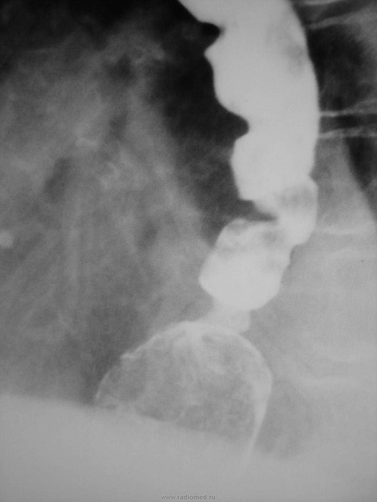
Пациентка 80 лет направлена на рентгеноскопическое исследование пищевода и желудка. 3 дня не может есть, т.к. даже при проглатывании воды возникает рвота.
Конечно думаю об "органике" + отсутствие газового пузыря желудка + по всей видимости, остатки пищи в дистальном расширенном отделе пищевода + перистальтические волны по контуру пищевода, который трудится, чтобы протолкнуть "содержимое" дистальнее, но без эффекта + отсутствие типичного рельефа обдоминального отдела пищевода. Снимки сделаны в положении стоя?
Случай этот несколько комичный. На исследование прибежал хирург,увидел эту картинку, безаппеляционно заявил, что расширение в н/3 пищевода-это застрявшая котлета и забрал пациентку на ФГДС,проталкивать котлету. Мы переглянулись, но спорить не стали. Когда же на ФГДС котлетки не нашлось,опять прислали к нам, причем эндоскопист опять пишет , что все без патологии, все розовое и хорошо проходимо, а кардия вообще не смыкается и теперь мне ломать над этим голову. Сейчас выставлю сегодняшние снимки.
С учетом того, что на ряде снимков "пищевод в гармошку", вроде-бы, как-бы и удлинен, следовательно, имеет место пролабирование части желудка в грудную полость.
Ваша Заморочка одна из самых крутых, Иринка. Эндоскопист, получается, смотрел дважды? Он неВ новичок?
Продолжайте наблюдение за объектом
Здравствуйте ,Петрович! Эндоскопист- почтенный дядечка, но инородного тела не нашел.Два раза смотрела я, эндоскопист написал без патологии и к нему никто не пристает больше. Вам смешно, а мне заключение писать.)))) А Вы что думаете по данной картинке?
Ух, какие интересные снимочки, уважаемыя Иринка спасибки за случай, есть повспомнить чаво старого. Коллеги, а на последнем снимочке тритичные сокращения пищевода? Демонстрационные снимочки следует дифференцировать с ахалазией кардией и спазмом пищеводно-желудочного перехода. Как таковой "органики" в данном случае нет, кстати и грыжи пищеводного отверстия диафрагмы тоже нет, субкардия чётко просматривается, кардия ни куда не смещается. Я бы подумал о спазме!!!!!!
"Знаешь, у некоторых врачей есть комплекс мессии — им необходимо спасать мир. А у тебя комплекс Рубика — тебе необходимо решать головоломки."
Анатолий Владимирович, я конечно понимаю, что всё новое это забытое старое, но как то у меня не увязывается одна вещь когда мой учитель сказал по поводу Фанарджана, что данная книга является подставкой. Как то менее вероятно это похоже даже на функциональные дивертикулы.
"Знаешь, у некоторых врачей есть комплекс мессии — им необходимо спасать мир. А у тебя комплекс Рубика — тебе необходимо решать головоломки."
Иначе это называется: штопорообразный пищевод, поэтажный спазм, а грамотное академичное название - распространенные и выраженные третичные сокращения пищевода. Это не дивертикулы а "невроз" - нарушения тонуса и моторики пищевода... Этиология вроде неизвестна...
С прошлой ночи до сегодняшней radiomed.ru был мне недоступен, поэтому отвечаю Иринке с опозданием.
Иринка wrote:
Еще мысли об ахалазии,но при ней пищевод должен быть равномерно расширен и об псевдодивертикулярном синдроме.
Ахалазия не катит: стойкое расширение на небольшом участке. И само расширение – веретенообразное. О псевдодивертикулярном синдроме,…возможно, Вы имеете в виду сегментирующую перистальтику?
Мне представляется вероятным такой сценарий. Бабуля, Божий Одуванчик положила в рот очищенное сваренное вкрутую яичко, намереваясь его разжевать, но чем-то отвлеклась или прилегла на спину, яичко переместилось в ротоглотку, далее рефлекторный глоток… и мы имеем проблему. Если у неё голова знакома с Альцгеймером (просил уточнить), могла и забыть тот эпизод. Далее эндоскопист теоретически мог принять один из сегментов спастического сокращения пищевода за кардию. Он в желудок то проникал или нет? Если эндоскоп прошёл – то откуда клиника непроходимости пищевода? Не мог ли он из «вредности» усложнить жизнь хирургу, а заодно и Вам?
