Пол пациента:
Тип патологии:
Область исследования:
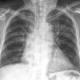
На прошлой неделе ко мне привели женщину 75 лет, с жалобыми на длительную отдышку и некоторую боль в области грудины. В направлении с приёмного отделение было указано, на исключение травматических изменений ребер.
Большая просьба, внимательно проанализировать данную рентген-картину и высказать своё мнение?
Ну, перелом V-IX ребер слева есть. Что за провокация? Придраться можно: 1. В/д слева. Обогащение и нечеткость рисунка, подозрение на инфильтрацию. 2. Справа за тенью сердца. Подозрение на фокус. Раз обратилась на прошлой неделе - выкладывайте снимки.
Великое преймущество врача заключается в том, что он не обязан следовать собственным советам. ( А. Кристи)
Перелом 8, 9, 10 ребер слева.
https://www.instagram.com/pediatricradiology/
сердечные дела+ переломы ребер. подозрение на базальный плеврит справа.
Да, имеется венозный застой и вполне возможен выпот справа по ходу горизонтальной щели и базальный плеврит.
Великое преймущество врача заключается в том, что он не обязан следовать собственным советам. ( А. Кристи)
Усиление лёгочного рисунка в верхней доле слева,возможно даже наличие инфильтрации здесь же
Дмитрий
8-10 ребра слева, неосложненные, диф. снижение тонуса миокарда + легкий венозный застой. Легкая асимметрия трахеи вероятно из-за поворота головы - но шею надо осмотреть...
Можно сказать, что во всех выше изложенных комментариях всё правильно подмечено. если начинать от меньшего к большему то: инфильтрация апикальных отделов с обеих сторон имеется, возможно как следствие венозного застоя в МКК. А вот то, что касается фокусного затемнения за тенью сердца справа, я по большому счёту первоначально не придал значения. по поводу ассиметрии трахеи, Анатолий Владимирович прав, она имеется, после того как травматолог пришел и выложил нам, что она скорее всего клиент онкологов, поскольку по мимо выше перечисленных жалоб, на шее имеются значительно локально-увеличенные л/узлы. Поэтому мудрить дальше не стали и к вечеру мои коллеги провели МСКТ-ОГП.
"Знаешь, у некоторых врачей есть комплекс мессии — им необходимо спасать мир. А у тебя комплекс Рубика — тебе необходимо решать головоломки."
Очень поучительно, спасибо! Только здесь еще узловой зоб, может из щитовидной?
Да, Анатолий Владимирович, узел имеет место быль в щитовидной железе слева, на ниже представленном скане его четко видно. Пока трудно судить mts или первичное образование правого легкого, онкологи взали биптотат с л/узла шеи, думаю скоро известно будет.
"Знаешь, у некоторых врачей есть комплекс мессии — им необходимо спасать мир. А у тебя комплекс Рубика — тебе необходимо решать головоломки."
Спасибо Виталий Валериевич!
Да, случай интересный, и весьма.
Но, знаменательно, что "старая Гвардия" не подводит. Это-же надо, только по "прямым", Вы выдаете - "шею надо смотреть".
Да. Анатолий Владимирович, Вы ГВАРДИЯ, но не "старая".
Мелочь, а приятно...
Да...уж..Нам "зеленым" наука..Спасибо за представленный случай и образец клинической мысли.
Виктор.
Конечно вряд ли, но не может ли данный инфильтрат быть инфарктом легочной ткани при тэла на фоне таких сердечных дел? субплеврально, да и бронхососудистый тяж вроде есть.
Вы на это сами можите ответить, если внимательно смотрели сканы, то они как раз законтрастированы болюсом(ствол легочной арттерии с ветвями), хотя и не та программма для ТЭЛА, но все сегментарные и и даже субсегментарные сосуды визуализируются.
"Знаешь, у некоторых врачей есть комплекс мессии — им необходимо спасать мир. А у тебя комплекс Рубика — тебе необходимо решать головоломки."