Пол пациента:
Тип патологии:
Область исследования:
Методы исследования:
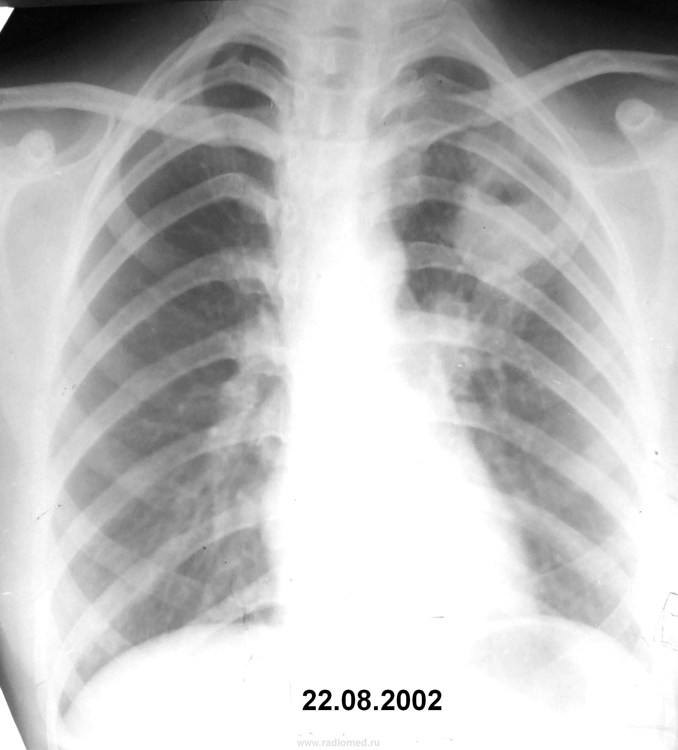
Вчера перед отходом с работы решил снять и показать Вам снимки. Болезнь верифициорвана. Всего снимков 3 в динамике. Как всегда гостей у нас тьма. Может кто-то из них зарегистрируется и скажет свое веское слово. Итак, какое заболевание Вы предполагаете, глядя на свои мониторы. Смотрите очень внимательно. Лучше написать одно заболевание, но не более 2-х. Пишите друзья. С уважением Nikolas
Периферическое заболевание в\д левого легкого с распадом.
Гигантская туберкулома с распадом
хронический абсцесс
Поддерживаю 1 пост. Распад нетипичен для туберкулёмы. Грубая инфильтрация в направлении корня +лимфаденопатия в области последнего.
А что мешает этому процессу быть абсцессом.
туберкулома с распадом или абсцесс...
Согласен, абсцесссом быть ничего не мешает, ну наверно при этом слудует ожидать проявления интоксикации .
Конечно, со всем вышеизложенным можно согласиться. Желательно узреть левый боковую.
Кстати, такую картинку можно наблюдать и при гранулематозе Вегенера.
1. Абсцесс
2. Полостная форма плоскоклеточного рака
А вообще, надо было выставить как экспертизу.
Дренированый абцесс..
Виктор.
мне , как-то не очень...Не зря устраивают круглые столы по различным проблемам, где в процессе обсуждения возникает озарение. Но, это моя личная точка зрения и я её не навязываю коллегам. Если есть другие мнения, высказывайте. Это всегда полезно. Доктор Виккур рад, что Вы на сайте. Nikolas
Сбоку "круглый стол" будет казаться плоским...))) Проигнорировали Almo и Валентина Львовича? В текстовой части Вашей публикации сказано, что снимков 3 - где еще 2?! Динамику!
А дифряд тот же: объемное образоваие с распадом? дренированный абсцесс? не исключается что-нибудь редкое (учитывая малые изменения в других отделах легочных полей - даже эозинофильная гранулема может дать такое).
С уважением, А.В.Коробейников
Просим автора подбросить зёрнышек.
Локализация конечно, специфическая, но для туберкулезной полости горизонтальный уровень не характерен. +1 за обычный дренированный абсцесс (хоть и неправильно, раз Nikolas молчит).
рак пэнкоста 1 ребра слева с поражением верхней доли левого легкого
Думаю: туберкулёзный инфильтрат с распадом.
Если не что-то экзотическое.
Неоднозначно всё
после бронхоскопии (см.рисунок № 2 от 26.08.2002 г.). Уважаемые коллеги. Будет представлена и рентгенограмма № 3. Жду Ваши заключения. С уважением Nik
Ну вот. За короткий срок процесс не увеличился в размере, а даже уменьшился.(значит не туберкулез).Опустошился с образованием полости(значит не рак).Остаётся -абсцесс.На последующем снимке полость должна захлопнуться.
Прошло 4 дня...Верхняя стенка полости толстовата, смахивает на симптом "перстня". Не сбрасывал бы со счетов, версию о периферичесом раке лёгкого с распадом. Дифференцировать с туберкулёзной каверной и абсцессом .
абсцесс это
Картина похожа на симптом «теннисной ракетки».
Неоднозначно всё
Очаговости никакой.