Все позднейшие рассуждения на тему поэтажного спазма пищевода не объясняют стойкого веретенообразного расширения его над кардией и наличия в расширении «чего-то» препятствующего тугому заполнению тяжёлым контрастом. На мой взгляд сегментирующая перистальтика – ответ организма на наличие этого «чего-то», что не может пройти через кардию
Предлагаю радикальное решение проблемы (если ещё не поздно): эндоскопист, утверждающий, что кардия зияет, прямо в рентген-кабинете вводит гастроскоп в желудок, а ваша служба делает снимок, а лучше два. Лучшего дифференциально-диагностического теста без вскрытия грудной полости не придумать. Со спазмом пищевода бороться можно и без участия хирурга. Но если препятствие прохождению бария – органическое, придётся его позвать.
"Анатолий Владимирович, я конечно понимаю, что всё новое это забытое старое, но как то у меня не увязывается одна вещь когда мой учитель сказал по поводу Фанарджана, что данная книга является подставкой."
Уважаемый коллега! Ваш учитель, по всей видимости, весьма достойный человек, сильно не прав, а возможно, ему не давало покоя, то, что "закономерность", названная "по имени" глубоко - и многоуважаемого Варфаламея Артемьевича существовала, если мне не изменяет память, с середины 30 -40 годов, а вот, закономерности или "авторского названия" Вашего учителя нет.
1. Должен заметить, что первая монография В.А. Фанарджяна, в частности, посвященная рентгенодиагностике язвенной болезни. вышла, именно, в середине 30 - 40 годов, когда монографических источников, по рентгенодиагностике данного страдания, не было. Память, конечно, может подвести, но тогда автор был еще доцентом, а не профессором. И честь и хвала В.А. Фанарджяну, что им была подмечена "закономерность" деформации луковицы 12-ти перстной кишки в зависимости от локализации язв луковицы.
2. Многие рентгенологи старшего поколения, которым пришлось, заниматься именно "классической рентгеноскопией", т.е., именно в "полной темноте", да еще на аппаратах типа УРДд - 110, весьма оценили "эту закономерность", описанную В.А. Фанарджяном, так как видно на экране было весьма проблемно, особенно у "средних" и "тучных" пациентов, а получаемые "прицельные" рентгенограммы" были еще более проблемны, А "ЗАКОНОМЕРНОСТЬ" ПОМОГАЛА, И НЕ ХИЛО. Уже за одну "закономерность", имя указанного ученого заслуживает уважения.
3. В конце 60, начале 70 годов прошлого столетия, сначала однотомником, затем двумя томами. под авторством - В.А. Фанарджяна, было издано фундаментальное руководство посвященное рентгенодиагностике заболеваний пищеварительной системы, и каждый "рентгенолог практик" считал необходимым иметь это фундаментальное руководство в своей библиотеке. На то время ничего подобного не было, хотя появилась монография Ю.Н. Соколова, посвященная исследованию рельифа слизистой оболочки, была написана Иосифом Львовичем Тагером монография, посвященная исследованию пищеварительной системы, были и отдельные монотематические издания Когана. Но фундамент, именно на то время был один - ФАНАРДЖЯН. Конечно, и тогда находились критики (но эти критики не предложили ничего "своего"), в частности, по поводу "рентгенодиагностики хронического аппендицита", но справедливости ради, необходимо отметить, что описанные признаки, работают и до настоящего времени.
Итак, имеем уже три книги - монографии.
4. В последствии, вышла довольно фундаментальная монография - авторы проф. Фанарджян и доц. Сагателян, посвященная отдельным вопросам рентгенодиагностики заболеваний пищеварительной ссистемы. Довольно хорошая монография (хорошо было-бы помнить время выпуска, а то так можно и Немёнова и Ассмана подвергнуть критике - время прошло, новые взгляды. А может быть и не новые.)
Итак, имеем уже четыре книги - монографии.
5. Необходимо отметить, что было также "руководство" по общей рентгенодиагностике - автор В.А. Фанарджян.
Итак, имеем уже пять книг - монографий.
Речи нет об статьях, которые были написаны в научных журналах, и в частности в "Вестник рентгенологии и радиологии".
Чегой-то, получается весьма большая подставка (из пяти монографий, и это только, то, что известно мне). Нет, не прав был Ваш учитель. Но - это не к Вам, это к Вашему учителю.
Впечатление о спастическом сокращении пищевода( штопорообразный пищевод), так как на серии снимков контуры стенок пищевода все-таки меняются( сохранена эластичность стенок);поэтому эндоскопист и не нашёл органических изменений со стороны пищевода.
