You are here

Пациент "взят на контроль".

Пол пациента: 
Тип патологии: 
Методы исследования: 

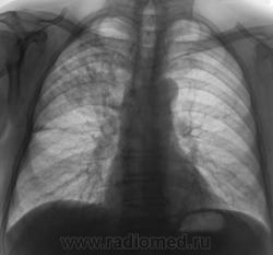
Пациент, при расшифровке флюорограмм, "взят на контроль". Произведено стандартное рентгенологическое исследование. Вот рентгенограмма.

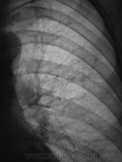
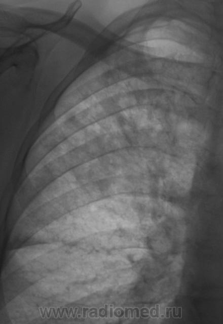
Томограммы.

Ваше мнение уважаемые коллеги?

  • https://radiomed.ru/sites/default/files/styles/case_slider_image/public/user/12/2.Rentgenogramma_0.JPG?itok=5F47N27i
  • https://radiomed.ru/sites/default/files/styles/case_slider_image/public/user/12/3.Rentgenogramma._0.JPG?itok=oIfXgWLF
  • https://radiomed.ru/sites/default/files/styles/case_slider_image/public/user/12/4..T-ma.JPG?itok=IiiQor5d
  • https://radiomed.ru/sites/default/files/styles/case_slider_image/public/user/12/5..T-ma.JPG?itok=-h-ZD-aF
  • https://radiomed.ru/sites/default/files/styles/case_slider_image/public/user/12/6..T-ma.JPG?itok=rIYI1sqr
  • https://radiomed.ru/sites/default/files/styles/case_slider_image/public/user/12/7..T-ma.JPG?itok=Lju22Ykb
  • https://radiomed.ru/sites/default/files/styles/case_slider_image/public/user/12/8..T-ma.JPG?itok=nPgGY6_r
  • https://radiomed.ru/sites/default/files/styles/case_slider_image/public/user/12/9..T-ma.JPG?itok=zCuDdYVg
ID:1102
Игорь Иванович's picture
Offline
Last seen: 3 years 11 months ago
Joined: 23.01.2010 - 14:56
Posts: 3695

По мне, так пневмония. Пролечить, посмотреть динамику.

Vikkur's picture
Offline
Last seen: 4 years 9 months ago
Joined: 24.09.2009 - 14:34
Posts: 1749

Был нетак давно похожий случай, так же постродал S3,  в связи с локолизацией и консультацией заведующей отправил больного КТД (крайтубдиспансер), там пролечили антибиотиками и отправили домой,  на контроле всё чисто.

Виктор.

Катенёв Валентин Львович's picture
Offline
Last seen: 7 years 2 months ago
Joined: 22.03.2008 - 22:15
Posts: 54876

Жалоб пациент не предъявляет.

Игорь Иванович's picture
Offline
Last seen: 3 years 11 months ago
Joined: 23.01.2010 - 14:56
Posts: 3695

Катенёв Валентин Львович wrote:
Жалоб пациент не предъявляет.

Добрый вечер, Валентин Львович. Жалоб нет, или не предъявляет. При туберкулезе - и инфильтрация, и распад, и т.д., а они не предъявляют - тогда ТБС.

Игорь Иванович's picture
Offline
Last seen: 3 years 11 months ago
Joined: 23.01.2010 - 14:56
Posts: 3695

Vikkur wrote:

Был нетак давно похожий случай, так же постродал S3,  в связи с локолизацией и консультацией заведующей отправил больного КТД (крайтубдиспансер), там пролечили антибиотиками и отправили домой,  на контроле всё чисто.

По моему S2.

Vikkur's picture
Offline
Last seen: 4 years 9 months ago
Joined: 24.09.2009 - 14:34
Posts: 1749

Игорь Иванович wrote:

Vikkur wrote:

Был нетак давно похожий случай, так же постродал S3,  в связи с локолизацией и консультацией заведующей отправил больного КТД (крайтубдиспансер), там пролечили антибиотиками и отправили домой,  на контроле всё чисто.

По моему S2.

Да ведь у S3 граница по междолевой.

 

Виктор.

anna kuzmina's picture
Offline
Last seen: 15 years 8 months ago
Joined: 07.02.2010 - 18:47
Posts: 9

ДАЖЕ ЕСЛИ НЕТ КЛИНИКИ, ПРОЛЕЧИТЬ СЛЕДУЕТ!  ЕСЛИ БЕЗ  ДИНАМИКИ - К  ФТИЗИАТРАМ, ИХ КЛИЕНТ !

У  НАС  МНОГО БЫВАЕТ СЛУЧАЕВ, КОГДА ПАЦИЕНТЫ "НЕ ЖАЛУЮТСЯ", А  В  ЛЁГКИХ ЧЁРТ ЗНАЕТ ЧТО!

ТЕРПЕЛИВ  РУССКИЙ ВАНЬКА!

Катенёв Валентин Львович's picture
Offline
Last seen: 7 years 2 months ago
Joined: 22.03.2008 - 22:15
Posts: 54876

Так может быть, без предварительного противовоспалительного лечения - сразу к фтизиатрам?

Vikkur's picture
Offline
Last seen: 4 years 9 months ago
Joined: 24.09.2009 - 14:34
Posts: 1749

Да учитывая объём, клинику (отсутствие таковой), можно и сразу к фтизиатрам, но они, мне кажется, полечат сначала антибиотиками.

Виктор.

Катенёв Валентин Львович's picture
Offline
Last seen: 7 years 2 months ago
Joined: 22.03.2008 - 22:15
Posts: 54876

anna kuzmina wrote:

ДАЖЕ ЕСЛИ НЕТ КЛИНИКИ, ПРОЛЕЧИТЬ СЛЕДУЕТ! 

А, от чего лечить то?