КТ легких. Как думаете, в каком отделении должна находиться пациентка?

Пол пациента: 
Тип патологии: 
Методы исследования: 

Женщине 49 лет, 3 недели находилась в ЦРБ другого района. Переведена к нам, мол, разбирайтесь)). Диагноз при переводе: правосторонняя пневмония, цирроз печени, полиорганная недостаточность. Пьющая.

________________________________

 

  • https://radiomed.ru/sites/default/files/styles/case_slider_image/public/user/2841/zh49_29.040002.jpg?itok=7sRnqLr2
  • https://radiomed.ru/sites/default/files/styles/case_slider_image/public/user/2841/zh49_29.040003.jpg?itok=KD_hJTF3
  • https://radiomed.ru/sites/default/files/styles/case_slider_image/public/user/2841/zh49_29.040004.jpg?itok=04Bbi9dk
  • https://radiomed.ru/sites/default/files/styles/case_slider_image/public/user/2841/zh49_29.040005.jpg?itok=r-T3YuBe
  • https://radiomed.ru/sites/default/files/styles/case_slider_image/public/user/2841/zh49_29.040006.jpg?itok=_gwcRpPd
  • https://radiomed.ru/sites/default/files/styles/case_slider_image/public/user/2841/zh49_29.040001.jpg?itok=DJLBgQsy
  • https://radiomed.ru/sites/default/files/styles/case_slider_image/public/user/2841/zh49_29.040009.jpg?itok=i1eWxEWe
  • https://radiomed.ru/sites/default/files/styles/case_slider_image/public/user/2841/zh49_29.040010.jpg?itok=xFQ3MLLX
  • https://radiomed.ru/sites/default/files/styles/case_slider_image/public/user/2841/zh49_29.040011.jpg?itok=j-DDdaqM
  • https://radiomed.ru/sites/default/files/styles/case_slider_image/public/user/2841/zh49_29.040012.jpg?itok=A4FFdB4W
  • https://radiomed.ru/sites/default/files/styles/case_slider_image/public/user/2841/zh49_29.040013.jpg?itok=WdtpSf1B
  • https://radiomed.ru/sites/default/files/styles/case_slider_image/public/user/2841/zh49_29.040008.jpg?itok=CNJmfTmM
  • https://radiomed.ru/sites/default/files/styles/case_slider_image/public/user/2841/zh49_29.040004-.jpg?itok=L1xnQ4Fp
  • https://radiomed.ru/sites/default/files/styles/case_slider_image/public/user/2841/zh49_29.040005-.jpg?itok=caYMFYBR
  • https://radiomed.ru/sites/default/files/styles/case_slider_image/public/user/2841/zh49_29.040013-.jpg?itok=PYbP7hve
ID:13741
ЛГ аватар
Не на сайте
Был на сайте: 9 лет 4 недели назад
Зарегистрирован: 06.01.2010 - 12:31
Публикации: 3523

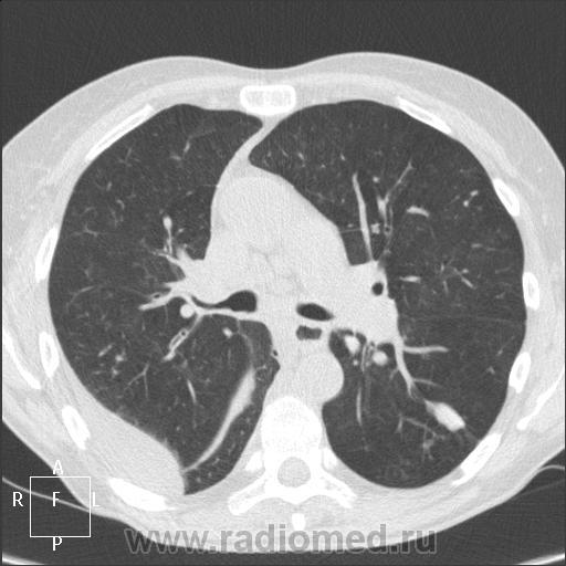
Только поступила. Клиника вроде за пневмонию, фебрильная температура, кашель с трудно отделяемой мокротой, слабость, желтуха... В выписке анемия, СОЭ 25-45, палочкоядерный сдвиг. Креатинин повышен. Лечили антибиотиками внутривенно и внутримышечно, а через 3 недели с той же клиникой перевели в нашу ЦБР. Направлена на КТ легких с напутствием констатировать исход пневмонии в пневмосклероз.