Извените , что отвечаю с опозданием, сайт был недоступен, а потом подготовка к Новому году.... Спасибо за обсуждение, всех с праздником!!! Валентин Львович, первый снимок стоя ,остальные лежа. Уважаемый Петрович, бабушке по уточненным данным 89 лет,зубов нет,но живет она в семье под присмотром, факт поедания котлет они и не скрывают, но чтобы эндоскопист не увидел котлету или яйцо-это, наверное слишком. По данным ФГДС пищевод проходим со следами бария на стенках, кардия полностью не смыкается, желудок и 12-п.кишка без особенностей. В кабинет эндоскопист я думаю не придет, т.к больных он вообще смотрит в поликлинике, а в отделение приходит только к тяжелым. В заключении остановилась на синдроме Барсони(штопорообразный пищевод). Бабушке,кстати, после "мучений" в рентгенкабинете полегчало, стала понемногу есть, на праздники ушла домой)))
Все становится понятным. В результате инволютивных изменений, наступило "возрастное" снижение тонуса диафрагмы, вторично расширилось пищеводное отверстие диафрагмы, образовалась грыжа пищеводного отверстия диафрагмы, с пролабированием довольно значительной части желудка в грудную полость - желтые стрелки, в которой, а дистальной части её (грыжи) скапливалось значительное количество механически недостаточно размельченной пищи - красные стрелки.
По всей видимости, в результате переполнения этого грыжевого мешка "пищевым шанкром" и пищеварительными "соками", в ортоположении происходило "заваливание" переполненной грыжи на диафрагму - красные стрелки. Скопившиеся в ней (грыже) пищеварительные массы - зеленые стрелки способствовали еще большему переполнению - "заваливанию", создавая, как следствие, формирование некоторого "перегиба" - синие стрелки, что безусловно препятствовало, при всех вышеперечисленных факторах продвижению контраста дистально.
Следовательно, НИ О КАКОМ ШТОПОРООБРАЗНОМ ПИЩЕВОДЕ, ДИвЕРТИКУЛАХ ПИЩЕВОДА, НЕВРОЗЕ ПИЩЕВОДА ГОВОРИТЬ НЕ ПРИХОДИТСЯ. В результате пролабирования части желудка в грудную полость возникло " искусственное удлинение" пищеварительной трубки в грудной полости - пищевод + часть желудка. Возт пищевод и вынужден был "собраться в гармошку". А с учетом инволютивного снижения тонуса пищеварительной трубки - вот и компонента расширения просвета его. А если, учесть постоянное "забивание" пищевыми массами, то и хроническое приспособительное расширение пищевода вполне объяснимо.
Случай ,конечно, интересный, я такую картинку первый раз вижу. Хорошее предложение Петровича посмотреть вместе с эндоскопистом, если он, входя в выпячивание видит желудок,тогда понятно его закл." Недостаточность кардии" и это действительно грыжа, но почему он не видит следующего сужения, ведь оно довольно протяженное?
Доброй ночи! Извините за позднюю дискуссию, но при осевой грыже должна быть кардиальная зарубка или кольцо в месте переходо пищевода в кардию, а здесь ее не видно. Примеры зарубки на снимках
Конечно, теоретически, может быть и ампула. Но у лиц преклонного возраста, а пациент весьма преклонного возраста, "классика" довольно часто нивелируется.
С Добрым Утром Нового Года всё сообщество radiomed.ru!
Я, как и коллеги v1tal и Анатолий Шумаков, не усматриваю здесь фиксированной грыжи ПОД. На рентгенограммах 4 и 6 складки между ампулообразным расширением над куполом диафрагмы и сводом желудка (под куполом) ну совершенно типично пищеводные. Остатки измельчённой пищи при заполнении пищевода тяжёлым контрастом закономерно должны были всплыть, как это бывает при ахалазии пищевода, но проблематично всплыть крупному пищевому комку: мешает спазм вышележащих отделов. Отсюда вытекает ещё один дифференциально-диагностический приём (а может быть и лечебный): заполнять пищевод барием после его релаксации.
Иринка, если эта бабуля вновь поступит к Вам с той же клиникой, убедите хирурга, что снимок с гастроскопом в желудке (и пусть дойдёт до привратника) совершенно необходим, чтоб ему достойно предстать перед патологоанатомом, а бабуле перед Господом. Если не сумеете, попробуйте второй приём.
"Иринка, если эта бабуля вновь поступит к Вам с той же клиникой, убедите хирурга, что снимок с гастроскопом в желудке (и пусть дойдёт до привратника) совершенно необходим, чтоб ему достойно предстать перед патологоанатомом, а бабуле перед Господом."
Браво Петрович!
Порой Ваша "ядовитость" весьма рациональна и заставляет задуматься именно о "рациональности действий".
Большая просьба - не обижайтесь за термин "ядовитость". Это в разумном и хорошем понятии.
Анатолий Владимирович,спасибо за статью! В данном случае наддиафрагмальное расширение стойкое,не исчезало ни при вдохе ни при выдохе и в общем-то не менялось в процессе исследования, контраст в нем и его форма сохранялись через сутки после исследования.
Уважаемый Петрович, боюсь, чт если бабушка поступит еще раз , то ей наложат гастростому, тогда видимо и будет окончательный диагноз!