так тут соображений много ,но судя по рентгенограмме в верхней доле левого легкого определяется округлая тень с четкими ровными контурами и горизонтальным уровнем жидкости в ней при отсутствии перифокального воспаления - в данном случае исключаю абсцесс на 60%,что касается инфильтрации с распадом - она не имеет таких четких наружных контуров-исключаю на 90%,да при туберкулезе часто бывает бронх. обсемение.!!!далее вдоль левого корня легкого в верхней доле и в язычках включительно определяются расширенные с утолщенными стенками сегментарные бронхи!!!мой диагноз -единичный кистовидный бронхоэктаз больших размеров с цилиндрическими бронхоэктазами в верхней доле левого легкого,аналогичные цилиндрические бронхоэктазы справа . да и в следующий раз клинику пожалуйста !!!!!!
Если-бы знали клинику всё стало-бы совсем просто и не интересно.
Где-то я такое слышала..Что-то знакомое... Петрович, напомните, пожалуйста, что это за симптом?
www.belmapo.by/downloads/ftiziopulmonolog/kaz_pnevmo.doc
КЛИНИКА И ЛЕЧЕНИЕ ИНФИЛЬТРАТИВНОГО ТУБЕРКУЛЕЗА ЛЕГКИХ И КАЗЕОЗНОЙ ПНЕВМОНИИ
В.С. Коровкин, Г.Л. Гуревич
Белорусская медицинская академия последипломного образования
НИИ пульмонологии и фтизиатрии МЗ РБ
. . . . . . . . . . . . . . . . . . .
Инфильтраты округлой или овальной формы
. . . . . . . . . . . . . . . . . . .
Рентгенологически инфильтрат имеет нерезко контурированную неправильно округлую или овальную тень диаметром 1,5 - 2,5 см и более, локализующуюся в 1-м, 2-м; реже в 6-м сегменте легкого. Нередко она имеет округлую форму с довольно четкими очертаниями размером 3-5 см (инфильтрат Assmann-Redeker). К корню легкого от него отходит воспалительная «дорожка». На ее фоне часто определяется проекция бронха. Появление такого тенеобразования, напоминающего теннисную ракетку, указывает на распад инфильтрата и лимфо-бронхогенное распространение процесса.
gendocs.ru/v26441/?download=1
ФТИЗИАТРИЯ
национальное руководство
Инфильтративный туберкулез легких
. . . . . . . . . . . . . . . .
Рентгенологическая картина при инфильтративном туберкулезе легких
. . . . . . . . . . . . . . . .
Округлый инфильтрат представлен ограниченным затемнением округлой формы, преимущественно средней интенсивности с ясными, но нерезкими очертаниями (рис. 18-46). В подключичной области локализуется классический тип инфильтрата Ассманна-Редекера (рис. 18-47).
От медиальных отделов затемнения к корню лёгкого отходит воспалительная дорожка, в которой иногда выявляют проекцию дренирующего бронха (симптом «теннисной ракетки») (рис. 18-48). При распаде инфильтрата в его центральных отделах обычно выявляют полости (рис. 18-49). В нижележащих отделах лёгкого нередко бывают заметны очаги бронхогенного обсеменения.
Рисунки 18-46 — 18-49 иллюстрирующие процесс, видимо удовлетворяют авторов, но нагоняют тоску на зрителя-читателя: совкового ещё качества полиграфия.
В учебнике Перельмана ФТИЗИАТРИЯ 2004.pdf эти картинки всё же лучше.
http://www.radiomed.ru/publications/tuberkulez-infiltrativnyi-tuberkulez
Здесь текста мало, зато много картинок. И качество получше. Есть и похожие)).
Неоднозначно всё
И гдей-то увидали такое, федя??? То ли зрение фантастическое то ли фантазия супергипер!!!! Мож, покажете?))
Неоднозначно всё
Уважаемые коллеги! Привожу результаты обследования больной, имеющиеся в моем распоряжении.
Пациентка 19 лет. Студентка. Контакт с больными туберкулёзом не установлен. Заболела остро в мае мес. 2002 года. По поводу «острого респираторного заболевания» ей в амбулаторных условиях проведено лечение сульфаниламидными препаратами. Самочувствие улучшилось. В начале августа вновь повысилась температура тела до субфебрильных цифр. В течение 10 дней пациентке проведено лечение амоксициллинином. После рентгенологического исследования органов грудной клетки (22.08.2002 г) пациентку сразу госпитализировали в ПТД. При поступлении в стационар предъявляла жалобы на кашель с выделением небольшого количества слизистой мокроты. Температура тела 37,4 С, состояние удовлетворительное. Гемограмма: лейкоциты – 9,6 *109/л, СОЭ – 25 мм/ч. Бронхоскопия: на стенке левого верхнедолевого бронха обнаружен инфильтративный туберкулёз. Повторно после бронхоскопии выполнена рентгенограмма органов грудной клетки в передней прямой проекции (см. рисунок 2). Реакция на пробу Манту с 2 ТЕ ППД-Л – 21 мм. При исследовании трех проб мокроты методом посева получен рост МБТ. Больная состояла на учете в ПТД. Представляю рентгенограмму через 4 года от 18.02.2006 г. (см. рисунок 3). Других материалов нет. Данное клиническое наблюдение ещё раз подтверждает клинико-рентгенологическое многообразие проявлений туберкулёзного процесса. Точное и уверенное заключение дал коллега Петрович. Предложил нам хорошие ссылки. Просите Петровича поделиться с Вами, что позволило ему сделать правильный вывод.
