После «флюшки» был взят на контроль, дообследован.

Пол пациента: 
Тип патологии: 
Методы исследования: 

После «флюшки» был взят на контроль, дообследован.

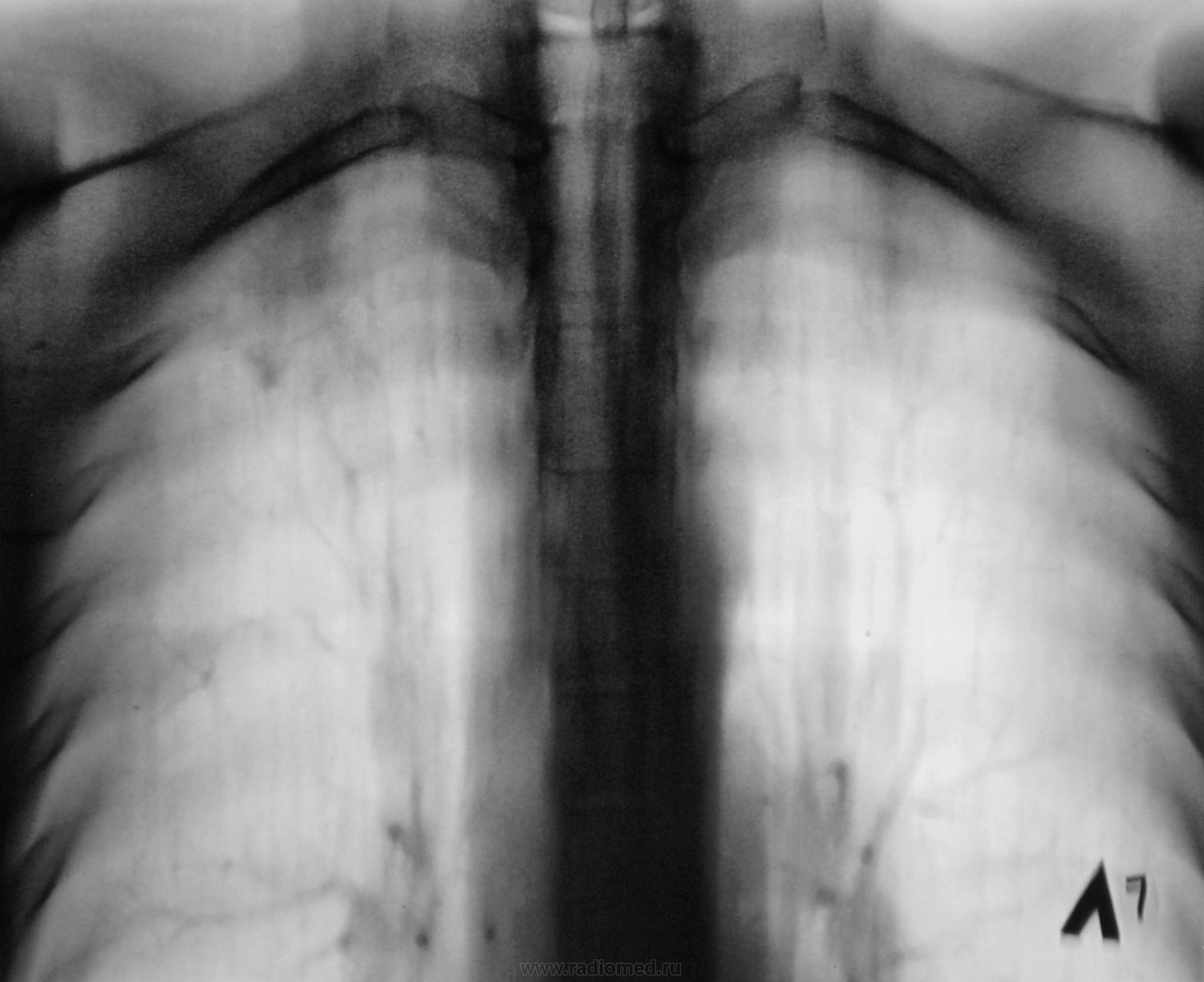
Ваше мнение уважаемые коллеги?

В протоколе написал - очаговый. Опять недоволен коллега фтизиатр, но на заметку взял... и через 6 месяцев на контроль прислал.

И, какой совет дадут коллеги?

Но, шло время… и коллега фтизиатр через 6 месяцев направил пациента на «контроль» - «контроль контролей»…

  • https://radiomed.ru/sites/default/files/styles/case_slider_image/public/user/12/12.p9260032.jpg?itok=-bGJZZPK
  • https://radiomed.ru/sites/default/files/styles/case_slider_image/public/user/12/13.p9260033.jpg?itok=DwkVM3kz
  • https://radiomed.ru/sites/default/files/styles/case_slider_image/public/user/12/14.p9260034.jpg?itok=WuTVp26j
  • https://radiomed.ru/sites/default/files/styles/case_slider_image/public/user/12/1.p9260035.jpg?itok=OH35vEzg
  • https://radiomed.ru/sites/default/files/styles/case_slider_image/public/user/12/2.p9260036.jpg?itok=8OM3jIfw
  • https://radiomed.ru/sites/default/files/styles/case_slider_image/public/user/12/3.p9260038.jpg?itok=0ECPcHIa
  • https://radiomed.ru/sites/default/files/styles/case_slider_image/public/user/12/12.p9260042.jpg?itok=hHVwonQQ
  • https://radiomed.ru/sites/default/files/styles/case_slider_image/public/user/12/14.p9260039.jpg?itok=ktrQLPkZ
  • https://radiomed.ru/sites/default/files/styles/case_slider_image/public/user/12/15.p9260039a.jpg?itok=j0nLIj_-
  • https://radiomed.ru/sites/default/files/styles/case_slider_image/public/user/12/17.p9260040a.jpg?itok=932npRcr
  • https://radiomed.ru/sites/default/files/styles/case_slider_image/public/user/12/17.p9260040a_0.jpg?itok=W8_0DROV
ID:15699
Nikolas аватар
Не на сайте
Был на сайте: 1 месяц 2 дня назад
Зарегистрирован: 21.12.2010 - 20:37
Публикации: 4560

видимых изменений не было, то диагноз - очаговый туберкулез S 2 правого легкого, фаза инфильтрации. Рекомендую направить в ПТД.

