку.
Кстати Валентин Львович, мой учитель проводит комрпессию с помощью мяча, прекрасно все получается, а я вот тоже подумывал, но все же во преки всем правилам просто провожу рукой компрессию, всё же при дистанционной R-скопии недостаточная компрессия тубусом.
"Знаешь, у некоторых врачей есть комплекс мессии — им необходимо спасать мир. А у тебя комплекс Рубика — тебе необходимо решать головоломки."
Конечно "криминал", и говорить об этом не стоит, да и нельзя. 37 лет в рентгенологии, уд вес исследований ЖКТр всегда был весьма высок, перчаток никогда не надевал, пальпацию "за экраном"осуществлял "голой" рукой. Но делать так нельзя, да и пробовать не стоит.
У меня сегодня был пациент с "аналогичной" патологией, которой озаглавлена "ветка".
У меня сегодня был пациент с "аналогичной" патологией, которой озаглавлена "ветка". Приведу некоторые фрагменты исследования, которые прямо или косвенно свидетельствуют о наличии "язвы" в луковице 12-ти перстной кишки.
1. Уменьшение луковицы 12-ти перстной кишки в размерах, с выраженной её деформацией. Можно, кстати, вспомнить и закономерность Варфаламея Артемьевича Фанарджяна. Весьма полезная закономерность.
Рентгенологически язва по задней стенке. Продолжение "этого случая" еще последует. Пусть это не прозвучит высокомерно, но мы вынуждены, не ориентироваться на "наших" эндоскопистов. Наши эндоскописты даже не берут материала для гистологии, везде свои заморочки. Я считаю, что лечащий врач, коллега клиницист, получив данные от врачей исследователей, сделает правильный вывод, и за этим последует "клинический синтез".
на днях смотрела такую же дефорированную луковицу, только язва поболее была, ломали с эндоскопистом голову почему же так деформированна сама луковица, оказывается из-за язвы
Интересный вопрос. "Язва - это или не язва" луковицы 12-ти перстной кишки? Можно ответить, что - "ДА", но можно ответить, и - "НЕТ".
Я отвечу - "НЕТ", ибо данное скиалогическая картина, даже с учетом наличия "формальной ниши", мало похожа на "язву", и еще меньше на "язвенную болезнь желудка и 12-ти перстной кишки, с локализацией язвенной "ниши" в луковице 12-ти перстной кишки".
Данное мнение весьма субъективно, так как базируется только на "одном изображении", представленном в "прямой проекции"
Формально - ниша, но при активной язве все не так просто, должны превалировать ковенные признаки - локальный спазм, гипермотильность, локальная болезненность, гиперсекреция, утолшения складок - а здесь все спокойно. Если бы применялась медикаментозная гипотония картина желудка была бы несколько иной. Так что категорически согласен с Валентином Львовичем - ниша - есть, язва - сомнительна...
А если не язва, то что? Интересно было бы узнать у автора, что видят эндоскописты?
Почему формально - "ДА"?
На "обзорном снимке" нашли отображение два главных скиалогических симптома "язвы" - "контур ниша" и симметричный воспалительный "вал". Конечно, если бы, имела место еще и "конвергенция складок" слизистой к "нише", то высказать что-то, было-бы проблемно. Смущает и сама ниша "соскообразная" (а не коническая) и мысли, конечно в сторону "хронической", но тогда "вал"?, отсутствие "деформации" луковицы при "такой нише"?, отсутствие "перипроцесса"?
Конечно, в любом случае, эндоскописты скажут "своё весомое слово", но должен заметить, что при полноценно проведенном рентгенологическом исследовании, установление (рентгенологически) диагноза "язвенной болезни желудка и 12-ти перстной кишки совершенно не сложно. И стандарт исследования выработан "давным-давно", и рентгеновская симптоматология "езжана-переезжана", и полученные данные при "стандартном", полноценно проведенном исследовании "высоко достоверны". Все расписано - "прямые" и "косвенные" симптомы, некоторые авторы, правда, косвенные симптомы "разделяли" и вносили "подраздел" - "функциональные". Я уже не буду касаться вопроса "фармако-диагностики", когда исследование в условиях гипотонии - "релансационная дуоденография" давали "максимум информации"
НО, дорогой коллега, один снимок - обзорный - это "нуль". Кроме обзорного снимка, ну просто обязательны снимки в косых проекциях под контролем "экрана", ну просто обязательны снимки с "дозированной компрессией", ведь кроме "контур - ниши", нужно получить отображение "рельеф - ниши" и т.д. и т.п.