Анатолий Владимирович,спасибо за статью! В данном случае наддиафрагмальное расширение стойкое,не исчезало ни при вдохе ни при выдохе и в общем-то не менялось в процессе исследования, контраст в нем и его форма сохранялись через сутки после исследования.
Уважаемый Петрович, боюсь, чт если бабушка поступит еще раз , то ей наложат гастростому, тогда видимо и будет окончательный диагноз!
2.Так потому и не менялось, наверное, стойкое наддиафрагмальное расширение в процессе исследования, что в просвете пищевода здесь стойко присутствовала некая субстанция.
3.Иринка, поясните: кто приговорил бабушку к гастростоме? Ваш вердикт – синдром Барсони (штопорообразный пищевод) – непостоянное функциональное нарушение. По данным ФГДС пищевод проходим со следами бария на стенках, кардия полностью не смыкается. И зачем, скажите, ей живот резать? Возможно, хирург держится того же мнения, что и я? Но и в этом случае зачем начинать с большего зла, когда в запасе есть меньшее (снимок с гастроскопом в желудке)?
«В кабинет эндоскопист я думаю не придет, т.к. больных он вообще смотрит в поликлинике, а в отделение приходит только к тяжелым».
Если старушка тяжёлая – он приходит к ней, а она в это время в рентгенкабинете стационара (время согласовать!), если ходячая – встреча в рентгенкабинете поликлиники. И не забывайте про своё оружие: №1 Женское Обаяние, №2 Женские Слёзы – самое страшное (это, в крайнем случае).
Уважаемый Петрович,перейдете по ссылке Анатолия Владимировичаи, прокрутите колесико вниз, там сразу и идет статья. По поводу гастростомы: если бабушка поступит,то поступит потому что не сможет есть, а хирурги не могут дать ей умереть голодной смертью. В общем, если поступит придется пустить в ход все свое оружие.
Валентин Львович, в том то и дело, что "первая монография В.А. Фанарджяна" -должен заметить, что в те времена, это было весомым подспорием, я пролистывал его издания, и могу сказать, что Антонович В.Б. Рентгенодиагностика заболеваний пищевода, жедудка, кишечника и Коган, Тагер всё это более информативно, грамотно изложено.
"Знаешь, у некоторых врачей есть комплекс мессии — им необходимо спасать мир. А у тебя комплекс Рубика — тебе необходимо решать головоломки."
Да дело совсем не в том, не В.А. Фанарджяне, дело даже не в Вас и не во мне. Дело в том, что некоторые из наших учителей (очень не люблю обсуждать учителей, я им только благодарен и признателен им безгранично) любили среди учеников сказать - "И какой это д... такое написал?" или "Да мало-ли, что там в учебнике, я Вам на лекции давал - так-то и так-то". Но эти мелочи, конечно, должны прощаться НАШИМ УЧИТЕЛЯМ (ибо у них на кафедрах и в институтах шли не шуточные бои за "выживание"). Но их "словеса", порой, как семена, попадали на благодатную почву - на их учеников, и в таких случаях молодые, неокрепшие души деформировались, ибо видели, что проф. зав. кафедрой и пр. может себе "даже такое позволить", следовательно, чтобы иметь вседозволенность в высказываниях, а порой и в действиях, надо стать "проф.", "зав" и пр.
А дистальнее представленного, контрастирования не было?
Здравсвуйте, Валентин Львович! Ну Вы же любите заковырки всякие. В первый день дистальнее контрастировать не удалось. О чем бы Вы подумали?
Конечно думаю об "органике" + отсутствие газового пузыря желудка + по всей видимости, остатки пищи в дистальном расширенном отделе пищевода + перистальтические волны по контуру пищевода, который трудится, чтобы протолкнуть "содержимое" дистальнее, но без эффекта + отсутствие типичного рельефа обдоминального отдела пищевода. Снимки сделаны в положении стоя?
Но Вы пишете, что - "В первый день дистальнее контрастировать не удалось".
Надо думать, что удалось контрастировать потом? Фармако-пробу - не пробовали?
Случай этот несколько комичный. На исследование прибежал хирург,увидел эту картинку, безаппеляционно заявил, что расширение в н/3 пищевода-это застрявшая котлета и забрал пациентку на ФГДС,проталкивать котлету. Мы переглянулись, но спорить не стали. Когда же на ФГДС котлетки не нашлось,опять прислали к нам, причем эндоскопист опять пишет , что все без патологии, все розовое и хорошо проходимо, а кардия вообще не смыкается и теперь мне ломать над этим голову. Сейчас выставлю сегодняшние снимки.
Похоже на «инородное тело» овоидной формы, негладкое. Как у неё с головой, у старушки этой?
Держите нас в курсе дальнейших событий, Иринка.
Неоднозначно всё
Пдсказка, наверное, в возрасте -80 лет, зубов стало быть нет, вот и имеется т.н. "мясной завал"? Или что поинтересней?
