Пол пациента:
Тип патологии:
Область исследования:
Методы исследования:
- https://radiomed.ru/sites/default/files/styles/case_slider_image/public/user/12/2..Reanim..JPG?itok=9wREYwvM
- https://radiomed.ru/sites/default/files/styles/case_slider_image/public/user/12/3..P4050037.JPG?itok=3SzLT7W8
- https://radiomed.ru/sites/default/files/styles/case_slider_image/public/user/12/4..P4050038.JPG?itok=o7tBD-ss
- https://radiomed.ru/sites/default/files/styles/case_slider_image/public/user/12/5..P4050038a.jpg?itok=DQB7Ynff
- https://radiomed.ru/sites/default/files/styles/case_slider_image/public/user/12/6..P4050039.JPG?itok=ZvfUsoL0
- https://radiomed.ru/sites/default/files/styles/case_slider_image/public/user/12/7.._P4050040.JPG?itok=nZP23tre
- https://radiomed.ru/sites/default/files/styles/case_slider_image/public/user/12/8..P4050041_0.JPG?itok=lxXJagGI
- https://radiomed.ru/sites/default/files/styles/case_slider_image/public/user/12/9..P4050042_0.JPG?itok=6kdurevM
- https://radiomed.ru/sites/default/files/styles/case_slider_image/public/user/12/10..P4050043.JPG?itok=bHn5QOlR
- https://radiomed.ru/sites/default/files/styles/case_slider_image/public/user/12/11.P4050043a.jpg?itok=TV8uhliE
- https://radiomed.ru/sites/default/files/styles/case_slider_image/public/user/12/12..P4050044.JPG?itok=Uu0b5COe
- https://radiomed.ru/sites/default/files/styles/case_slider_image/public/user/12/13..P4050045.JPG?itok=afCe-3Q8
- https://radiomed.ru/sites/default/files/styles/case_slider_image/public/user/12/14..P4050045a.jpg?itok=6ZP5OCtZ
- https://radiomed.ru/sites/default/files/styles/case_slider_image/public/user/12/15..P4050046.JPG?itok=Y4q3SuIn
- https://radiomed.ru/sites/default/files/styles/case_slider_image/public/user/12/16..P4050046a.jpg?itok=4krLz7Im
ID:2625
Кроме легких , вроде и передние отрезки ребер слева заинтересованны. А по поводу чего был в реанимации?
Толи алкогольная, толи наркотическая кома.
Возможно, метастазы?
на метастазы
Прийди к Себе
Скучает случай.
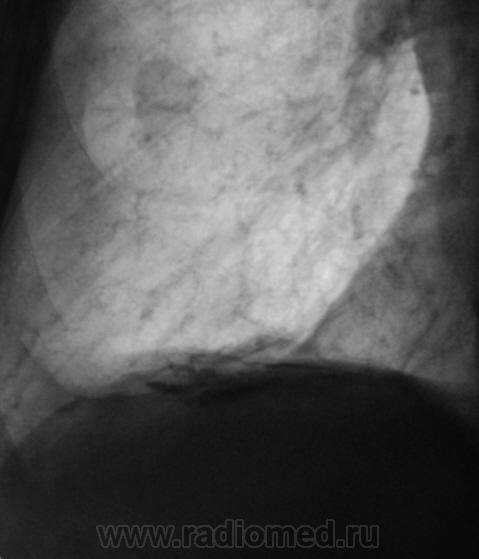
Добавим "братика". Пациент направлен из УБ с диагнозом "Заболевание лёгкого". Интересный факт - пациент прошел флюорографию 6 месяцев тому. На флюшке - норма. Ниже рентгенограмма.
Томограммы пациента.
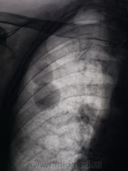
Флюорограмма - 6 мес. тому.
Здравствуйте Валентин Львович. Спарва в нижней доле в V межреберье пара небольших округлых теней малой интенсивности с достаточно чёткими контурами. Окружающая легочная ткань без изменений, корни спокойные. Судя по тени сердца человек в возрасте. Конечно эта флюрка просматривается уже с пристрастием, после того что обнаруживается через 6 мес. Интересно где первичная опухоль?
Здравствуйте Николай!
Возможно, есть "на флюорограмме", то о чём Вы говорите. Но меня, все-таки заинтересовало такое молниеносное течение. Пошел говорить к пациенту. Он сказал, что у него на спине есть "шишка", которая у него давно. Но, вот последнее время эта шишка стала увеличиваться. Он обратился "по месту жительства"... и ему назначили очень интенсивное физиотерапевтическое лечение. Возможно, "это", и не верная догадка.
а "шишка" не может быть PNET? подлечили физиотерапией, получили результат в легких...
А почему именно РNET?
За два месяца, до описываемых событий, пациент направлялся в рентгеновский кабинет для рентгенографии поясничного отдела позвоночника с диагнозом "Остеохондроз".
"шишка", простимулированная физиотерапией, болезненная?+довольно агрессивное течение+отсутствие доступа к результатам других исследований=версия pnet
ни в коем случае не настаиваю
Эта "шишка"вроде бы в обл. лопатки? Может быть рентгенограмму сделать в реберном режиме?
Неоднозначно всё
Согласен с Вами Петрович. Но, отдали пациента к онкологам в область.
Неоднозначно всё
Делаю выводы. Если Вы настаиваете, буду стараться придерживаться всех правил русского языка.
К сожалению, от моего нажатия "Shift" диагностической информации по данному случаю не прибавляется...
Ни в коем случае не настаиваю, а только советую. Да он и так уж ясен, данный случай. Но, несомненно, прибавляется шарма у Вас и благожелательности у окружающей общественности.
Неоднозначно всё
Валентин Львович, все-таки с каким заключением "отдали пациента онкологам"?
Метастазы (секундарные изменения) в органы грудной клетки. Предположительно первичный очаг - правая почка, возможно гипернефрома.
Спасибо.