Да, когда возникает что-то вроде отёка прикорневых отделов лёгких, к которому склонны дети в раннем возрасте. При обычной ОРВИ рисунок будет спокойнее, а при затянувшемся бронхите уже должны появиться перибронхиальные изменения. Подобную картину так же часто можно заметить при острых ларинготрахеитах с клиникой инспираторной одышки.
"Цифра" всегда может иметь в себе качества суперэкспонированного снимка и рентгенолог всегда может "поиграть" с изображением, выбрав для себя оптимальное.
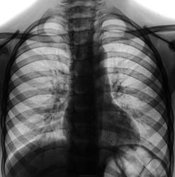
Пневмонии тоже не вижу. Что касается рентгенодиагностики бронхита - считаю, что это должно решаться клинически, а вот выраженные явления обструкции отмечаю. Усиление легочного рисунка у детей, имхо, крайне неспецифично и встречается при любой интоксикации. Часто вижу его, например, у детей с клиникой острых абдоминальных болей, которых присылают для исключения пневмонии.
Пневмонии тоже не вижу. Что касается рентгенодиагностики бронхита - считаю, что это должно решаться клинически, а вот выраженные явления обструкции отмечаю. Усиление легочного рисунка у детей, имхо, крайне неспецифично и встречается при любой интоксикации. Часто вижу его, например, у детей с клиникой острых абдоминальных болей, которых присылают для исключения пневмонии.
Полностью согласен. Например, могу добавить к перечисленному - ожоги, сильные травмы, любые состояния с лихорадкой.
Не работаю с детьми, но такая "лохматость" корней при ОРЗ всегда бывает или просто "повезло" в конкретном случае?
Почти всегда и от этого мы "страдаем", потому что, если дети делают снимок по блату во взрослой клинике, то их почти всегда отправляют на госпитализацию со страшными диагнозами:)))
Более выраженное расширение корня правого легкого, нечеткость медиальных отделов правой половины купола диафрагмы, не исключают наличие пневмонии в нижней доле правого легкого.
Более выраженное расширение корня правого легкого, нечеткость медиальных отделов правой половины купола диафрагмы, не исключают наличие пневмонии в нижней доле правого легкого.
Уважаемый, Валентин Львович! А что писать в протоколе? т.е., в заключении рентгенологического исследования: С учетом рентгенологических изменений, клинических и лабораторных данных, не исключается наличие пневмонии в нижней доле правого легкого. И лечащий врач, юридически несущий ответственность за своего пациента, с учетом Вашего заключения, своего опыта, возможного направления на др. дополнительные исследования, выставит диагноз. В случаях, как возможно и в данном, признаки пневмонии при стандартном рентгенологическом исследовании могут быть за пределами возможности метода (т.н. рентгенонегативные изменения). Об этом хорошо написано в монографиях: "Пневмония" под общей редакцией главного пульмонолога страны академика Чучалина А.Г.; "Компьютерная томография органов грудной полости" проф. Тюрина И.Е. Один из ряда случаев, когда в рентген. протоколе - норма, при КТ - пневмония (и также корень правого легкого отличается от левого, как и в представленном на сайте случае).
Уважаемая, Надежда Лишина! Усиление легочного рисунка, преимущественно за счет сосудистого компанента, может быть проявлением многих патологических процессов, в том числе не исключается и наличие пневмонии.
С учетом рентгенологических изменений, клинических и лабораторных данных, не исключается наличие пневмонии в нижней доле правого легкого.
С уважением, Анатолий Петрович.
Здравствуйте Анатолий Петрович!
Спасибо за коммент. У нас на приеме (в поликлинике) в рентгеновский кабинет, пациент, как правило попадает "голым", т.е. никаких лабораторных данных нет. А, клинически..., кашляет, а, что там коллеги педиатры наслушали, так то под большим сомнением и вопросом, весьма часто пишут, что "оно" слева, а как правило, оказывается с другой стороны. Порой больному - сделайте "снимочек", а потом МЫ будем разбираться, увы, таковы реалии...
Спасибо за быстрый ответ. Полностью согласен с Вами, с нашими трудностями и со всеми реалиями, как Вы выразились, не только в нашей рентгенологии, но и в медицине в целом. Большое спасибо Вам за множество публикаций: огромная и нужная работа! С уважением, А.П.
Прикорневой рисунок справа усилен, явной инфильтрации не вижу.
https://www.instagram.com/pediatricradiology/
Пневмонии тоже не вижу. Русунок усилен с обеих сторон по типу острого бронхита, в основном, за счёт сосудистого компонента.