Болезни ног: виды, симптомы, причины, профилактика и лечение
Фармакопробу не делали,попробовали дать шипучку, бабушка конечно проглотить её не смогла, но зато контраст прошел)))
С учетом того, что на ряде снимков "пищевод в гармошку", вроде-бы, как-бы и удлинен, следовательно, имеет место пролабирование части желудка в грудную полость.
Ваша Заморочка одна из самых крутых, Иринка. Эндоскопист, получается, смотрел дважды? Он не новичок?
Продолжайте наблюдение за объектом.
Неоднозначно всё
Меня смущает сужение над расширением, не может это быть ущемленной грыжей желудка???
Есть понятие фиксированной грыжи ПОД. Об ущемлённых не слышал. Сужения над расширением нет: посмотрите первые снимки.
Неоднозначно всё
Ваша Заморочка одна из самых крутых, Иринка. Эндоскопист, получается, смотрел дважды? Он неВ новичок?
Здравствуйте ,Петрович! Эндоскопист- почтенный дядечка, но инородного тела не нашел.Два раза смотрела я, эндоскопист написал без патологии и к нему никто не пристает больше. Вам смешно, а мне заключение писать.
)))) А Вы что думаете по данной картинке?
Ангел мой! Свои соображения я изложил выше новых идей, увы не появилось. А Вы свои мысли скрыли… высказывайте гипотезу обсудим.
Неоднозначно всё
Еще мысли об ахалазии,но при ней пищевод должен быть равномерно расширен и об псевдодивертикулярном синдроме.
Вот эта "заморочка", по всей видимости, еще связана с возрастной, относительной гипотонией пищеварительной трубки?
Ух, какие интересные снимочки, уважаемыя Иринка спасибки за случай, есть повспомнить чаво старого. Коллеги, а на последнем снимочке тритичные сокращения пищевода? Демонстрационные снимочки следует дифференцировать с ахалазией кардией и спазмом пищеводно-желудочного перехода. Как таковой "органики" в данном случае нет, кстати и грыжи пищеводного отверстия диафрагмы тоже нет, субкардия чётко просматривается, кардия ни куда не смещается. Я бы подумал о спазме!!!!!!
"Знаешь, у некоторых врачей есть комплекс мессии — им необходимо спасать мир. А у тебя комплекс Рубика — тебе необходимо решать головоломки."
Баршоня — Тешендорфа синдром (Th. Bársony, 1887—1942, венгерский рентгенолог; W. Teschendorf, нем. рентгенолог XX в.; син.: дивертикулы пищевода множественные ложные, дивертикулы пищевода множественные функциональные, пищевод извитой, пищевод четкообразный, пищевод штопорообразный) — болезнь пищевода неизвестной этиологии, характеризующаяся спастическим сокращением его циркулярных мышц, что придает пищеводу четкообразный вид на рентгенограмме; клинически проявляется непостоянной дисфагией и загрудинными болями.
Анатолий Владимирович, а нет ли у этого состояния еще и названия "невроз пищевода", или это другое ?....
Болезни ног: виды, симптомы, причины, профилактика и лечение
Анатолий Владимирович, я конечно понимаю, что всё новое это забытое старое, но как то у меня не увязывается одна вещь когда мой учитель сказал по поводу Фанарджана, что данная книга является подставкой. Как то менее вероятно это похоже даже на функциональные дивертикулы.
"Знаешь, у некоторых врачей есть комплекс мессии — им необходимо спасать мир. А у тебя комплекс Рубика — тебе необходимо решать головоломки."
Иначе это называется: штопорообразный пищевод, поэтажный спазм, а грамотное академичное название - распространенные и выраженные третичные сокращения пищевода. Это не дивертикулы а "невроз" - нарушения тонуса и моторики пищевода... Этиология вроде неизвестна...
С прошлой ночи до сегодняшней radiomed.ru был мне недоступен, поэтому отвечаю Иринке с опозданием.
Ахалазия не катит: стойкое расширение на небольшом участке. И само расширение – веретенообразное. О псевдодивертикулярном синдроме,…возможно, Вы имеете в виду сегментирующую перистальтику?
Мне представляется вероятным такой сценарий. Бабуля, Божий Одуванчик положила в рот очищенное сваренное вкрутую яичко, намереваясь его разжевать, но чем-то отвлеклась или прилегла на спину, яичко переместилось в ротоглотку, далее рефлекторный глоток… и мы имеем проблему. Если у неё голова знакома с Альцгеймером (просил уточнить), могла и забыть тот эпизод. Далее эндоскопист теоретически мог принять один из сегментов спастического сокращения пищевода за кардию. Он в желудок то проникал или нет? Если эндоскоп прошёл – то откуда клиника непроходимости пищевода? Не мог ли он из «вредности» усложнить жизнь хирургу, а заодно и Вам?
