Вы здесь

1. Посоветуйте коллеги!

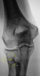
Представленное ниже (желтые стрелки), можно рассматривать как вариант развития (нормы), или как-то по- другому?

 

Юрич аватар
Не на сайте
Был на сайте: 6 лет 6 месяцев назад
Зарегистрирован: 17.01.2010 - 09:55
Публикации: 351

на мой взгляд что-то есть. вздутие прокимальной трети лучевой кости с истончением кортикального слоя, остеопороз. какая то костная киста. нужна другая сторона, клиника. недалеко до патологического перелома.

Анатолий Владимирович Шумаков аватар
Не на сайте
Был на сайте: 7 лет 10 месяцев назад
Зарегистрирован: 16.10.2009 - 21:16
Публикации: 1941

Кист не видно, вероятно такая глубокая шейка луча...

Игорь Иванович аватар
Не на сайте
Был на сайте: 3 года 10 месяцев назад
Зарегистрирован: 23.01.2010 - 14:56
Публикации: 3695

А не было ли тут перелома шейки лучевой кости?

 

Comment Upload: 
3.Vopros.jpg
Ola-la аватар
Не на сайте
Был на сайте: 10 месяцев 4 недели назад
Зарегистрирован: 06.12.2008 - 09:33
Публикации: 1786

Я думаю, что это, все-таки, вариант развития. Посмотрите вот здесь http://radiographia.ru/node/1393 , я там выкладывала два подобных случая у детей, тоже мне тогда не понятных. Пришла к выводу, что это вариант развития.

 

stovbav аватар
Не на сайте
Был на сайте: 2 года 3 месяцев назад
Зарегистрирован: 20.12.2009 - 17:28
Публикации: 7066

Может все таки что та давит со стороны локтевой кости, давит давно и долго - вот тогда это будет аррозия - атрофия от давления...Как Вы думаете?

Ola-la аватар
Не на сайте
Был на сайте: 10 месяцев 4 недели назад
Зарегистрирован: 06.12.2008 - 09:33
Публикации: 1786

Вряд ли так может давить, это не похоже на атрофию от давления.

stovbav аватар
Не на сайте
Был на сайте: 2 года 3 месяцев назад
Зарегистрирован: 20.12.2009 - 17:28
Публикации: 7066

Ola-la wrote:

Вряд ли так может давить, это не похоже на атрофию от давления.

Но ведь и на "Радиографии" имелись высказывания в пользу аррозии....

Ola-la аватар
Не на сайте
Был на сайте: 10 месяцев 4 недели назад
Зарегистрирован: 06.12.2008 - 09:33
Публикации: 1786

Да, высказывались. Но ничего того, что могло вызвать атрофию от давления, выявлено не было, и жалоб никаких нет.