Хочу ещё раз повторить для отличных молодых врачей сайта, таких как Побединский М. и др. Как и все мы, Вы все опираетесь на известные источники литературы. Это чувствуется по Вашим ответам при обсуждении клинического наблюдения. И это правильно. НО, многое, что встречается в реальной практической деятельности, не отражено в книжках. Сайт Радиомед дает нам всем уникальную возможность увидеть и обсудить то, чего нет в руководствах. Исполнился год моего общения с Вами, которое принесло мне большую пользу во многих аспектах. Любите сайт. Берегите сайт. Уважайте друг друга. Представляйте свои клинические наблюдения как можно больше, а не только комментируйте материалы коллег. Благодарю всех участников обсуждения, модераторов и руководство. С уважением Nikolas.
Спасибо, за интересное и верифицированное наблюдение.Коллега Побединский прав, очаговости нет; значит надо понимать, что при туберкулёзе этот признак не абсолютный.
дорогой ПЕТРОВИЧ ,чтобы знать по крайней мере такие вещи побольше читать надо да и +компьютерной томографией заниматься надо!!!объемно смотреть надо родной ,а не зацыкливаться на простой рентгенограмме без пространственног мышления)))
Какие ВЕЩИ, дорогой федя?
Вы бы просто стрелками указали "расширенные с утолщенными стенками сегментарные бронхи!!!". Я смущён и растерян: как вы при вашей начитанности, занятиях компьютерной томографией, привычке "объемно смотреть, а не зацЫкливаться на простой рентгенограмме без пространственноГ мышления)))" не сумели распознать патологию и установить верный диагноз. Да и пишите с ошибками. 
Нет, не убедили Вы меня пока в своей гениальности …, может быть в следующий раз, родной?
Неоднозначно всё
А Петрович у нас может кусануть.
А может у пациентки богатые родители, И попав в обьятия фтизиатров, любовь оказалась не бескорыстной.Результаты посева пришли спустя месяцы, когда отравительная химиотерапия уже проведена; он не мог быть отрицательным по определению.
Неоднозначно всё
И что? По вашему , бронхоскопист даёт заключение" инфильтративный туберкулез" бронха? И это правильно, и этому можно верить?
Подозрение + Доказательство = Обвинение
Обвинение – Доказательство = Подозрение
Неоднозначно всё
Случай здесь опубликованный, по моему мнению, демонстративностью, наглядностью не уступает примерам в разделе круглый инфильтрат учебника фтизиатрии и заслуживает помещения в коллекцию изображений. Если автор не возражает).
Неоднозначно всё
Ваши ##32,34 коллега напомнили мне крылатое выражение: "Каждый думает и видит мир в меру своей испорченности" (см. рисунок). Я Радиомед посещаю не для игры в напёрсток. Сомневаться врачу всегда надо, но не до мании подозрительности. Складывается впечатление, что регион и среда, где Вы живете, работаете оказала на Вас такое влияние. Nikolas
Хорошо .А почему тогда при таком распаде бактериоскопия не дала результатов?.Почему такая быстрая положительная динамика? Это не теберкулёз.
Евгений 1313: Как я понял, посев на МБТ 3-хкратно был положительным. Вы считаете, что распад инфильтрата с переходом его в каверну, в течении 4-х дней, не может быть при туберулёзной этиологии процесса ?
Автором указано:
"При исследовании трех проб мокроты методом посева получен рост МБТ".
Сейчас автором случая выставлена "динамика". Хорошая динамика. На мой взгляд, сейчас совершенно точно понятно, что в данном случае "патология" туберкулёзного генеза. Это надо хорошо подумать, ну и погадать на картах, какой процесс, кроме туберкулезного, после себя оставит нежный линейный фиброз и мелкие плотные очажки.
Спасибо, Nikolas!
Петрович! Нельзя так с молодыми - распугаете.) И придираться к очепяткам... мелко, Вы выше этого (я так думаю).
Евгений! Морфологи и клиницисты - не боги - может и не туберкулез. Наша задача не истину найти (к сожалению, это в принципе невозможно - философский камень не существует (пока что, или уже...)), а придти к общему знаменателю с клиницистами и морфологами. Такова жизнь.
Федя! Стрелочки!!!
Всем спасибо.
С уважением, А.В.Коробейников
Что молодых распугивать не гоже -это верно.Но и Петровича понять надо.Не приемлет его душа такого обращения.Слишко умён, и с этим надо считаться.
Случай отличный и показательный.
Забираю в набор.
поставите, уважаемый коллега?
Надо в инфильтративный ставить.
Или как?
Буду знать. Спасибо!