Все позднейшие рассуждения на тему поэтажного спазма пищевода не объясняют стойкого веретенообразного расширения его над кардией и наличия в расширении «чего-то» препятствующего тугому заполнению тяжёлым контрастом. На мой взгляд сегментирующая перистальтика – ответ организма на наличие этого «чего-то», что не может пройти через кардию
Предлагаю радикальное решение проблемы (если ещё не поздно): эндоскопист, утверждающий, что кардия зияет, прямо в рентген-кабинете вводит гастроскоп в желудок, а ваша служба делает снимок, а лучше два. Лучшего дифференциально-диагностического теста без вскрытия грудной полости не придумать. Со спазмом пищевода бороться можно и без участия хирурга. Но если препятствие прохождению бария – органическое, придётся его позвать.
Неоднозначно всё
Виктор Григорьевич: "Анатолий Владимирович, а нет ли у этого состояния еще и названия "невроз пищевода", или это другое ?.."
Да. Варфаламей Артемьевич Фанарджян, расценивал наличие такой "картинки", а также наличие "третичных" сокращений пищевода, как "невроз пищевода".
Вопрос к автору случая. В каком положении (лежа / стоя) были сделаны снимки.
v1tal:
"Анатолий Владимирович, я конечно понимаю, что всё новое это забытое старое, но как то у меня не увязывается одна вещь когда мой учитель сказал по поводу Фанарджана, что данная книга является подставкой."
Уважаемый коллега! Ваш учитель, по всей видимости, весьма достойный человек, сильно не прав, а возможно, ему не давало покоя, то, что "закономерность", названная "по имени" глубоко - и многоуважаемого Варфаламея Артемьевича существовала, если мне не изменяет память, с середины 30 -40 годов, а вот, закономерности или "авторского названия" Вашего учителя нет.
1. Должен заметить, что первая монография В.А. Фанарджяна, в частности, посвященная рентгенодиагностике язвенной болезни. вышла, именно, в середине 30 - 40 годов, когда монографических источников, по рентгенодиагностике данного страдания, не было. Память, конечно, может подвести, но тогда автор был еще доцентом, а не профессором. И честь и хвала В.А. Фанарджяну, что им была подмечена "закономерность" деформации луковицы 12-ти перстной кишки в зависимости от локализации язв луковицы.
2. Многие рентгенологи старшего поколения, которым пришлось, заниматься именно "классической рентгеноскопией", т.е., именно в "полной темноте", да еще на аппаратах типа УРДд - 110, весьма оценили "эту закономерность", описанную В.А. Фанарджяном, так как видно на экране было весьма проблемно, особенно у "средних" и "тучных" пациентов, а получаемые "прицельные" рентгенограммы" были еще более проблемны, А "ЗАКОНОМЕРНОСТЬ" ПОМОГАЛА, И НЕ ХИЛО. Уже за одну "закономерность", имя указанного ученого заслуживает уважения.
Итак, есть одна книга - монография.
3. В конце 60, начале 70 годов прошлого столетия, сначала однотомником, затем двумя томами. под авторством - В.А. Фанарджяна, было издано фундаментальное руководство посвященное рентгенодиагностике заболеваний пищеварительной системы, и каждый "рентгенолог практик" считал необходимым иметь это фундаментальное руководство в своей библиотеке. На то время ничего подобного не было, хотя появилась монография Ю.Н. Соколова, посвященная исследованию рельифа слизистой оболочки, была написана Иосифом Львовичем Тагером монография, посвященная исследованию пищеварительной системы, были и отдельные монотематические издания Когана. Но фундамент, именно на то время был один - ФАНАРДЖЯН. Конечно, и тогда находились критики (но эти критики не предложили ничего "своего"), в частности, по поводу "рентгенодиагностики хронического аппендицита", но справедливости ради, необходимо отметить, что описанные признаки, работают и до настоящего времени.
Итак, имеем уже три книги - монографии.
4. В последствии, вышла довольно фундаментальная монография - авторы проф. Фанарджян и доц. Сагателян, посвященная отдельным вопросам рентгенодиагностики заболеваний пищеварительной ссистемы. Довольно хорошая монография (хорошо было-бы помнить время выпуска, а то так можно и Немёнова и Ассмана подвергнуть критике - время прошло, новые взгляды. А может быть и не новые.)
Итак, имеем уже четыре книги - монографии.
5. Необходимо отметить, что было также "руководство" по общей рентгенодиагностике - автор В.А. Фанарджян.
Итак, имеем уже пять книг - монографий.
Речи нет об статьях, которые были написаны в научных журналах, и в частности в "Вестник рентгенологии и радиологии".
Чегой-то, получается весьма большая подставка (из пяти монографий, и это только, то, что известно мне). Нет, не прав был Ваш учитель. Но - это не к Вам, это к Вашему учителю.
А к Вам - неизменные симпатии и уважение.
