Жалоб нет. Ваше мнение коллеги?

Пол пациента: 
Тип патологии: 
Методы исследования: 

Жалоб нет.   Ваше мнение коллеги?

  • https://radiomed.ru/sites/default/files/styles/case_slider_image/public/user/12/2.lomakin1_0.jpg?itok=TJkM24C6
  • https://radiomed.ru/sites/default/files/styles/case_slider_image/public/user/12/3.lomakin1.2jpg_0.jpg?itok=0FW0VjqG
  • https://radiomed.ru/sites/default/files/styles/case_slider_image/public/user/12/4.lomakine1_0.jpg?itok=0fmCQb4_
  • https://radiomed.ru/sites/default/files/styles/case_slider_image/public/user/12/5.lomakin1.23jpg_0.jpg?itok=5pk17IYP
  • https://radiomed.ru/sites/default/files/styles/case_slider_image/public/user/12/6.lomakina1.jpg?itok=4yGiV95q
ID:7201
stovbav аватар
Не на сайте
Был на сайте: 2 года 2 месяцев назад
Зарегистрирован: 20.12.2009 - 17:28
Публикации: 7066

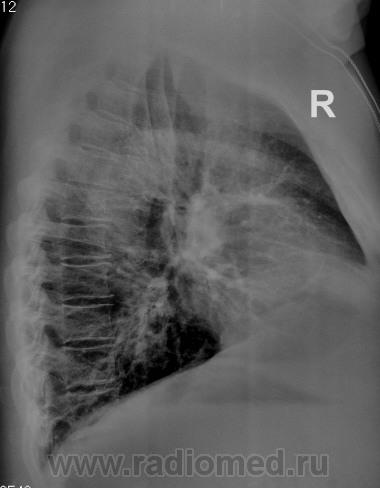
Первое, что напрашивается почти автоматически, массивные плевральные наслоения справа в передне-медиальном отделе.

Катенёв Валентин Львович аватар
Не на сайте
Был на сайте: 7 лет 1 месяц назад
Зарегистрирован: 22.03.2008 - 22:15
Публикации: 54876

Плевритом не болел, это - на 100%. Вообще ничем не болел. На редкость здоровый мужичара.

stovbav аватар
Не на сайте
Был на сайте: 2 года 2 месяцев назад
Зарегистрирован: 20.12.2009 - 17:28
Публикации: 7066

Катенёв Валентин Львович wrote:

Плевритом не болел, это - на 100%. Вообще ничем не болел. На редкость здоровый мужичара.

Травма могла быть в анамнезе....абдоминальные проблемы!!!! - тоже в анамнезе....что то должно быть, однозначно!

sema аватар
Не на сайте
Был на сайте: 10 лет 5 месяцев назад
Зарегистрирован: 05.09.2010 - 08:39
Публикации: 233

Согласен с предыдущим оратором-- травмы часто дают такую картину просто достаточно сильный удар.

Катенёв Валентин Львович аватар
Не на сайте
Был на сайте: 7 лет 1 месяц назад
Зарегистрирован: 22.03.2008 - 22:15
Публикации: 54876

А, если травма, если перелом ребра, даже если был плеврит и образовалась шварты,  против чего совершенно не возражаю, то почему так "нагло-интеллегентно" смотрится на "прямой рентгенограмме косто-диафрагмальный синус? А сердечно-диафрагмальный пострадал?

sema аватар
Не на сайте
Был на сайте: 10 лет 5 месяцев назад
Зарегистрирован: 05.09.2010 - 08:39
Публикации: 233

------ то почему так "нагло-интеллегентно" смотрится на "прямой рентгенограмме косто-диафрагмальный синус?-------

Ну уж не такой-уж "нагло-интеллегентно", а в боковай и особенно в задних отделах спайки.

Катенёв Валентин Львович аватар
Не на сайте
Был на сайте: 7 лет 1 месяц назад
Зарегистрирован: 22.03.2008 - 22:15
Публикации: 54876

sema wrote:

------ то почему так "нагло-интеллегентно" смотрится на "прямой рентгенограмме косто-диафрагмальный синус?-------

Ну уж не такой-уж "нагло-интеллегентно", а в боковой и особенно в задних отделах спайки.

Ну, а в передних отделах, по "боковой", вообще синуса, как такового не видно?

poly аватар
Не на сайте
Был на сайте: 10 лет 3 недели назад
Зарегистрирован: 10.09.2010 - 17:09
Публикации: 84

абдоминальный жир через диафрагму лезит...но как-то многовато...

sema аватар
Не на сайте
Был на сайте: 10 лет 5 месяцев назад
Зарегистрирован: 05.09.2010 - 08:39
Публикации: 233

Просто механизм травмы= удар в область печени и тому подобное.

Катенёв Валентин Львович аватар
Не на сайте
Был на сайте: 7 лет 1 месяц назад
Зарегистрирован: 22.03.2008 - 22:15
Публикации: 54876

poly wrote:

абдоминальный жир через диафрагму лезит...но как-то многовато...

Вы правы. Снимаю шляпу!

