Вы здесь

Ваше мнение.

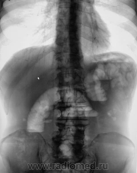
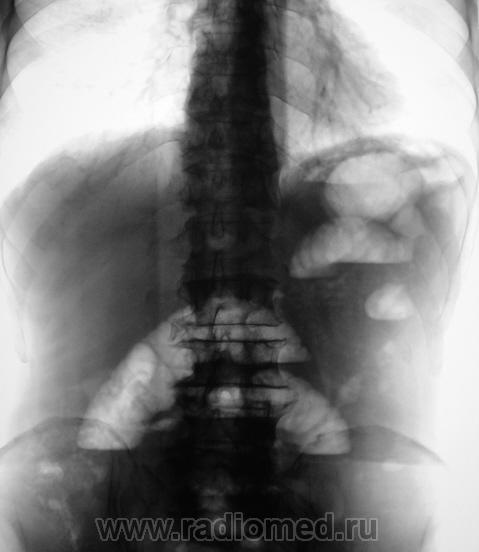
Промежуток между снимками - 5 минут. Направлен хирургом для рентгенографии брюшной полости. Диагноз при направлении - "Острый живот".

ИзображениеИзображение

Ваше мнение коллеги?

v1tal аватар
Не на сайте
Был на сайте: 4 года 11 месяцев назад
Зарегистрирован: 07.06.2008 - 19:41
Публикации: 1779

Признаки толсто-кишечной непроходимости, а почему интервал 5 минут?

"Знаешь, у некоторых врачей есть комплекс мессии — им необходимо спасать мир. А у тебя комплекс Рубика — тебе необходимо решать головоломки."

Nela аватар
Не на сайте
Был на сайте: 6 лет 2 месяцев назад
Зарегистрирован: 12.05.2009 - 20:43
Публикации: 1847

Согласна. Видны арки или дуги. Намечается симптом пружины.

Анатолий Владимирович Шумаков аватар
Не на сайте
Был на сайте: 7 лет 11 месяцев назад
Зарегистрирован: 16.10.2009 - 21:16
Публикации: 1941

Признаки дистальной механической тонкокишечной непроходимости, свободный газ под левым куполом диафрагмы с уровнями жидкости в свободной брюшной полости - признак перфорации кишечника. Вероятно новообразование. Пациента необходимо срочно передавать хирургам.

Наталия аватар
Не на сайте
Был на сайте: 8 лет 9 месяцев назад
Зарегистрирован: 30.07.2008 - 13:24
Публикации: 538

Я не вижу свободного газа в брюшной полости.

Анатолий Владимирович Шумаков аватар
Не на сайте
Был на сайте: 7 лет 11 месяцев назад
Зарегистрирован: 16.10.2009 - 21:16
Публикации: 1941

Уважаемый Валентин Львович!

Возможно уже стал известен диагноз после операции? С нетерпением ждем...

 

 

Катенёв Валентин Львович аватар
Не на сайте
Был на сайте: 7 лет 2 месяцев назад
Зарегистрирован: 22.03.2008 - 22:15
Публикации: 54876

Пока не знаю. Просто сегодня "закрутился".

Катенёв Валентин Львович аватар
Не на сайте
Был на сайте: 7 лет 2 месяцев назад
Зарегистрирован: 22.03.2008 - 22:15
Публикации: 54876

v1tal: "а почему интервал 5 минут?".

Было подозрение на наличие "свободного" газа под левым куполом диафрагмы. Положили на левый бок, предполагая, что "свободный газ" переместится под правый купол. Вот, и объяснение наличия второго снимка.

Анатолий Владимирович Шумаков аватар
Не на сайте
Был на сайте: 7 лет 11 месяцев назад
Зарегистрирован: 16.10.2009 - 21:16
Публикации: 1941

Важный дифференциальный признак механической и паретической непроходимости  - стабильность картины на снимке через 5 минут при паретической непроходимости, и нестабильность (как в данном случае) при механической. Так что "Убивали двух зайцев".