Клинические наблюдения

Опубликуйте свое собственное клиническое наблюдение!
Любовь С. аватар
26.02.2011 - 19:32
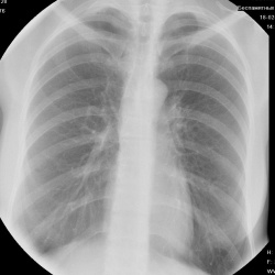
изображение с сайта www.radiomed.ru
 Пациентка 73 лет, доставлена в приёмное отделение с подозрением на пневмонию, t до 39 в течение 3-х дней, слабость, кашель, одышка в покое. После снимка ОГК госпитализирована, сразу выполнена...
Евгений Сергеевич аватар
26.02.2011 - 16:58
Мужчина 1984г.р. Из направления:"Остеохондроз".
Евгений Сергеевич аватар
26.02.2011 - 16:31
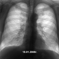
изображение с сайта www.radiomed.ru
Мужчина 1980 г.р. Клиники нет.
lupan аватар
26.02.2011 - 15:24
изображение с сайта www.radiomed.ru
Наблюдение из серии "Травма. Что напишем травматологу?" или "зачем нужны отсроченные снимки?" Пациент один.
Вадим Анатольевич аватар
26.02.2011 - 00:07
 Прошу помощи!!! Коллеги!! Б-я  38лет- температура 37-38 два дня,6 дней –норма.При осмотре видны расширенные вены ПРАВОГО предплечья и ПРАВОГО плеча(с-м верхней полой вены????)На КТ-гр....
Popovpavel аватар
25.02.2011 - 22:19
изображение с сайта www.radiomed.ru
Загрузил файлы на DICOM сервер, за номером 20110224.Пациентка пришла на КТ легких с "верифицированным" саркоидозом... Впервые попала на КТ почти 2 года назад. С тех пор динамика в легких...
25.02.2011 - 21:05
изображение с сайта www.radiomed.ru
Уважаемые коллеги, большая просьба прокомментировать данные снимки. Есть ли где патология?
ЛГ аватар
25.02.2011 - 17:26
изображение с сайта www.radiomed.ru
Упала дома. Снимки из поликлиники вообще не читаемы. Госпитализирована с диагнозом: ушиб поясничного отдела.    
25.02.2011 - 15:04
 Проходя интернатуру решили создать цикл песен о врачах различного профиля. Но, к сожалению, на свет появилось только слово о рентгенологе.Видео снято на мобильный телефон. Без "косяков" конечно...