Было сделано КТ. Было подтверждено то, что ранее называлось медиастинальной липомой.

poly аватар
Не на сайте
Был на сайте: 10 лет 3 недели назад
Зарегистрирован: 10.09.2010 - 17:09
Публикации: 84

ну да липома, это я так образно...

Катенёв Валентин Львович аватар
Не на сайте
Был на сайте: 7 лет 1 месяц назад
Зарегистрирован: 22.03.2008 - 22:15
Публикации: 54876

poly wrote:

ну да липома, это я так образно...

Да, нет, Вы совершенно правы, в последнее время все реже пользуются термином "медиастинальная липома", все чаще приходится слышать - околосердечная жировая подушка или другие варианты.

Ola-la аватар
Не на сайте
Был на сайте: 10 месяцев 2 недели назад
Зарегистрирован: 06.12.2008 - 09:33
Публикации: 1786

Мне первое, что приходит в голову - медиастинальный липоматоз.

stovbav аватар
Не на сайте
Был на сайте: 2 года 2 месяцев назад
Зарегистрирован: 20.12.2009 - 17:28
Публикации: 7066

Катенёв Валентин Львович wrote:

 Было подтверждено то, что ранее называлось медиастинальной липомой.

Браво!!!! Честно признаюсь, даже не подумал о ее возможности....Ужасно стыдно.....

Катенёв Валентин Львович аватар
Не на сайте
Был на сайте: 7 лет 1 месяц назад
Зарегистрирован: 22.03.2008 - 22:15
Публикации: 54876

stovbav wrote:

Катенёв Валентин Львович wrote:

 Было подтверждено то, что ранее называлось медиастинальной липомой.

Браво!!!! Честно признаюсь, даже не подумал о ее возможности....Ужасно стыдно.....

Здравствуйте Виктор Григорьевич!

Что заставило меня выставить данный довольно интересный с точки зрения повседневности случай? Просто "такое состояние" стало довольно часто встречаться в повседневной практике, ранее, мы "это" видели намного реже.

stovbav аватар
Не на сайте
Был на сайте: 2 года 2 месяцев назад
Зарегистрирован: 20.12.2009 - 17:28
Публикации: 7066

Катенёв Валентин Львович wrote:

Что заставило меня выставить данный довольно интересный с точки зрения повседневности случай? Просто "такое состояние" стало довольно часто встречаться в повседневной практике, ранее, мы "это" видели намного реже.

Здравствуйте, Валентин Львович!

Благодаря этому случаю понял, что иногда недооценивал "плевральные наслоения"... особенно с точки зрения совсем другого значения сходной картинки. Еще раз спасибо за науку!

koriatus аватар
Не на сайте
Был на сайте: 3 года 2 недели назад
Зарегистрирован: 14.06.2010 - 01:49
Публикации: 452

  Когда я только начинал работать рентгенологом, такие изменения на снимке в области правого кардиодиафрагмального синуса - всегда вгоняли меня в некий ступор - "это" дело накладывалось на тень сердца на боковой рентгенограмме, и чего только я не подозревал: и плевральные наложения,  и осумкованную жидкость, и даже ателектазы Однако, благо, на КТ реконструируя Р- снимки (есть такая функция в совр. КТ) - я очень часто убеждался, что все изменения вызванны именно околосердечной жировой подушкой (за границей "fat pad"). Обычно это довольно тучные люди, с хорошо развитой жировой прослойкой. И такие изменения встречаются очень часто и никакая это не липома. Ставить медиастинальный липоматоз, на мой взгляд, по таким изменениям тоже не верно. Мы же не ставим на КТ ОБП - ожирение: видя большое количество жира в БП (а его там тоже хватает и по брыжейкам, и по сальнику).

 А по поводу снимков, теперь я более критично отношусь к изменениям в этой области: правда на этом фоне можно и пропустить чего...

Катенёв Валентин Львович аватар
Не на сайте
Был на сайте: 7 лет 1 месяц назад
Зарегистрирован: 22.03.2008 - 22:15
Публикации: 54876

koriatus wrote:

  Когда я только начинал работать рентгенологом, такие изменения на снимке в области правого кардиодиафрагмального синуса - всегда вгоняли меня в некий ступор - "это" дело накладывалось на тень сердца на боковой рентгенограмме, и чего только я не подозревал: и плевральные наложения,  и осумкованную жидкость, и даже ателектазы Однако, благо, на КТ реконструируя Р- снимки (есть такая функция в совр. КТ) - я очень часто убеждался, что все изменения вызванны именно околосердечной жировой подушкой (за границей "fat pad"). Обычно это довольно тучные люди, с хорошо развитой жировой прослойкой. И такие изменения встречаются очень часто и никакая это не липома. Ставить медиастинальный липоматоз, на мой взгляд, по таким изменениям тоже не верно. Мы же не ставим на КТ ОБП - ожирение: видя большое количество жира в БП (а его там тоже хватает и по брыжейкам, и по сальнику).

 А по поводу снимков, теперь я более критично отношусь к изменениям в этой области: правда на этом фоне можно и пропустить чего...

Нам, довольно большое подспорье, именно, в таких случаях, оказывает боковая линейная томография (используем, то, что имеем).