С уважением Nik 

Катенёв Валентин Львович аватар
Не на сайте
Был на сайте: 7 лет 4 месяцев назад
Зарегистрирован: 22.03.2008 - 22:15
Публикации: 54876

Рекомендовал. ОПТД - отверг.

Nikolas аватар
Не на сайте
Был на сайте: 1 месяц 2 дня назад
Зарегистрирован: 21.12.2010 - 20:37
Публикации: 4560

при своем мнении. За проследние годы врачи ПТД отвыкли от малых туберкулезных изменений. Больному рекомендовать обследоваться через 6 мес. При отрицательной динамике утрите  нос кому следует и нам покажите.  С уважением Nik

ДокRg аватар
Не на сайте
Был на сайте: 12 лет 7 месяцев назад
Зарегистрирован: 30.03.2011 - 20:05
Публикации: 105

+1 за tbc.

Катенёв Валентин Львович аватар
Не на сайте
Был на сайте: 7 лет 4 месяцев назад
Зарегистрирован: 22.03.2008 - 22:15
Публикации: 54876

Ну, мнение ОПТД - это мнение ОПТД - "данных за активный туберкулез нет". Антэресная, по своей сути и гнилости формулировочка.

В протоколе написал - очаговый. Опять недоволен коллега фтизиатр, но на заметку взял... и через 6 месяцев на контроль прислал.

Катенёв Валентин Львович аватар
Не на сайте
Был на сайте: 7 лет 4 месяцев назад
Зарегистрирован: 22.03.2008 - 22:15
Публикации: 54876

Но, шло время… и коллега фтизиатр через 6 месяцев направил пациента на «контроль» - «контроль контролей»…

Время шло, подросла и «крошка – фтиза», из очаговой в инфильтративную превратилась, да и «личико» в микроскопе показала…

Nikolas аватар
Не на сайте
Был на сайте: 1 месяц 2 дня назад
Зарегистрирован: 21.12.2010 - 20:37
Публикации: 4560

для многих врачей. Мы не можем с Вами провести врачебную конференцию на эту тему. Ваша демонстрация больше чем конференция малого числа врачей. Её смотрят тысячи врачей  России. Спасибо. С уважением Nikolas

Катенёв Валентин Львович аватар
Не на сайте
Был на сайте: 7 лет 4 месяцев назад
Зарегистрирован: 22.03.2008 - 22:15
Публикации: 54876

У меня сегодня был случай, на котором многие областные учреждения сломали "зубы". Я думаю, что Вам он будет интересен, он (случай) у меня в динамике в течение 3 лет. И мне хотелось бы услышать Ваше мнение. Случай буду выставлять завтра, он очень объемный.

 

За теплые слова спасибо.

svet аватар
Не на сайте
Был на сайте: 2 года 2 месяцев назад
Зарегистрирован: 07.05.2010 - 19:10
Публикации: 201

думаю что кроме деформации легочного рисунка здесь ничего нет.

Сашуля аватар
Не на сайте
Был на сайте: 14 лет 5 месяцев назад
Зарегистрирован: 21.09.2011 - 10:49
Публикации: 14

По-моему, без динамики, на обзорном похоже на фокус в 1 м/р, с четкими контурами, без динамики, может не дошли на тмг до истинных размеров? не очаг, скорее туберкулома. Бывает пациент меняет в весе и это отражается на величине среза, можно за динамику принять другой срез. Я извиняюсь, но не вижу здесь нарастания патологических изменений.

Катенёв Валентин Львович аватар
Не на сайте
Был на сайте: 7 лет 4 месяцев назад
Зарегистрирован: 22.03.2008 - 22:15
Публикации: 54876

svet wrote:

думаю что кроме деформации легочного рисунка здесь ничего нет.

Дак это же ЗДОРОВО! Особенно, когда в мокроте обнаруживаются НЕОДНОКРАТНО МТБ....

Катенёв Валентин Львович аватар
Не на сайте
Был на сайте: 7 лет 4 месяцев назад
Зарегистрирован: 22.03.2008 - 22:15
Публикации: 54876

Сашуля wrote:

По-моему, без динамики, на обзорном похоже на фокус в 1 м/р, с четкими контурами, без динамики, может не дошли на тмг до истинных размеров? не очаг, скорее туберкулома. Бывает пациент меняет в весе и это отражается на величине среза, можно за динамику принять другой срез. Я извиняюсь, но не вижу здесь нарастания патологических изменений.

Дак, это же хорошо!

Сашуля аватар
Не на сайте
Был на сайте: 14 лет 5 месяцев назад
Зарегистрирован: 21.09.2011 - 10:49
Публикации: 14

то что без динамики, еще не значит хорошо, профкурсом  можно доказать активность специфических изменений. Уважаемый, Валентин Львович, я смотрю на нетбуке и возможно что-то не вижу. Вы опишите, пожалуйста, подробно снимок и отриц динамику, если нетрудно. С уважением, Александра.

И все-таки инфильтрат, который был еще на первом обзорном снимке в виде вытянутого овала в 1 м/р?? Больше этого никто не видит?