Впечатление о спастическом сокращении пищевода( штопорообразный пищевод), так как на серии снимков контуры стенок пищевода все-таки меняются( сохранена эластичность стенок);поэтому эндоскопист и не нашёл органических изменений со стороны пищевода.
Извените , что отвечаю с опозданием, сайт был недоступен, а потом подготовка к Новому году.... Спасибо за обсуждение, всех с праздником!!! Валентин Львович, первый снимок стоя ,остальные лежа. Уважаемый Петрович, бабушке по уточненным данным 89 лет,зубов нет,но живет она в семье под присмотром, факт поедания котлет они и не скрывают, но чтобы эндоскопист не увидел котлету или яйцо-это, наверное слишком. По данным ФГДС пищевод проходим со следами бария на стенках, кардия полностью не смыкается, желудок и 12-п.кишка без особенностей. В кабинет эндоскопист я думаю не придет, т.к больных он вообще смотрит в поликлинике, а в отделение приходит только к тяжелым. В заключении остановилась на синдроме Барсони(штопорообразный пищевод). Бабушке,кстати, после "мучений" в рентгенкабинете полегчало, стала понемногу есть, на праздники ушла домой)))
Иринка: "первый снимок стоя ,остальные лежа."
Все становится понятным. В результате инволютивных изменений, наступило "возрастное" снижение тонуса диафрагмы, вторично расширилось пищеводное отверстие диафрагмы, образовалась грыжа пищеводного отверстия диафрагмы, с пролабированием довольно значительной части желудка в грудную полость - желтые стрелки, в которой, а дистальной части её (грыжи) скапливалось значительное количество механически недостаточно размельченной пищи - красные стрелки.
Спасибо,Валентин Львович, за мнение. С праздником Вас, всех благ в Новом году!
Вас также с праздником. Желаю Вам того, что Вы желаете себе!
Спасибо большое!!!
По всей видимости, в результате переполнения этого грыжевого мешка "пищевым шанкром" и пищеварительными "соками", в ортоположении происходило "заваливание" переполненной грыжи на диафрагму - красные стрелки. Скопившиеся в ней (грыже) пищеварительные массы - зеленые стрелки способствовали еще большему переполнению - "заваливанию", создавая, как следствие, формирование некоторого "перегиба" - синие стрелки, что безусловно препятствовало, при всех вышеперечисленных факторах продвижению контраста дистально.
Следовательно, НИ О КАКОМ ШТОПОРООБРАЗНОМ ПИЩЕВОДЕ, ДИвЕРТИКУЛАХ ПИЩЕВОДА, НЕВРОЗЕ ПИЩЕВОДА ГОВОРИТЬ НЕ ПРИХОДИТСЯ. В результате пролабирования части желудка в грудную полость возникло " искусственное удлинение" пищеварительной трубки в грудной полости - пищевод + часть желудка. Возт пищевод и вынужден был "собраться в гармошку". А с учетом инволютивного снижения тонуса пищеварительной трубки - вот и компонента расширения просвета его. А если, учесть постоянное "забивание" пищевыми массами, то и хроническое приспособительное расширение пищевода вполне объяснимо.
Случай ,конечно, интересный, я такую картинку первый раз вижу. Хорошее предложение Петровича посмотреть вместе с эндоскопистом, если он, входя в выпячивание видит желудок,тогда понятно его закл." Недостаточность кардии" и это действительно грыжа, но почему он не видит следующего сужения, ведь оно довольно протяженное?
Доброй ночи! Извините за позднюю дискуссию, но при осевой грыже должна быть кардиальная зарубка или кольцо в месте переходо пищевода в кардию, а здесь ее не видно. Примеры зарубки на снимках
Конечно, теоретически, может быть и ампула. Но у лиц преклонного возраста, а пациент весьма преклонного возраста, "классика" довольно часто нивелируется.
Порядок формирования ампулы пищевода
http://www.rusmedserver.ru/med/gastro/39.html
С Добрым Утром Нового Года всё сообщество radiomed.ru!
Я, как и коллеги v1tal и Анатолий Шумаков, не усматриваю здесь фиксированной грыжи ПОД. На рентгенограммах 4 и 6 складки между ампулообразным расширением над куполом диафрагмы и сводом желудка (под куполом) ну совершенно типично пищеводные. Остатки измельчённой пищи при заполнении пищевода тяжёлым контрастом закономерно должны были всплыть, как это бывает при ахалазии пищевода, но проблематично всплыть крупному пищевому комку: мешает спазм вышележащих отделов. Отсюда вытекает ещё один дифференциально-диагностический приём (а может быть и лечебный): заполнять пищевод барием после его релаксации.
Иринка, если эта бабуля вновь поступит к Вам с той же клиникой, убедите хирурга, что снимок с гастроскопом в желудке (и пусть дойдёт до привратника) совершенно необходим, чтоб ему достойно предстать перед патологоанатомом, а бабуле перед Господом. Если не сумеете, попробуйте второй приём.
