Травма №1.

Пол пациента: 
Тип патологии: 
Область исследования: 
Методы исследования: 

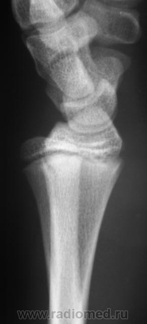
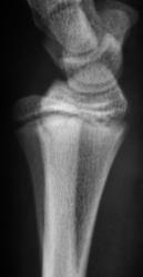
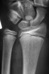
Пациент направлен врачом хирургом в рентгеновский кабинет для рентгенографии лучезапястного сустава. Произведено стандартное исследование. Ваше мнение уважаемые коллеги?

ИзображениеИзображениеИзображение

114._TR..jpg
114._TR..jpg
ВложениеРазмер
Иконка изображения 114._TR..jpg72.62 КБ
Иринка аватар
Не на сайте
Был на сайте: 11 лет 6 месяцев назад
Зарегистрирован: 16.11.2009 - 22:14
Публикации: 190

Продольный перелом лучевой кости.

Анатолий Владимирович Шумаков аватар
Не на сайте
Был на сайте: 7 лет 11 месяцев назад
Зарегистрирован: 16.10.2009 - 21:16
Публикации: 1941

Перелом - эпифезиолиз и продольная трещина в луче, смешение периферического фрагмента к тылу на приблизительно 20 градусов

Наталия аватар
Не на сайте
Был на сайте: 8 лет 8 месяцев назад
Зарегистрирован: 30.07.2008 - 13:24
Публикации: 538

А как Вы считаете градусы по снимкам?

Vega аватар
Не на сайте
Был на сайте: 1 месяц 5 дней назад
Зарегистрирован: 22.01.2009 - 19:16
Публикации: 1087

Перелом луча без смещения. А вообще - головка локтевой кости смущает... или полупроекция?... Доснять бы в/3 предплечья - возможно повреждение Галеацци

Анатолий Владимирович Шумаков аватар
Не на сайте
Был на сайте: 7 лет 11 месяцев назад
Зарегистрирован: 16.10.2009 - 21:16
Публикации: 1941

Ув. Наталия!

В руководстве Линденбратена Л.Д. (Методика изучения рентгеновских снимков, М. Медицина 1971 стр 322) указана нормальная величина углов между осью и суставной поверхностью лучевой кости в прямой и боковой проекциях. В прямой проекции угол около 68 а в боковой - 82 градуса открытый в ладонную сторону.

В руководстве  Interpreting Trauma Radiographs Jonatan McConell et al. Blackwell Publishing 2005 p. 130 говорится о нормальном угле в боковой проекции в 10 -15 градусов. В представленном наблюдении угол составляет около 95-98 градусов (транспортира под рукой не оказалось), что говорит об угловом смещении периферического фрагмента к тылу на угол от  16 до 23 градусов.