Пол пациента:
Тип патологии:
Область исследования:
Методы исследования:
Уважаемые коллеги снимки выполнялись в моё отсутствие, поэтому прошу высказать только предположение. Боковых прооекций нет и томограмм тоже.
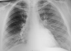
Случай №1 Молодой человек, 20 лет, лыжник. Был направлен терапевтом для исключения пневмонии. Беспокоит кашель и небольшие подъёмы температуры. Слева обратил внимание на очаги, размером до 8-10 мм на интактном лёгочном поле. Возможно это сосуды. Подозрение упало на ТБС. В заключении написал консультацию фтизиатра.
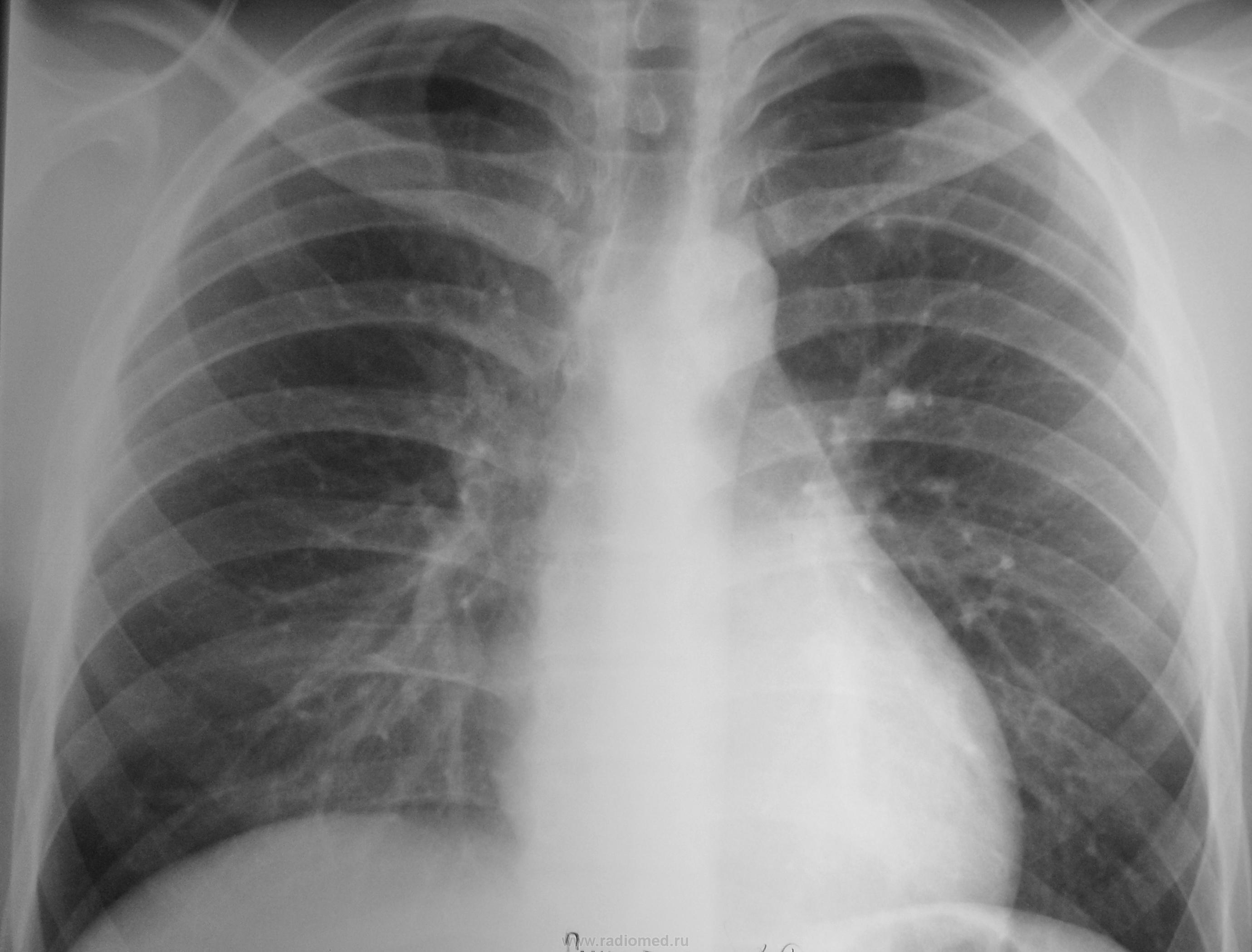
Случай №2 Женщина пришла на снимок ОГК для оформления стац. лечения панкреатита. Справа в надключичной зоне определяется небольшой очажок. Направил на консультацию, вернее написал в заключении.
Случай №1. Пусть спокойно бегает на лыжах и дальше.
Случай №2. Покрутил бы на скопии. Что-то присутствует.
коллега, так ему и передам, если увижу.
Прийди к Себе
Случай №1. ИМХО.: Пневмония в н/доле справа
Случай №2 Согласен с Бондаренко
ПЫ.СЫ: Боковые снимки!!!