Неоднозначно всё
Петрович:
"Иринка, если эта бабуля вновь поступит к Вам с той же клиникой, убедите хирурга, что снимок с гастроскопом в желудке (и пусть дойдёт до привратника) совершенно необходим, чтоб ему достойно предстать перед патологоанатомом, а бабуле перед Господом."
Браво Петрович!
Порой Ваша "ядовитость" весьма рациональна и заставляет задуматься именно о "рациональности действий".
Большая просьба - не обижайтесь за термин "ядовитость". Это в разумном и хорошем понятии.
Анатолий Владимирович,спасибо за статью! В данном случае наддиафрагмальное расширение стойкое,не исчезало ни при вдохе ни при выдохе и в общем-то не менялось в процессе исследования, контраст в нем и его форма сохранялись через сутки после исследования.
Уважаемый Петрович, боюсь, чт если бабушка поступит еще раз , то ей наложат гастростому, тогда видимо и будет окончательный диагноз!
1. Иринка, дайте, пожалуйста, точную ссылку на ту статью. http://www.rusmedserver.ru/med/gastro/39.html ведёт на рекламный сайт, где я нашёл только о грыжах межпозвонкового диска.
2. Так потому и не менялось, наверное, стойкое наддиафрагмальное расширение в процессе исследования, что в просвете пищевода здесь стойко присутствовала некая субстанция.
3. Иринка, поясните: кто приговорил бабушку к гастростоме? Ваш вердикт – синдром Барсони (штопорообразный пищевод) – непостоянное функциональное нарушение. По данным ФГДС пищевод проходим со следами бария на стенках, кардия полностью не смыкается. И зачем, скажите, ей живот резать? Возможно, хирург держится того же мнения, что и я? Но и в этом случае зачем начинать с большего зла, когда в запасе есть меньшее (снимок с гастроскопом в желудке)?
«В кабинет эндоскопист я думаю не придет, т.к. больных он вообще смотрит в поликлинике, а в отделение приходит только к тяжелым».
Если старушка тяжёлая – он приходит к ней, а она в это время в рентгенкабинете стационара (время согласовать!), если ходячая – встреча в рентгенкабинете поликлиники. И не забывайте про своё оружие: №1 Женское Обаяние, №2 Женские Слёзы – самое страшное (это, в крайнем случае).
На комплименты не напрашиваюсь, но и не обижаюсь.

Неоднозначно всё
Уважаемый Петрович,перейдете по ссылке Анатолия Владимировичаи, прокрутите колесико вниз, там сразу и идет статья. По поводу гастростомы: если бабушка поступит,то поступит потому что не сможет есть, а хирурги не могут дать ей умереть голодной смертью. В общем, если поступит придется пустить в ход все свое оружие
.
Валентин Львович, в том то и дело, что "первая монография В.А. Фанарджяна" -должен заметить, что в те времена, это было весомым подспорием, я пролистывал его издания, и могу сказать, что Антонович В.Б. Рентгенодиагностика заболеваний пищевода, жедудка, кишечника и Коган, Тагер всё это более информативно, грамотно изложено.
"Знаешь, у некоторых врачей есть комплекс мессии — им необходимо спасать мир. А у тебя комплекс Рубика — тебе необходимо решать головоломки."
Уважаемый Виталий Валерьевич!
Да дело совсем не в том, не В.А. Фанарджяне, дело даже не в Вас и не во мне. Дело в том, что некоторые из наших учителей (очень не люблю обсуждать учителей, я им только благодарен и признателен им безгранично) любили среди учеников сказать - "И какой это д... такое написал?" или "Да мало-ли, что там в учебнике, я Вам на лекции давал - так-то и так-то". Но эти мелочи, конечно, должны прощаться НАШИМ УЧИТЕЛЯМ (ибо у них на кафедрах и в институтах шли не шуточные бои за "выживание"). Но их "словеса", порой, как семена, попадали на благодатную почву - на их учеников, и в таких случаях молодые, неокрепшие души деформировались, ибо видели, что проф. зав. кафедрой и пр. может себе "даже такое позволить", следовательно, чтобы иметь вседозволенность в высказываниях, а порой и в действиях, надо стать "проф.", "зав" и пр.
Вы умный человек, Вы поймете меня правильно.
С неизменным уважением к Вам. В. Катенёв.
Вспоминая двух УЧИТЕЛЕЙ.
Сегодняшнее наблюдение. Мужчина за 50. Периодические неприятные ощущения за грудиной.
Болезни ног: виды, симптомы, причины, профилактика и лечение
С-м Баршоня-Тешендорфа от эзофагоспазма чем-то отличается?
Хочешь сделать что-то нормально - сделай это сам!
Как по мне, то нет. Симптоматический диффузный эзофагоспазм (спастический псевдодивертикулез; четкообразный или штопороподобный пищевод).
Болезни ног: виды, симптомы, причины, профилактика и лечение