Вот такие, вот дела.
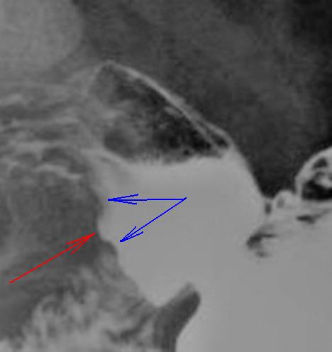
Валентин Львович, а это язва?
клиника есть, беспокоят частые боли, терапевт болезненности правда не описывает при пальпации, а эдоскопист смотрел его до гастроскопии написал, что в луковице все спокойно, но он работает недавно и были случаи, что просматриал запущенную онологию желудка и пищевода, вот пациента и направили к нам, я ему показала на всякий случай луковицу эту, сказал будет еще раз дядьку смотреть, говорит луковица ему нелегко дается))))))) Так что как пересмотрит сообщю))))))) А данный снимок в правой передней косой проекции стоя, остальные снимки на работе, почти все в косых проекциях стоя и лежа, этот мне просто больше всех понравился, в следущий раз учту и больше выставлю . Валентин Львович, незнаю как делается дозированная компресия, что нужно для этого сделать???))))
ИРИНКА!
Но ведь Вами представлен "фрагмент снимка" слизистой, по всей видимости, с компрессией. А может, Вы выставить снимок (снимки) полностью?
Уважаемый DR.RAD!
Конечно, коллеги эндоскописты - это хорошо, и мы к ним со всем уважением. Но может быть, здесь, на сайте, выражая им (эндоскопистам) свою признательность, не будеи на НИХ ориентироваться"
Валентин Львович, ну поделитесь пожалуйста)))))))))) как вы делаете дозиров компресию, я завтра уже попробую))))))))))))))
Но ведь Вами представлен "фрагмент снимка" слизистой, по всей видимости, с компрессией. А может, Вы выставить снимок (снимки) полностью?
Валентин Львович,не уверена,что смогу выставить снимки(завтра посмотрю на работе),дело было давно,а это сохранилось на телефоне и сейчас как-то к слову пришлось. Это просто прицельный снимок без компрессии, большая кривизна.
Дозированную компрессию, как правило, произвожу при помощи мягких "тубусов" различной формы и размеров, но чаще использую средних размеров. Ранее, весьма успешно, для дозированной компрессии использовал надутую камеру для футбольного мяча, которая была фиксирована при помощи резинки к деке стола сбоку, и не мешала проведению исследования. Жесткими тубусами, как правило, не пользуюсь, ибо они довольно часто "раздавливают" слизистую.
Конечно лучше компрессии, чем рукой не сделаешь, да и складочки слизистой хорошо рукой расправляются, да и много чего можно сделать "рукой", но нельзя!!!
Вопрос на сообразительность молодым рентгенологам: почему на классических штативах для просвечивания все кнопки, тумблеры и прочие рычаги управления сконструированы под левую руку? Почему такое предпочтение левшам?
Камера футбольного мяча, ватномарлевые валики (жёсткий и мягкий), дистинктор Соколова – всё это используется во время просвечивания при помощи правой руки, да и пальпирующая рука рентгенолога (в нарушение инструкции без перчатки!) тоже правая.
Ушедший ХХ век… Золотой век Классической Рентгенологии. Когда мы были молодыми.