Катенёв Валентин Львович аватар
Не на сайте
Был на сайте: 7 лет 2 месяцев назад
Зарегистрирован: 22.03.2008 - 22:15
Публикации: 54876

"КТ легких. Как думаете, в каком отделении должна находиться пациентка?"

 

А на данный вопрос должна ответить "мокрота", которая должна была исследована неоднократно...

gar70 аватар
Не на сайте
Был на сайте: 9 лет 9 месяцев назад
Зарегистрирован: 16.02.2011 - 21:49
Публикации: 43

В верхней доле и в С6 слева-туберкулемы?Кроме того, в верхней доле левого легкого парасептальная эмфизема и фиброзные изменения.

Петрович аватар
Не на сайте
Был на сайте: 7 лет 4 месяцев назад
Зарегистрирован: 22.03.2009 - 01:13
Публикации: 3908

Трудно нам с классическим образованием без ваших реконструкций, Людмила Григорьевна. Но попытаюсь.

Какой-то деструктивный процесс в толще массивной, по-видимому, воспалительной инфильтрации в нижней доле правого лёгкого. Справа же частично осумкованный паракостально-парамедиастинальный (а может и междолевой) плевральный выпот. Слева в верхней доле и нижней доле по фокусу неправильной формы, имеют связь с плеврой и корень нехорош. Для начала можно в торакальное отд. поместить. Анализы доделать... А там, глядишь, и в ПАО созреет, Пьющая женщина.

Неоднозначно всё

ЛГ аватар
Не на сайте
Был на сайте: 9 лет 4 недели назад
Зарегистрирован: 06.01.2010 - 12:31
Публикации: 3523

ВК в мокроте неоднократно не выявлено.

ЛГ аватар
Не на сайте
Был на сайте: 9 лет 4 недели назад
Зарегистрирован: 06.01.2010 - 12:31
Публикации: 3523

Справилась с Clear Canvas, но на DICOM-сервер никак не грузится. И туда вообще не войти. Работы, наверное, на нем?

Мне случай показался интересным, я еще не видела столько туберкулом. И думаю на правостороннюю деструктивную пневмонию, вроде и секвестр имеется. Вопрос в названии случая продиктован выраженным нежеланием клиницистов брать пациентку. Пульмонологическое отделение боится туберкулеза и хочет видеть не туберкуломы, а метастазы... Онколог сказал: не мое. Фтизиатр считает, что данных за активный процесс нет (снимки после праздников только смогу показать - закрыты в кабинете пульмонолога). 

Катенёв Валентин Львович аватар
Не на сайте
Был на сайте: 7 лет 2 месяцев назад
Зарегистрирован: 22.03.2008 - 22:15
Публикации: 54876

НУ, а и, что то за деструкция, распад нарисовался?

ЛГ аватар
Не на сайте
Был на сайте: 9 лет 4 недели назад
Зарегистрирован: 06.01.2010 - 12:31
Публикации: 3523

Мое впечатление - деструктивная пневмония, секвестр. У нас торакального хирургического отделения нет. Хотелось бы еще с контрастом сделать КТ-контроль. Думаю, женщину нужно оперировать, потому что сейчас процесс отграничен на фоне массивной антибиотикотерапии, но потенциально и гангренозному абсцессу недалеко развиться. Ни на рак, ни на каверну не похоже. Хотелось бы мнение коллег узнать, какова дальшейшая диагностическая тактика в таких случаях.

Петрович аватар
Не на сайте
Был на сайте: 7 лет 4 месяцев назад
Зарегистрирован: 22.03.2009 - 01:13
Публикации: 3908

Если санавиация за ней из Твери не прилетит, и в родную ЦРБ перевезти не получится, оперировать её, скорей всего, будут ПАО.

Неоднозначно всё

ЛГ аватар
Не на сайте
Был на сайте: 9 лет 4 недели назад
Зарегистрирован: 06.01.2010 - 12:31
Публикации: 3523

Последние данные: гемоглобин 86, палочек 7, лейкоциты 11, СОЭ 78, температура 38-39.

Архив, который был на руках: завтра после УЗИ органов брюшной полости будут договариваться о переводе в область. 

Приложения: 
10.2007----sdc10002.jpg12.2007----sdc10003.jpg2010----sdc10004.jpg18.04.2011--sdc10005.jpg25.04.2011-----sdc10006.jpg25.04.2011------sdc10007.jpg