FOX-ray
А, как это? "По типу острого бронхита" за счет сосудистого компонента?
Да, когда возникает что-то вроде отёка прикорневых отделов лёгких, к которому склонны дети в раннем возрасте. При обычной ОРВИ рисунок будет спокойнее, а при затянувшемся бронхите уже должны появиться перибронхиальные изменения. Подобную картину так же часто можно заметить при острых ларинготрахеитах с клиникой инспираторной одышки.
FOX-ray
Спасибо за пояснение.
С детьми редко имеем дело.
Снимок "жестковат", но слева в ІІІ межреберье, что-то похожее на инфильтрацию вырисовывается.
"Снимок" не плёночный, это "цифра".
"Цифра" всегда может иметь в себе качества суперэкспонированного снимка и рентгенолог всегда может "поиграть" с изображением, выбрав для себя оптимальное.
Пневмонии тоже не вижу. Что касается рентгенодиагностики бронхита - считаю, что это должно решаться клинически, а вот выраженные явления обструкции отмечаю. Усиление легочного рисунка у детей, имхо, крайне неспецифично и встречается при любой интоксикации. Часто вижу его, например, у детей с клиникой острых абдоминальных болей, которых присылают для исключения пневмонии.
С уважением. Ильич.
Не работаю с детьми, но такая "лохматость" корней при ОРЗ всегда бывает или просто "повезло" в конкретном случае?
Полностью согласен. Например, могу добавить к перечисленному - ожоги, сильные травмы, любые состояния с лихорадкой.
FOX-ray
Почти всегда и от этого мы "страдаем", потому что, если дети делают снимок по блату во взрослой клинике, то их почти всегда отправляют на госпитализацию со страшными диагнозами:)))
FOX-ray
Спасибо коллеги за высказанные мнения.
Более выраженное расширение корня правого легкого, нечеткость медиальных отделов правой половины купола диафрагмы, не исключают наличие пневмонии в нижней доле правого легкого.
Анатолий Петрович
И "чаво" мне писать в протоколе?
Пневмонии тоже не вижу. Рисунок усилен с обеих сторон по типу острого бронхита, в основном, за счёт сосудистого компонента.
Согласна с этим комментарием.
Уважаемый, Валентин Львович! А что писать в протоколе? т.е., в заключении рентгенологического исследования: С учетом рентгенологических изменений, клинических и лабораторных данных, не исключается наличие пневмонии в нижней доле правого легкого. И лечащий врач, юридически несущий ответственность за своего пациента, с учетом Вашего заключения, своего опыта, возможного направления на др. дополнительные исследования, выставит диагноз. В случаях, как возможно и в данном, признаки пневмонии при стандартном рентгенологическом исследовании могут быть за пределами возможности метода (т.н. рентгенонегативные изменения). Об этом хорошо написано в монографиях: "Пневмония" под общей редакцией главного пульмонолога страны академика Чучалина А.Г.; "Компьютерная томография органов грудной полости" проф. Тюрина И.Е. Один из ряда случаев, когда в рентген. протоколе - норма, при КТ - пневмония (и также корень правого легкого отличается от левого, как и в представленном на сайте случае).
Уважаемая, Надежда Лишина! Усиление легочного рисунка, преимущественно за счет сосудистого компанента, может быть проявлением многих патологических процессов, в том числе не исключается и наличие пневмонии.
С уважением, Анатолий Петрович.
Анатолий Петрович
Здравствуйте Анатолий Петрович!
Спасибо за коммент. У нас на приеме (в поликлинике) в рентгеновский кабинет, пациент, как правило попадает "голым", т.е. никаких лабораторных данных нет. А, клинически..., кашляет, а, что там коллеги педиатры наслушали, так то под большим сомнением и вопросом, весьма часто пишут, что "оно" слева, а как правило, оказывается с другой стороны. Порой больному - сделайте "снимочек", а потом МЫ будем разбираться, увы, таковы реалии...
Добрый вечер, Валентин Львович!
Спасибо за быстрый ответ. Полностью согласен с Вами, с нашими трудностями и со всеми реалиями, как Вы выразились, не только в нашей рентгенологии, но и в медицине в целом. Большое спасибо Вам за множество публикаций: огромная и нужная работа! С уважением, А.П.
Анатолий Петрович
Спасибо за теплые слова Анатолий Петрович.