Клинические наблюдения

Опубликуйте свое собственное клиническое наблюдение!
18.09.2013 - 00:57
Не уговорил девушку отказаться от бесконтрастного исследования органов шеи.Жалобы на периодические вздутия в области шеи сзади слева (на момент исследования все выглядит симметрично). Может, я...
16.12.2013 - 17:56
изображение с сайта www.radiomed.ru
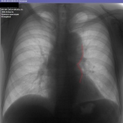
ребёнок 5 месяцев, находится в инфекц. отделении с д.з ОРВИ, клинически практически здоров, что это может быть, неврогенная опухоль?
18.01.2014 - 12:49
изображение с сайта www.radiomed.ru
Пришел пациент лечиться с правосторонней пневмонией, а на контроле оказалось, что пневмония левосторонняя. И все слышали хрипы справа в области лопатки Первый снимок не маркирован, вот про...
22.01.2014 - 10:37
изображение с сайта www.radiomed.ru
75 лет. Нарастающие боли в грудной клетке в течение 3х месяцев - со слов больного. Сейчас боль постоянная. Температуры небыло. Кашля нет. Беспокоит боль и слабость.DICOM здесь http://files.mail.ru/...
29.01.2014 - 22:29
изображение с сайта www.radiomed.ru
Здравствуйте! Какие ваши мысли по поводу этого снимка. Мужчина 75 лет. Находится на лечении в хирургическом отделении с диагнозом: "сухая гангрена правой стопы". Tbc отрицает. Аускультативно дыхание...
NIL аватар
NIL
17.02.2014 - 17:01
изображение с сайта www.radiomed.ru
Женщина,1978 г.р. В 2002 г. оперирована по поводу C-r щитовидной железы.Флюорография в феврале 2012 г. - норма. Жалоб не предъявляет. Дообследование после флюорографии 14.02.2014. Данные...
07.05.2014 - 18:41
изображение с сайта www.radiomed.ru
пациент 1958 г. р. в 2006 оперирован аортокоранарное шунтирование. интересуют дополнительные тени в перикарде и средостении. по плотности жидкостные. выпот? почему тогда так расположен. извините за...
08.06.2014 - 02:08
изображение с сайта www.radiomed.ru
 Очень интересует мнение коллег. Как вы считаете, к какой  группе  принадлежат  эти лимфоузлы? (расположены сразу ниже уровня бифуркации, у передней стенки главных бронхов) -...
09.07.2014 - 11:28
изображение с сайта www.radiomed.ru
Профилактическая флюорографияпредставленные снимки 2013 и 2014 гг.Можно ли считать дугу аорты расширенной?(похоже на аневризму? или норма?)
10.09.2014 - 06:24
изображение с сайта www.radiomed.ru
Пациент 1957 г.р. Может быть это коарктацией?  
30.09.2014 - 17:53
изображение с сайта www.radiomed.ru
Мужчина 67 лет жалоб нет готовится к операции по поводу аденомы простатыаортальная конфигурация или корень???