Не пригодится все эти фенечки молодым коллегам. Иринка работает на телеуправляемом штативе «Телемедикс-Р-АМИКО», и DR.RAD – Vika наверняка, юзает подобный девайс. Об этом я сужу по представленному ею снимку, который хотя и назван правым передним косым, выглядит как задний левый косой. Наверное, он таковым и был сделан, потому что на телеуправляемом штативе трубка и тубус находятся спереди от больного, а воспринимающие устройства (ЭОП, кассета с плёнкой, цифровая матрица) сзади от него. А сам рентгенолог находится в комнате управления (пультовой), за стеклом и правой рукой ему до больного не дотянуться.
Однако, дозированную компрессию можно проводить и с помощью универсального тубуса. Тут возможны варианты. Главное понимать: чего хочешь добиться. Обычно дозированная компрессия нужна для выявления микрорельефа слизистой желудка (надёжной диагностики разных форм гастрита), но тут без высококонцентрированного контраста нужного результата не получить. Если младшее поколение интересуют эта довольно специализированная информация – обращайтесь на мою страничку.
Неоднозначно всё
Если младшее поколение интересуют эта довольно специализированная информация – обращайтесь на мою страничку.
А куда смотреть на ашей страничке??????
Почему же нельзя а рукой в перчатке?
Ну, если в "перчатке", то конечно можно.
Кстати Валентин Львович, мой учитель проводит комрпессию с помощью мяча, прекрасно все получается, а я вот тоже подумывал, но все же во преки всем правилам просто провожу рукой компрессию, всё же при дистанционной R-скопии недостаточная компрессия тубусом.
"Знаешь, у некоторых врачей есть комплекс мессии — им необходимо спасать мир. А у тебя комплекс Рубика — тебе необходимо решать головоломки."
Конечно "криминал", и говорить об этом не стоит, да и нельзя. 37 лет в рентгенологии, уд вес исследований ЖКТр всегда был весьма высок, перчаток никогда не надевал, пальпацию "за экраном"осуществлял "голой" рукой. Но делать так нельзя, да и пробовать не стоит.
У меня сегодня был пациент с "аналогичной" патологией, которой озаглавлена "ветка".
У меня сегодня был пациент с "аналогичной" патологией, которой озаглавлена "ветка". Приведу некоторые фрагменты исследования, которые прямо или косвенно свидетельствуют о наличии "язвы" в луковице 12-ти перстной кишки.
1. Уменьшение луковицы 12-ти перстной кишки в размерах, с выраженной её деформацией. Можно, кстати, вспомнить и закономерность Варфаламея Артемьевича Фанарджяна. Весьма полезная закономерность.
2. "Рельеф - ниша" с выраженной конвергенцией складок слизистой к "нише". Резкий отек и деформация складое слизистой луковицы 12-ти перстной кишки.
3. "Рельеф- ниша", с выраженной конвергенцией отечных складок слизистой к "нише", деформация складок.
4. "Контур - ниша". Хорошо видна также конвергенция складок слизистой к "нише".
наглядный пример, Валентин Львович, а эндоскописты тоже эту язву увидели, вы пишите в заключении по какой стенке язва?
Рентгенологически язва по задней стенке. Продолжение "этого случая" еще последует. Пусть это не прозвучит высокомерно, но мы вынуждены, не ориентироваться на "наших" эндоскопистов. Наши эндоскописты даже не берут материала для гистологии, везде свои заморочки. Я считаю, что лечащий врач, коллега клиницист, получив данные от врачей исследователей, сделает правильный вывод, и за этим последует "клинический синтез".
на днях смотрела такую же дефорированную луковицу, только язва поболее была, ломали с эндоскопистом голову почему же так деформированна сама луковица, оказывается из-за язвы
Но возникает правомерный вопрос. А одна-ли язва, "ниша" в луковице?
А как вам тут луковица? есть признаки рубцовой деформации? На мой взгляд есть.
Не ограничивайте свою мысль
Живешь пока учишься
Ecrasez l’infame
Признаки есть, но и только. Слишком много «чёрного»).
Неоднозначно всё
спасибо за ответ.
Не ограничивайте свою мысль
Живешь пока учишься
Ecrasez l’infame